標本の適否
James Linder, MD
パパニコロー染色サンプルを適正に判定するには、扁平上皮細胞を十分に含んでいる必要があります。ベセスダ2001カンファレンスの用語集では、Pap Testを「適正」または「不適正」のいずれかに判定することを推奨しています。以前のベセスダではそのコンポーネントに「条件付きで適正」という分類がありましたが、今回は削除されました。子宮頚管内/移行帯細胞成分が採取されているかどうかということと、これ以外でサンプルの質を決める要因の有無として「適正」の条件に含まれますが、その適正に「制限する」ことはありません。移行帯細胞成分の有無を報告するには、保存状態の良い子宮頸管細胞または扁平上皮化生細胞を少なくとも10個観察する必要があります。標本が悪性病巣からのもので、癌であることが明らかになれば、移行帯細胞成分の有無を報告する必要はありません。
適正な標本と判断される場合
次の注釈に示すように、標本が適正であると考えるには、一般に保存状態が良く識別できる扁平上皮細胞が標本1枚につき最低5,000個必要です。
- いずれの場合にも客観的基準を厳密に適用することはできません。たとえば、細胞集塊や萎縮像または細胞溶解物の数を計測するのが技術的に難しいことから、このような標本を判定するには、検査室が専門家の判断を仰ぎ、段階的に見ていく必要があります。
- 細胞量を評価するには、標本全部を計測する必要はありません。細胞検査士は、保存状態が良く識別できる扁平上皮細胞の数が5,000個未満であることが判ると次の計測法を適用します。
異常細胞を含む材料であれば、定義からいずれも「適正標本」であることになります。 ThinPrepスライドの扁平上皮細胞を計測する必要があるとき 1. 標本の中心部を通る直径に沿って視野を少なくとも10か所数えます。次の表では、顕微鏡視野1つあたりの平均細胞数が5,000個に達したことがわかります。
|
標本の直径mm
面積 |
20
314.2 |
| FN20接眼レンズ/対物レンズ 10倍 |
視野数@FN20 10倍
細胞数/5,000個に対応する視野 |
100
50.0 |
| FN20接眼レンズ/対物レンズ 40倍 |
視野数@FN20 40倍
細胞数/5,000個に対応する視野 |
1600
3.1 |
| FN22接眼レンズ/対物レンズ 10倍 |
視野数@FN22 10倍
細胞数/5,000個に対応する視野 |
82.6
60.5 |
| FN22接眼レンズ/対物レンズ 40倍 |
視野数@FN20 40倍
細胞数/5,000個に対応する視野 |
1322
3.8 |
接眼レンズの使用については未だわかっていないため、次の式をあてはめます
視野1つにつき必要な細胞数= 5,000 / (円の面積/眼鏡レンズ側の面積)
接眼レンズまたは顕微鏡の視野の直径(mm)は、対物レンズの倍率によって等分される視野の数によって表されます。ここで、視野の面積は、円の面積を表す公式[pi X (半径の2乗)]によって求められます。
ThinPrep®イメージングシステムを用いてスライドを作製するには、操作マニュアルにある概略に沿って適正度を調べる必要があります。
ベセスダ2001に基づき、適正度という限定語の意味に関する補足情報のほか、患者のフォローアップに関する結果を教育用ノートに適宜記してあります。不適正なパパニコロー染色標本を処理して評価するには、時間と手間が相当にかかります。このような標本では上皮病変部を除外することはできないため、患者を直接手当てするための(感染性微生物などの存在に関する)有力な情報を提供しています。報告書を理解する手助けになるよう、ベセスダ2001の言葉を以下に挙げておきます。
A)評価不採用パパにコロー標本
標本を(処理せずに)拒絶した理由は:(標本にラベルが付いていない、スライドが割れているなど…)
B)検査され不適正なPapパパニコロー標本
処理および検査は実施したが、扁平上皮の異常の評価が出来なかった、例えば、出血などが原因で扁平上皮細胞が観察できないなど。追加コメント/推奨事項は次の通り。
あいまいな要因
細胞の75%以上が鮮明に見えない標本では、(異常細胞がないものと考えて)不適正であると判定します。細胞の50~75%が鮮明でない場合、「適正」のあとに「標本の一部に鮮明でない部分がある」という但し書きを入れます。
このアトラスの写真には、扁平ないし腺系成分を含むさまざまな細胞標本を適宜掲載しています。主題の目的に沿うよう、適否に合わせて写真1枚に含まれる細胞の数を最も少なくなるようにしたほか、移行帯細胞成分の実例を掲載しています。

