Citologia degli aspirati con ago sottile.

TIROIDE
Helen H. Wang, medico

Introduzione

I noduli della tiroide rappresentano un problema clinico diffuso, il cui tasso stimato di incidenza annua raggiunge il 4-8%. [1] E così, tra10 e 20 milioni di americani scoprono di avere noduli tiroidei clinicamente rilevabili. [1] L’aspirazione con ago sottile della tiroide costituisce il test iniziale per la maggior parte dei pazienti a cui viene diagnosticato un nodulo tiroideo perché si tratta di una procedura sicura e poco costosa che consente meglio di qualsiasi altro test di individuare in modo adeguato i pazienti da sottoporre a intervento chirurgico. [2] Di conseguenza, in un laboratorio di citologia la FNA della tiroide rappresenta in genere il tipo più comune di FNA. Nonostante sia una tecnica largamente accettata e utilizzata sin dagli anni ’70, l’elaborazione e la valutazione della FNA della tiroide suscitano ancora pareri controversi.

Raccolta e processazione dei campioni
La FNA della tiroide è ottenuta per mezzo della palpazione o della guida ecografia, in base alla dimensione della lesione. Entrambe le tecniche richiedono le medesime modalità: eseguire il tradizionale striscio diretto dell’aspirato o risciacquare l’aspirato in una soluzione di conservazione per il preparato in fase liquida. Due studi hanno confrontato la precisione delle preparazioni ThinPrep®: e degli strisci tradizionali per quanto riguarda la FNA della tiroide e sono giunti alla conclusione che questi due metodi hanno un grado di accuratezza equivalente nell’individuazione delle neoplasie della tiroide, [3, 4] mentre uno di questi ha mostrato che le preparazioni ThinPrep sono caratterizzate da una minore correlazione complessiva con la diagnosi istologica rispetto agli strisci diretti, specialmente per quanto riguarda le tiroiditi linfocitiche croniche (62% del ThinPrep contro 92% degli strisci diretti). [4] Inoltre, alcuni autori hanno affermato che le preparati ThinPrep non sono in grado di rilevare colloidi acquose o diffuse. [3, 5] Nello studio di Tulecke et al. Si afferma campione tipo ” carta velina” del ThinPrep è associato nell’esame istologico ad abbondante colloide che probabilmente è colloide acquosa. [6] Nel complesso, la colloide sembra essere presente in quantità inferiore nei campioni ThinPrep rispetto agli strisci convenzionali. Tuttavia, il campione ThinPrep consente di osservare meglio le caratteristiche nucleari determinanti per la diagnosi di carcinoma papillare rispetto agli strisci convenzionali, siano essi fissati in alcool o lasciati essiccare all’aria. D’altra parte il metodo ThinPrep sembra provocare la rottura dei follicoli e in questi preparati sono più facilmente presenti cellule follicolari singole, in lembi o in gruppi che nei campioni convenzionali.

Referti
Nella letteratura medica, sono stati proposti e utilizzati numerosi schemi di valutazione per i referti. A nostro parere, uno schema basato sulla probabilità di riscontrare un carcinoma all’istologia rappresenta un utile strumento sia per i patologi che per i medici.

