Zytologie pleuraler, perikardialer und peritonealer Ergüsse
ERGÜSSE UND SPÜLUNGEN – ADENOKARZINOM DER EIERSTÖCKE
Ein unerklärter Peritonealerguss bei weiblichen Patienten sollte eine Untersuchung auf bösartige Zellen ovariellen Ursprungs zur Folge haben.
Pleuraerguss:
Serös-papilläres Adenokarzinom des Ovars.
20X
Pleuraerguss:
Serös-papilläres Adenokarzinom des Ovars.
40X
Pleuraerguss:
Serös-papilläres Adenokarzinom des Ovars.
60X
Abbildungen 43-45: Pleuraerguss: Serös-papilläres Adenokarzinom des Ovars.
Zellen des serös-papillären Adenokarzinoms des Ovars in einem Pleuraerguss können als diskontinuierliche Zellpopulation vorliegen. Die Zell- und Zellkerngrößen sind unterschiedlich. Merkmale sind eine erhöhte Kern-Plasma-Relation und zytoplasmische Vakuolen. Die Zellen können einzeln oder in kleinen azinösen Gruppen auftreten.
Pleuraerguss:
Seröses Adenokarzinom des Ovars. Diese Tumorzellen (Metastasen eines Adenokarzinoms des Ovars, aufgefunden in einem Pleuraerguss) wurden als dreidimensionale papillär-drüsige Struktur abgesetzt.
40X
Pleuraerguss:
Seröses Adenokarzinom des Ovars. Diese Tumorzellen (Metastasen eines Adenokarzinoms des Ovars, aufgefunden in einem Pleuraerguss) wurden als dreidimensionale papillär-drüsige Struktur abgesetzt.
40X
Pleuraerguss:
Seröses Adenokarzinom des Ovars. Trotz des dreidimensionalen Erscheinungsbilds lässt sich die Malignität dieser Eierstockkrebszellen leicht erkennen, wenn ihre Größe mit der der Lymphozyten im Hintergrund verglichen wird. Die Unterscheidung zwischen Ovar oder Endometrium als Ursprungsort kann sich in Anbetracht des häufigen Müllerschen Ursprungs von Tumoren in beiden Bereichen als schwierig erweisen.
20X
Pleuraerguss:
Seröses Adenokarzinom des Ovars. Trotz des dreidimensionalen Erscheinungsbilds lässt sich die Malignität dieser Eierstockkrebszellen leicht erkennen, wenn ihre Größe mit der der Lymphozyten im Hintergrund verglichen wird. Die Unterscheidung zwischen Ovar oder Endometrium als Ursprungsort kann sich in Anbetracht des häufigen Müllerschen Ursprungs von Tumoren in beiden Bereichen als schwierig erweisen.
20X
Pleuraerguss:
Seröses Adenokarzinom des Ovars. Verbände von Tumorzellen mit großen Zellkernen und markanten Kernkörperchen. Beachten Sie auch hier den Größenunterschied im Vergleich zu den Lymphozyten im Hintergrund. Es handelt sich hier um eine diskontinuierliche Zellpopulation.
40X
Pleuraerguss:
Seröses Adenokarzinom des Ovars. Verbände von Tumorzellen mit großen Zellkernen und markanten Kernkörperchen. Beachten Sie auch hier den Größenunterschied im Vergleich zu den Lymphozyten im Hintergrund. Es handelt sich hier um eine diskontinuierliche Zellpopulation.
40X
Peritonealerguss:
Seröser Borderline-Tumor. Papillärer Cluster eines serös-drüsigen Borderline-Tumors mit runden “kanonenkugelartigen” Tumorzellen. Beachten Sie den glatten Rand im Vergleich zum muschelartigen Rand reaktiver Mesothelzellen.
60X
Peritonealerguss:
Seröser Borderline-Tumor. Papillärer Cluster eines serös-drüsigen Borderline-Tumors mit runden “kanonenkugelartigen” Tumorzellen. Beachten Sie den glatten Rand im Vergleich zum muschelartigen Rand reaktiver Mesothelzellen.
60X
Peritonealspülung:
Seröser Borderline-Tumor des Ovars. Papillärer Cluster von Tumorzellen mit deutlicher Vakuolenbildung im Zytoplasma. 40X
Peritonealspülung:
Seröser Borderline-Tumor des Ovars. Papillärer Cluster von Tumorzellen mit deutlicher Vakuolenbildung im Zytoplasma.
40X
Durch kräftige Peritonealspülungen kann der mikroskopische Tumor u. U. entfernt werden. Spülungen sind ein integraler Bestandteil der Staging-Laparaskopie. Durch das Spülen werden Tumorzellen in der Regel in dreidimensionalen zusammenhängenden Gruppen abgelöst und können mit Verbänden des benignen Mesothelioms vermischt werden. Die Tumorzellen lassen sich leicht an der Größe, den malignen Merkmalen und den dichten Ansammlungen erkennen.
Spülung des Beckens:
Seröser Borderline-Tumor des Ovars. Diese Spülung des Beckens ergab einen dreidimensionalen, dichten Cluster von Tumorzellen mit minimalen atypischen Kernmerkmalen.
40X
Spülung des Beckens:
Seröser Borderline-Tumor des Ovars. Diese Spülung des Beckens ergab einen dreidimensionalen, dichten Cluster von Tumorzellen mit minimalen atypischen Kernmerkmalen.
40X
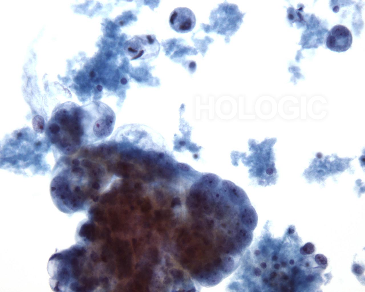
Peritonealerguss:
Seröses Adenokarzinom des Ovars. Pleomorphe, papilläre Gruppen von Tumorzellen in einem Peritonealerguss. Beachten Sie den Größenunterschied zwischen den Tumorzellen und den gutartigen Mesothelzellen unten rechts.
40X
Peritonealerguss:
Seröses Adenokarzinom des Ovars. Pleomorphe, papilläre Gruppen von Tumorzellen in einem Peritonealerguss. Beachten Sie den Größenunterschied zwischen den Tumorzellen und den gutartigen Mesothelzellen unten rechts.
40X
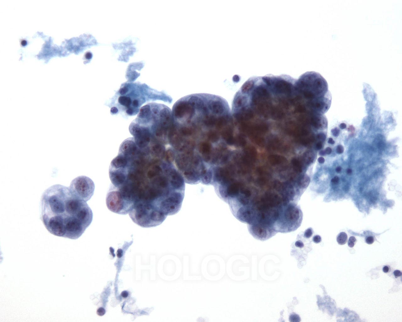
Peritonealerguss:
Adenokarzinom des Ovars. Eine dreidimensionale Gruppe von Tumorzellen vor einem “schmutzigen” Hintergrund.
20X
Peritonealerguss:
Adenokarzinom des Ovars. Eine dreidimensionale Gruppe von Tumorzellen vor einem “schmutzigen” Hintergrund.
20X
Spülung des Beckens:
Adenokarzinom des Ovars. Eine dreidimensionale Gruppe maligner Zellen im Vergleich zu einer Gruppe von vier gutartigen Zellen oben links.
40X
Spülung des Beckens:
Adenokarzinom des Ovars. Eine dreidimensionale Gruppe maligner Zellen im Vergleich zu einer Gruppe von vier gutartigen Zellen oben links.
40X



