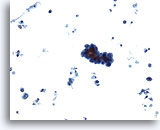
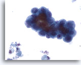
Urinary Tract Cytology - Low Grade Urothelial Carcinoma

LOW GRADE UROTHELIAL CARCINOMA AND CARCINOMA IN SITU

CytologyStuff