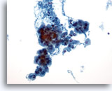
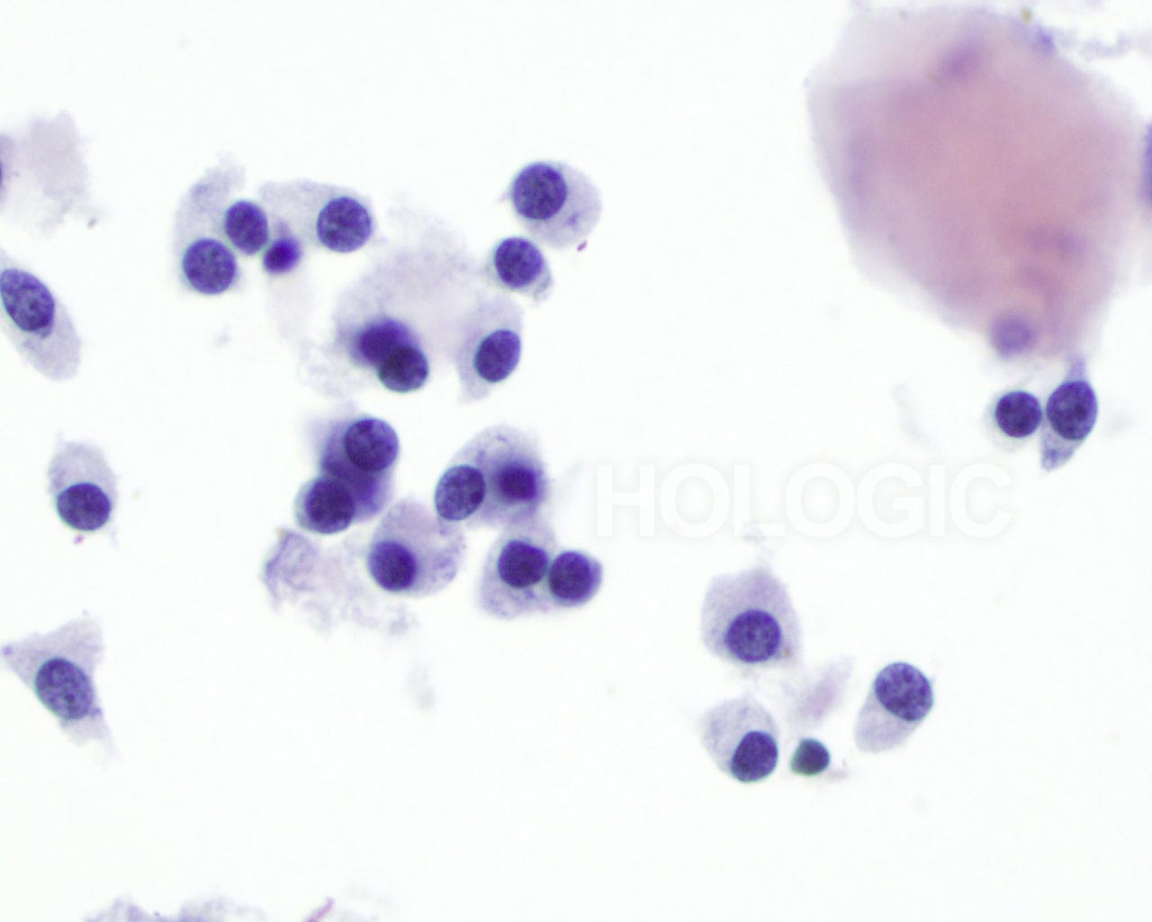
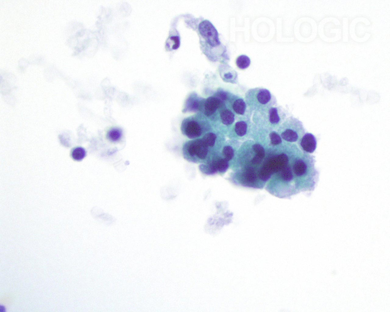
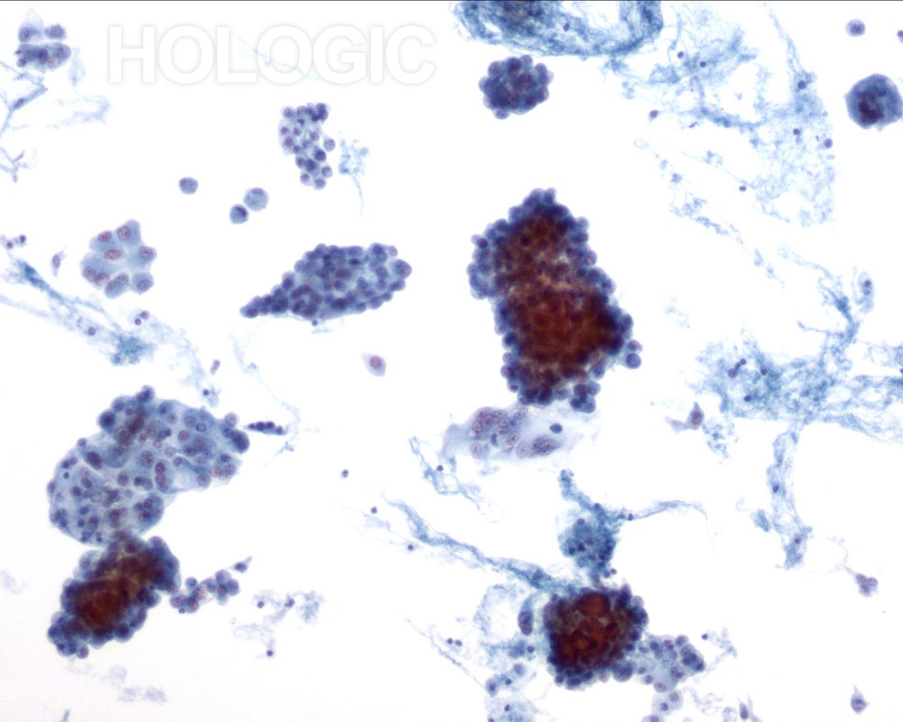
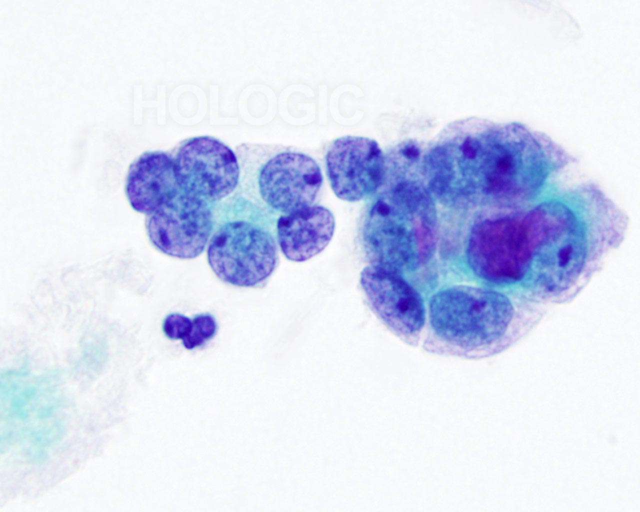
Positivo per malignità
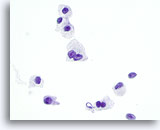
I campioni appartenenti a questa categoria sono quelli in cui all’istologia viene individuata una patologia maligna nel 100% dei casi. Il carcinoma papillare costituisce il tumore maligno della tiroide più diffuso e presenta caratteristiche nucleari specifiche facilmente identificabili nei campioni citologici. Altre patologie maligne diagnosticabili con un elevato grado di accuratezza grazie alla citologia sono: carcinomi midollari, linfomi e carcinomi metastatici. Nei campioni ThinPrep il carcinoma papillare è è caratterizzato da lembi e aggregati papillari di cellule affollate con nuclei ingranditi e a stampo, cromatina “polverosa”, membrane nucleari irregolari messe in evidenza da solchi nucleari e inclusioni citoplasmatiche intranucleari e nucleoli piccoli ma prominenti e spesso eosinofili. [7] Al contrario, il carcinoma midollare è caratterizzato da cellule plasmocitoidi monomorfe isolate con un rapporto N/C elevato, nuclei eccentrici e cromatina vistosamente granulare con o senza nucleoli prominenti. Il citoplasma è granulare con granuli piccoli e appena visibili. In alcuni casi, le cellule appaiono affusolate, ma presentano le stesse caratteristiche nucleari. I linfomi e i carcinomi metastatici della tiroide sono molto meno diffusi. Le caratteristiche citologiche dipendono, nell’ordine, dall’istotipo e dal sito di origine.

