Respiratory Cytology - Large Cell Undifferentiated Carcinoma
LARGE CELL UNDIFFERENTIATED CARCINOMA
Reminder: You may click on any slide image
for an enlarged view.
for an enlarged view.
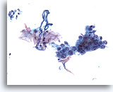
Figure 131
Bronchial brushing
Low magnification showing a cluster of large cell undifferentiated carcinoma. 20x
Bronchial brushing
Low magnification showing a cluster of large cell undifferentiated carcinoma. 20x
Figure 131
Bronchial brushing
Low magnification showing a cluster of large cell undifferentiated carcinoma.
20x
Bronchial brushing
Low magnification showing a cluster of large cell undifferentiated carcinoma.
20x
Figure 132
Bronchial brushing
The cells of large cell undifferentiated carcinoma are dyscohesive. Compare the malignant cells’ size to the adjacent normal bronchial epithelium. 40x
Bronchial brushing
The cells of large cell undifferentiated carcinoma are dyscohesive. Compare the malignant cells’ size to the adjacent normal bronchial epithelium. 40x
Figure 132
Bronchial brushing
The cells of large cell undifferentiated carcinoma are dyscohesive. Compare the malignant cells’ size to the adjacent normal bronchial epithelium.
40x
Bronchial brushing
The cells of large cell undifferentiated carcinoma are dyscohesive. Compare the malignant cells’ size to the adjacent normal bronchial epithelium.
40x
Figure 133
Bronchial brushing
By definition large cell undifferentiated carcinoma lacks either squamous or glandular differentiation. Most, however, are poorly differentiated adenocarcinoma at an ultrastructural level. 60x
Bronchial brushing
By definition large cell undifferentiated carcinoma lacks either squamous or glandular differentiation. Most, however, are poorly differentiated adenocarcinoma at an ultrastructural level. 60x
Figure 133
Bronchial brushing
By definition large cell undifferentiated carcinoma lacks either squamous or glandular differentiation. Most, however, are poorly differentiated adenocarcinoma at an ultrastructural level.
60x
Bronchial brushing
By definition large cell undifferentiated carcinoma lacks either squamous or glandular differentiation. Most, however, are poorly differentiated adenocarcinoma at an ultrastructural level.
60x
Figure 134
Bronchial brushing
A large cell undifferentiated carcinoma collected by bronchial brushing. 40x
Bronchial brushing
A large cell undifferentiated carcinoma collected by bronchial brushing. 40x
Figure 134
Bronchial brushing
A large cell undifferentiated carcinoma collected by bronchial brushing.
40x
Bronchial brushing
A large cell undifferentiated carcinoma collected by bronchial brushing.
40x
Figure 135
Bronchial brushing
Higher magnification of large cell undifferentiated carcinoma.
60x
Bronchial brushing
Higher magnification of large cell undifferentiated carcinoma.
60x
Figure 136
Bronchial wash
Bronchial wash containing large cell undifferentiated carcinoma.
20x
Bronchial wash
Bronchial wash containing large cell undifferentiated carcinoma.
20x
Figure 137
Bronchial wash
This cluster of tumor cells abuts a strip of normal bronchial epithelium. Compare the nuclear sizes. 40x
Bronchial wash
This cluster of tumor cells abuts a strip of normal bronchial epithelium. Compare the nuclear sizes. 40x
Figure 137
Bronchial wash
This cluster of tumor cells abuts a strip of normal bronchial epithelium. Compare the nuclear sizes.
40x
Bronchial wash
This cluster of tumor cells abuts a strip of normal bronchial epithelium. Compare the nuclear sizes.
40x
Figure 138
Bronchial wash
Numerous nucleoli are present in large cell undifferentiated carcinoma. 60x
Bronchial wash
Numerous nucleoli are present in large cell undifferentiated carcinoma. 60x
Figure 138
Bronchial wash
Numerous nucleoli are present in large cell undifferentiated carcinoma.
60x
Bronchial wash
Numerous nucleoli are present in large cell undifferentiated carcinoma.
60x
Figure 139
Bronchial wash
Large cell undifferentiated carcinoma at low magnification.
20x
Bronchial wash
Large cell undifferentiated carcinoma at low magnification.
20x
Figure 140
Bronchial wash
High magnification showing no significant squamous or glandular differentiation. 40x
Bronchial wash
High magnification showing no significant squamous or glandular differentiation. 40x
Figure 140
Bronchial wash
High magnification showing no significant squamous or glandular differentiation. 40x
Bronchial wash
High magnification showing no significant squamous or glandular differentiation. 40x
Figure 141
Bronchial wash
Large cell undifferentiated adenocarcinoma.
60x
Bronchial wash
Large cell undifferentiated adenocarcinoma.
60x