注:画像をクリックすると拡大します。

適正標本
写真は、ThinPrepスライドからの1枚で、保存状態が良く識別できる扁平上皮細胞を60個含む視野を10倍に拡大したものです。
適正標本
写真は、ThinPrepスライドからの1枚で、保存状態が良く識別できる扁平上皮細胞を60個含む視野を10倍に拡大したものです。
適正標本
写真は、ThinPrepスライドからの1枚で、保存状態が良く識別できる扁平上皮細胞を50個含む視野を10倍に拡大したものです。
適正標本
写真は、ThinPrepスライドからの1枚で、保存状態が良く識別できる扁平上皮細胞を50個含む視野を10倍に拡大したものです。
不適標本
写真は、ThinPrepスライドのうち不適標本としたものからの1枚で、保存状態が良く識別できる扁平上皮細胞を40個含む視野を10倍に拡大したものです。
不適標本
写真は、ThinPrepスライドのうち不適標本としたものからの1枚で、保存状態が良く識別できる扁平上皮細胞を40個含む視野を10倍に拡大したものです。
移行帯細胞成分
棚状および蜂巣状配列のどちらも備えている子宮頸管細胞が存在することから移行帯から採取されていることを示しています。
20倍
移行帯細胞成分
棚状および蜂巣状配列のどちらも備えている子宮頸管細胞が存在することから移行帯から採取されていることを示しています。
20倍
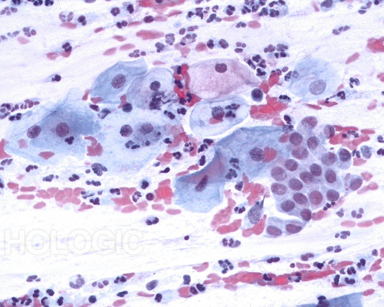
移行帯細胞成分
細胞質の核が押し上げられた円柱状の子宮頸管細胞の出現から移行帯より採取されていることを示しています。
40倍
移行帯細胞成分
細胞質の核が押し上げられた円柱状の子宮頸管細胞の出現から移行帯より採取されていることを示しています。
40倍
移行帯細胞成分
扁平上皮化生の細胞を認められる移行帯よりの材料です。
40倍
移行帯細胞成分
扁平上皮化生の細胞を認められる移行帯よりの材料です。
40倍

移行帯細胞成分
扁平上皮化生の細胞を認められる移行帯よりの材料です。
40倍
移行帯細胞成分
扁平上皮化生の細胞を認められる移行帯よりの材料です。
40倍

限定要因
標本の扁平上皮細胞成分を見にくくする炎症性細胞
20倍
限定要因
標本の扁平上皮細胞成分を見にくくする炎症性細胞
20倍

限定要因
扁平上皮細胞成分を見にくくする赤血球
40倍
限定要因
扁平上皮細胞成分を見にくくする赤血球
40倍

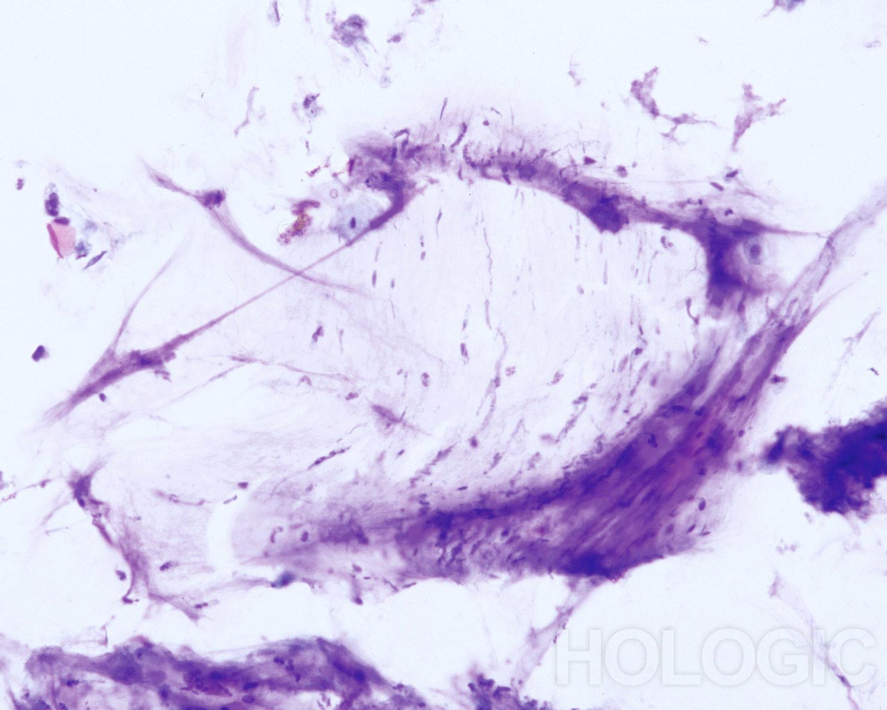
限定要因
扁平上皮細胞成分を見にくくする滑り様背景
20倍
限定要因
扁平上皮細胞成分を見にくくする滑り様背景
20倍