Sospetto per malignità
Quando il campione non è ipercellulato o sono presenti la maggior parte (ma non tutte) delle caratteristiche sopra descritte per il carcinoma papillare o midollare o per altre patologie maligne, il referto indica che vi è il sospetto di una malignità. La letteratura medica dice che il valore predittivo positivo (in istologia, tasso di malignità) di un “sospetto carcinoma papillare” è compreso tra il 54 e l’84%, associato o meno nello schema di refertazione ad un’altra categoria non definitiva, come “indeterminato”. [7, 8, 9, 10] Quando viene aggiunta la categoria “indeterminato” a quella di “sospetto”, il valore predittivo positivo relativo alla categoria “sospetto” è pari o superiore al 64%. [7, 9, 10] I valori predittivi positivi di una diagnosi di “sospetto” per quanto riguarda altri tipi di carcinomi della tiroide molto meno diffusi non sono stati riportati.

Indeterminato per malignità
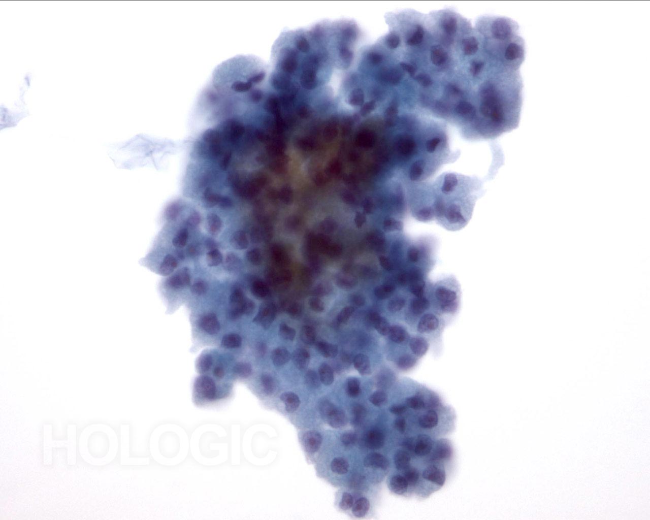
Nel nostro laboratorio, questa categoria include i campioni caratterizzati da un valore predittivo positivo di malignità in istologia inferiore al 50% (spesso anche al 30%) e superiore al 10%. [6, 7] Questa categoria raccoglie i campioni che mostrano alcune delle caratteristiche del carcinoma papillare, e che non consentono la formulazione di una diagnosi di “sospetto”. [7] In questo caso, la letteratura sostiene che il valore predittivo positivo è compreso tra il 20 e il 54%. [7, 9, 10, 11] Queste lesioni spesso rappresentano una variante follicolare del carcinoma papillare. La categoria diagnostica include anche neoplasie follicolari e a cellule di Hürthle, caratterizzati da scarsa colloide e cellule follicolari in microfollicoli e da cellule di Hürthle singole o in gruppi affollati. Nella letteratura, il valore predittivo positivo di queste lesioni variava dal 2 al 91%, [6, 9, 10, 12, 13, 14, 15, 16, 17, 18, 19, 20, 21, 22, 23, 24, 25, 26, 27] probabilmente a causa di differenti definizioni e dalla variabilità dei criteri classificativi come per le diagnosi istologiche, ma si mantiene al di sotto del 30% in quasi tutti i referti. [10, 15, 22, 24, 27]

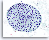
Molto probabilmente benigno

Questa categoria comprende le lesioni follicolari che presentano un pattern macrofollicolare o una combinazione di pattern micro e macrofollicolare con abbondante colloide nello sfondo. Nei campioni ThinPrep i macrofollicoli appaiono sotto forma di foglietti di decine di cellule follicolari distribuite in modo uniforme e con nuclei adeguatamente distanziati. Il significato delle cellule follicolari singole nel ThinPrep è incerto e tuttavia sono considerate come appartenenti a un pattern micro o macrofollicolare. La probabilità che a un esame istologico queste lesioni si rivelino come maligne (variante follicolare del carcinoma papillare o carcinoma follicolare) è molto bassa, ma non pari a zero. In letteratura, è compresa tra lo 0 e il 43% nella maggior parte dei casi [6, 9, 12, 13, 14, 15, 16, 17, 18, 19, 20, 21, 24, 25, 26, 27] non supera il 6%, tranne in tre occasioni [14, 16, 27]. Di conseguenza, la categoria viene definita come molto probabilmente benigna e non inequivocabilmente benigna.

