Ricorda: Puoi cliccare su qualsiasi immagine per ingrandire l’immagine.
Figura 13
Lavaggio peritoneale:
benigno.
20X
Figura 13
Lavaggio peritoneale:
benigno.
20X
Durante i lavaggi peritoneali, il medico esegue un’irrigazione o barbotage per raccogliere le cellule da analizzare. Le cellule mesoteliali pelviche possono essere isolate in foglietti larghi e piatti. Può accadere che i foglietti si ripieghino rendendo evidente la sovrapposizione delle cellule.
La disposizione e l’aspetto uniforme delle cellule mesoteliali ne evidenziano la natura benigna.
Figura 14
Lavaggio peritoneale:
Cellule mesoteliali benigne aggregate.
40X
Figura 14
Lavaggio peritoneale:
Cellule mesoteliali benigne aggregate.
40X
In un lavaggio peritoneale è possibile notare cellule mesoteliali benigne riunite in un gruppo più tridimensionale con alcune sovrapposizioni. Un esame approfondito rivela la presenza di cellule uniformi con caratteristiche nucleari benigne.
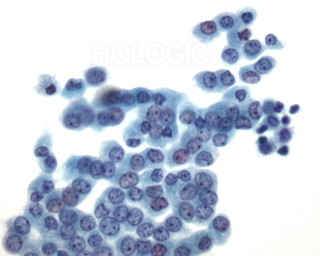
Figura 15
Lavaggio peritoneale:
cellule mesoteliali reattive.
40X
Figura 15
Lavaggio peritoneale:
cellule mesoteliali reattive.
40X
Questo gruppo di cellule mesoteliali benigne evidenzia piccole sovrapposizioni. Gli aggregati di cellule mesoteliali benigne presentano bordi con dentellature o protuberanze in contrasto con il bordo regolare tipico degli aggregati dell’adenocarcinoma.
Figura 16
Lavaggio pelvico:
cellule mesoteliali benigne.
20X
Figura 16
Lavaggio pelvico:
cellule mesoteliali benigne.
20X
Foglietto piatto di cellule mesoteliali distribuite in modo uniforme con disposizione a palizzata.
Figura 17
Lavaggio pelvico:
cellule mesoteliali benigne.
40X
Figura 17
Lavaggio pelvico:
cellule mesoteliali benigne.
40X
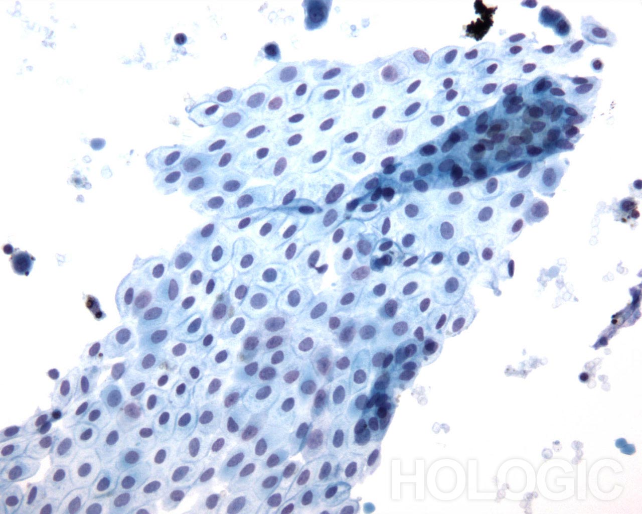
Figura 18
Lavaggio pelvico:
cellule mesoteliali benigne.
20X
Figura 18
Lavaggio pelvico:
cellule mesoteliali benigne.
20X
Le Figure 17 e 18 mostrano foglietti grandi di cellule mesoteliali. I nuclei sono vescicolari e uniformi con nucleoli piccoli o appena visibili.
Figura 19
Lavaggio pelvico:
negativo.
40X
Figura 19
Lavaggio pelvico:
negativo.
40X
Le cellule mesoteliali possono avere un aspetto cuboidale con citoplasma più concentrato. Anche in questo caso, è possibile notare il foglietto coesivo di cellule caratterizzato da uniformità dei nuclei.
Figura 20
Lavaggio peritoneale:
artefatti.
20X
Figura 20
Lavaggio peritoneale:
artefatti.
20X
Nei lavaggi peritoneali e nei fluidi di altre regioni corporee è possibile individuare colesterolo e altri tipi di cristalli.
Figura 21
Lavaggio peritoneale:
artefatti.
60X
Figura 21
Lavaggio peritoneale:
artefatti.
60X
Le cellule mesoteliali reattive che contengono granuli di amido segnalano una contaminazione da polvere di guanti riconducile a una precedente laparotomia. I granuli di amido possono contaminare il campione se questo entra in contatto con i guanti utilizzati dal tecnico che esegue l’elaborazione.