限定要因
扁平上皮細胞成分を見にくくする粘液背景
20倍
限定要因
扁平上皮細胞成分を見にくくする粘液背景
20倍
パパニコロー染色標本(従来法)
従来のパパニコロー染色標本。移行帯細胞成分と扁平上皮細胞を含む。
40倍
パパニコロー染色標本(従来法)
従来のパパニコロー染色標本。移行帯細胞成分と扁平上皮細胞を含む。
40倍
ThinPrep法
上記と同一患者のサンプルをThinPrep法で作製したもの。扁平上皮細胞および腺系成分を認めます。
40倍
ThinPrep法
上記と同一患者のサンプルをThinPrep法で作製したもの。扁平上皮細胞および腺系成分を認めます。
40倍
以上のように、サンプリングを適切に実施して患者の状態を正確に診断するためには、標本をどのような方法で準備しようとも、アメリカ臨床検査標準委員会(National Committee for Clinical Laboratory Standards(NCCLS))が推奨するように、パパニコロー検査用の適切採取に関するガイドラインに沿うことが重要です。子宮内頸部に炎症性崩壊物、血液ないし粘液が付着して十分に取り除けないときは、付着物を除去後スライドに塗抹します。滑り性のある液が採取されたとき細胞をスライドガラスに塗抹するのに妨げになります。このようなことがあると、標本が患者の状態を反映するものにならず、誤診につながります。
適切な細胞採取を行い採取用具を容器内で適宜洗い落として回収すれば、患者の上皮由来の細胞がスライドガラスに移行するために、子宮頸部病変の検出率が向上することになります。
参考文献
- Bernstein SJ, et al: Liquid-based cervical cytologic smear study and conventional Papanicolaou smears: A metaanalysis of prospective studies comparing cytologic diagnosis and sample adequacy. Am J Obstet Gynecol 2001;185:308-17.
- Bethesda 2001 Post workshop recommendations.
www.bethesda2001.cancer.gov.
- Corkill M, et al: Specimen adequacy of ThinPrep sample preparations in a direct-to-vial study. Acta Cytol 1997;41:39-44.
- Darragh TM, et al: Comparison of conventional cytologic smears and ThinPrep preparations from the anal canal. Acta Cytol 1997; 41: 1167-70.
- Diaz-Rosario LA, Kabawat SE: Performance of a fluid-based, thin-layer Papanicolaou smear method in the clinical setting of an independent laboratory and an outpatient screening population in New England. Arch Pathol Lab Med 1999;123(9):817-21.
- Guidos BJ, Selvaggi SM: Use of the ThinPrep Pap Test in clinical practice. Diagn Cytopathol 1999;20:70-73.
- Haroon S, et al: Reproducibility of cervicovaginal ThinPrep® cellularity assessment. Diagn Cytolpathol 2002 jan;26(1):19-21.
- Henry JA, Wadehra V: Influence of smear quality on the rate of detecting significant cervical cytologic abnormalities. Acta Cytol 1996; 40: 529-35.
- Kivlahan C, Ingram E: Papanicolaou smears without endocervical cells. Are they inadequate? Acta Cytol 1986; 30: 258-60.
- Mintzer MP, et al: The effect of the quality of Papanicolaou smears on the detection of cytologic abnormalities. Cancer Cytopathol 1999; 87: 113-7.
- Mitchell HS: Longitudinal analysis of histologic high-grade disease after negative cervical cytology according to endocervical status. Cancer 2001;Aug 25;93(4):237-40.
- Papillo J, et al: Evaluation of the ThinPrep Pap Test in clinical practice: a seven-month 16,314-case experience in northern Vermont. Acta Cytol 1998;42:204-208.
- Renshaw AA, et al: Accuracy and reproducibility of estimating the adequacy of the squamous component of cervicovaginal smears. Am J Clin Path 1999; 111: 38-42.
- Selvaggi SM, Guidos BJ: Specimen adequacy and the ThinPrep Pap Test: The endocervical component. Diagn Cytopathol 2000; 23(1):23-26.
- Sherman ME, et al: Cytologic diagnosis of anal intraepithelial neoplasia using smears and Hologic Thin-Preps. Mod Path 1995; 8: 270-74.
- Spires SE, et al: Assessment of cervicovaginal smear adequacy. The Bethesda system guidelines and reproducibility. Am J Clin Path 1994; 102: 354-9.
- Timmerman TG, et al: Objective criteria to determine cellularity in the ThinPrep Papanicolaou test. Acta Cytol 1998; 42: 1242.
- Valente P et al: The determination of Papanicolaou smear adequacy using a semiquantitative method to evaluate cellularity. Diagn Cytopathol 1991; 7: 576-80.
トップに戻る