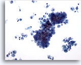
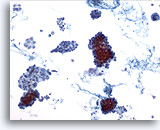
Negativo per cellule maligne compatibile con tiroidite di Hashimoto
Abbiamo appurato che la tecnologia ThinPrep non è la soluzione ottimale per la diagnosi delle tiroiditi. [6] La tiroidite di Hashimoto è caratterizzata da lembi o gruppi di cellule follicolari con alterazioni a carico delle cellule di Hürthle su un fondo costituito da un numero variabile di linfociti e plasmacellule con occasionali aggregati linfoidi e centro follicolari. Poiché la tiroidite linfocitica/di Hashimoto è un disturbo tiroideo piuttosto diffuso, lo studio dei campioni è essenziale per escludere la coesistenza di lesioni più significative.

Cellularità sub-ottimale con caratteristiche riconducibili a…
Poiché la FNA della tiroide ha essenzialmente lo scopo di determinare l’urgenza del trattamento e individuare i pazienti da sottoporre a intervento chirurgico o a visite di controllo, è auspicabile che la cellularità dei campioni sia più che adeguata per consentire la formulazione di una diagnosi definitiva. Se la cellularità è sub-ottimale (ma sufficiente a suggerire una diagnosi), il referto riporterà questo come primo elemento quindi proseguirà con l’indicazione di una delle categorie diagnostiche sopra elencate. Questa categoria include i campioni derivati da formazioni cistiche (macrofagi) con rare cellule follicolari. Non è stata fissata una soglia quantitativa per questa categoria. Per arrivare a una decisione, ci si basa su una combinazione di caratteristiche, come la quantità di colloide, la disposizione delle cellule e le proprietà citologiche.

Non diagnostico
Questa categoria è in genere riservata ai campioni che contengono poche cellule follicolari, o non ne contengono affatto.

Bibliografia di riferimento

  1. Cramer H. Fine-needle aspiration cytology of the thyroid: an appraisal. Cancer 2000; 90(6):325-9.
  2. Mazzaferri EL. Management of a solitary thyroid nodule [see comments]. N Engl J Med 1993; 328(8):553-9.
  3. Biscotti CV, Hollow JA, Toddy SM, Easley KA. ThinPrep versus conventional smear cytologic preparations in the analysis of thyroid fine-needle aspiration specimens. Am J Clin Pathol 1995; 104(2):150-3.
  4. Frost AR, Sidawy MK, Ferfelli M, et al. Utility of thin-layer preparations in thyroid fine-needle aspiration: diagnostic accuracy, cytomorphology, and optimal sample preparation. Cancer 1998; 84(1):17-25.
  5. Afify AM, Liu J, Al-Khafaji BM. Cytologic artifacts and pitfalls of thyroid fine-needle aspiration using ThinPrep: a comparative retrospective review. Cancer 2001; 93(3):179-86.
  6. Tulecke MA, Wang HH. ThinPrep for cytologic evaluation of follicular thyroid lesions: correlation with histologic findings. Diagn Cytopathol 2004; 30(1):7-13.
  7. Zhang Y, Fraser JL, Wang HH. Morphologic predictors of papillary carcinoma on fine-needle aspiration of thyroid with ThinPrep preparations. Diagn Cytopathol 2001; 24(6):378-83.
  8. Chen H, Zeiger MA, Clark DP, Westra WH, Udelsman R. Papillary carcinoma of the thyroid: can operative management be based solely on fine-needle aspiration? J Am Coll Surg 1997; 184(6):605-10.
  9. Renshaw AA. Accuracy of thyroid fine-needle aspiration using receiver operator characteristic curves. Am J Clin Pathol 2001; 116(4):477-82.
  10. Goldstein RE, Netterville JL, Burkey B, Johnson JE. Implications of follicular neoplasms, atypia, and lesions suspicious for malignancy diagnosed by fine-needle aspiration of thyroid nodules. Ann Surg 2002; 235(5):656-62; discussion 662-4.
  11. Renshaw AA. Focal features of papillary carcinoma of the thyroid in fine-needle aspiration material are strongly associated with papillary carcinoma at resection. Am J Clin Pathol 2002; 118(2):208-10.
  12. Al-Rikabi AC, Al-Omran M, Cheema M, El-Khwsky F, Al-Nuaim A. Pattern of thyroid lesions and role of fine needle aspiration cytology (FNA) in the management of thyroid enlargement: a retrospective study from a teaching hospital in Riyadh. Apmis 1998; 106(11):1069-74.
  13. Baloch ZW, Tam D, Langer J, Mandel S, LiVolsi VA, Gupta PK. Ultrasound-guided fine-needle aspiration biopsy of the thyroid: role of on-site assessment and multiple cytologic preparations. Diagn Cytopathol 2000; 23(6):425-9.
  14. Boyd LA, Earnhardt RC, Dunn JT, Frierson HF, Hanks JB. Preoperative evaluation and predictive value of fine-needle aspiration and frozen section of thyroid nodules. J Am Coll Surg 1998; 187(5):494-502.
  15. Hawkins F, Bellido D, Bernal C, et al. Fine needle aspiration biopsy in the diagnosis of thyroid cancer and thyroid disease. Cancer 1987; 59(6):1206-9.
  16. Ko HM, Jhu IK, Yang SH, et al. Clinicopathologic analysis of fine needle aspiration cytology of the thyroid. A review of 1,613 cases and correlation with histopathologic diagnoses. Acta Cytol 2003; 47(5):727-32.
  17. Mandreker SR, Nadkarni NS, Pinto RG, Menezes S. Role of fine needle aspiration cytology as the initial modality in the investigation of thyroid lesions. Acta Cytol 1995; 39(5):898-904.
  18. Miller JM, Kini SR, Hamburger JI. The diagnosis of malignant follicular neoplasms of the thyroid by needle biopsy. Cancer 1985; 55(12):2812-7.
  19. Morgan JL, Serpell JW, Cheng MS. Fine-needle aspiration cytology of thyroid nodules: how useful is it? ANZ J Surg 2003; 73(7):480-3.
  20. Prinz RA, O’Morchoe PJ, Barbato AL, et al. Fine needle aspiration biopsy of thyroid nodules. Ann Surg 1983; 198(1):70-3.
  21. Ravetto C, Colombo L, Dottorini ME. Usefulness of fine-needle aspiration in the diagnosis of thyroid carcinoma: a retrospective study in 37,895 patients. Cancer 2000; 90(6):357-63.
  22. Nam-Goong IS, Kim HY, Gong G, et al. Ultrasonography-guided fine-needle aspiration of thyroid incidentaloma: correlation with pathological findings. Clin Endocrinol (Oxf) 2004; 60(1):21-8.
  23. Silverman JF, West RL, Larkin EW, et al. The role of fine-needle aspiration biopsy in the rapid diagnosis and management of thyroid neoplasm. Cancer 1986; 57(6):1164-70.
  24. La Rosa GL, Belfiore A, Giuffrida D, et al. Evaluation of the fine needle aspiration biopsy in the preoperative selection of cold thyroid nodules. Cancer 1991; 67(8):2137-41.
  25. DeMay RM. Follicular lesions of the thyroid. W(h)ither follicular carcinoma? Am J Clin Pathol 2000; 114(5):681-3.
  26. Mateša N, Tabain I, Dabelic N, Petric V, Kusic Z. Diagnostic relevance of fine needle aspiration cytology for follicular lesions of the thyroid: retrospective study. Croat Med J 2002; 43(5):606-9.
  27. Blansfield JA, Sack MJ, Kukora JS. Recent experience with preoperative fine-needle aspiration biopsy of thyroid nodules in a community hospital. Arch Surg 2002; 137(7):818-21.

Positivo per carcinoma papillare

CytologyStuff