Glandular Stuff - Endocervical Adenocarcinoma

Endocervical Adenocarcinoma

Reminder: You may click on any slide image
for an enlarged view.

Criteria

Tissue Presentation

  • Few single cells and two dimensional sheets and clusters
  • Well-defined group borders (scalloped edges)

Image 2

Endocervical Adenocarcinoma
Cells occur in 3-dimensional clusters, 2-dimensional sheets and singly. 60x
 

Image 3

Endocervical Adenocarcinoma
Glandular cell clusters round up in PreservCyt solution and may exhibit scalloping around the edges of the group.Note the smooth, distinct cytoplasmic borders to the edge of the group. 40x
 

Cytoplasm

  • Finely vacuolated
  • With predominantly multiple discrete vacuoles

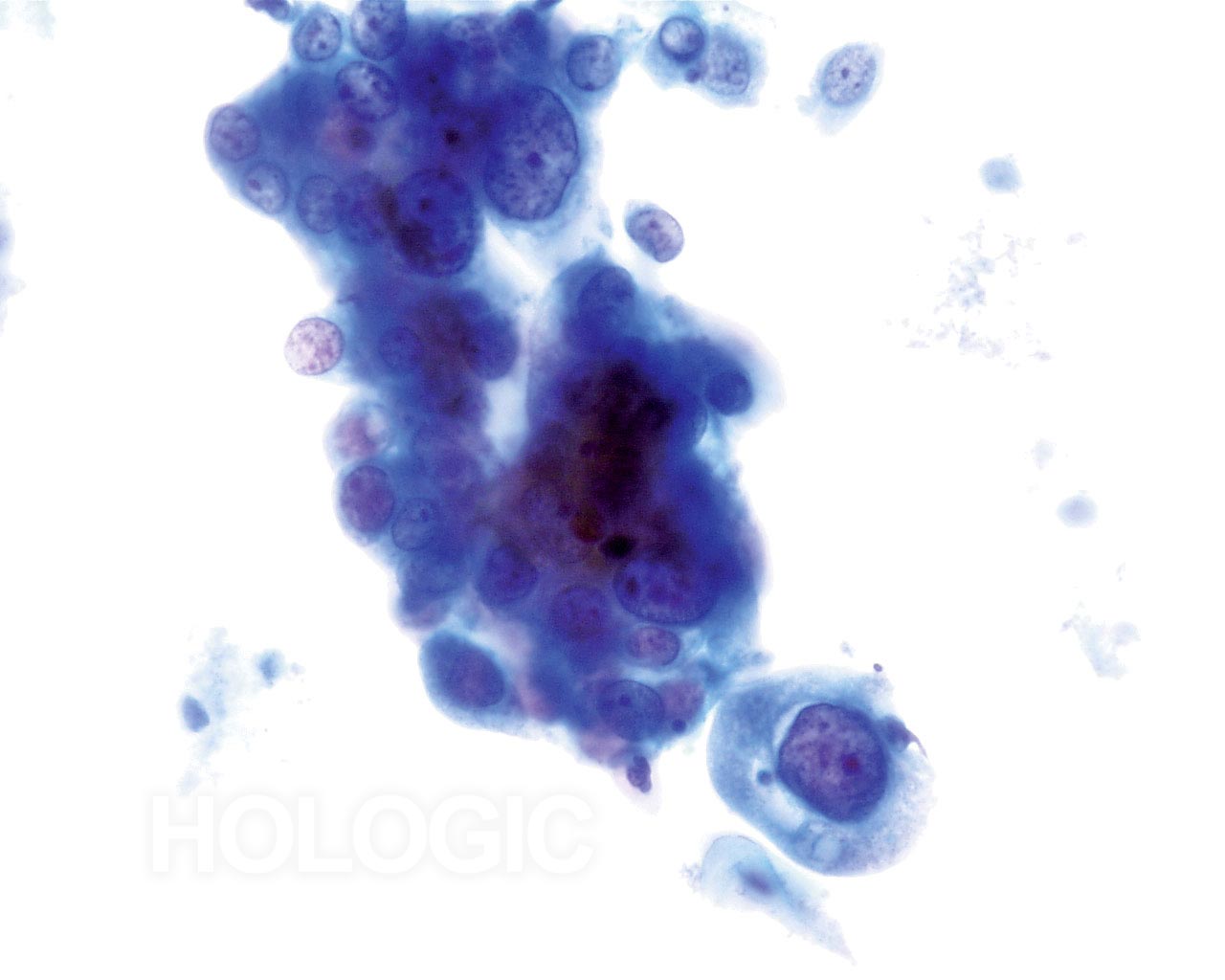
Image 3

Endocervical Adenocarcinoma
The cytoplasm in adenocarcinoma can be finely vacuolated with multiple discrete vacuoles and distinct cell borders. 60x
 

N/C Ratio

  • N/C ratio 2:1

Image 2

Endocervical Adenocarcinoma
Nuclei are enlarged, often occupying more than 2/3 of the cytoplasm and generally remain round to oval with undulating nuclear membranes. 60x
 

Nucleus

  • Enlarged, round to oval

Image 3

Endocervical Adenocarcinoma
Endocervical Adenocarcinoma – 40x
 

Nuclear Membrane

  • Smooth to irregular (undulating)
  • Thickened

Image 2

Endocervical Adenocarcinoma
Nuclear membranes are thickened and nuclear membrane irregularities are undulating as opposed to the rat bite membranes seen in squamous lesions. 40x
 

Chromatin

  • Coarse, unevenly distributed
  • Parachromatin clearing
  • Greater depth of focus

Image 3

Endocervical Adenocarcinoma
Chromatin patterns vary from fine to coarsely granular and can appear evenly distributed although coarse and clumped. Nuclei appear hyperchromatic and exhibit a greater depth of focus as compared to the normal entity. 60x
 

Image 3

Endocervical Adenocarcinoma
Parachromatin clearing may be evident and the nuclei will exhibit a greater depth of focus as compared to the normal endocervical component nuclei. 60x
 

Nucleoli

  • Large, prominent
  • Smooth to irregular
  • Single to multiple

Image 3

Endocervical Adenocarcinoma
Nucleoli, when present are prominent and often multiple and irregular. 60x
 

Image 3

Endocervical Adenocarcinoma
Endocervical Adenocarcinoma – 40x
 

Look Alikes for Endocervical Adenocarcinoma

Atypical Endocervical cells favor Neoplasia or AIS:

Cell Type: Endocervical
Tissue Presentation

  • Strips of tissue with nuclear crowding
  • Stratification
  • Feathering

Image 3

Look Alike for Endocervical Adenocarcinoma
Endocervical cells presenting in a strip with pronounced nuclear crowding.
Biopsy – AIS – 60x
 

Image 3

Look Alike for Endocervical Adenocarcinoma
A strip of endocervical cells exhibiting pseudostratification and finely vacuolated cytoplasm with indistinct cytoplasmic borders. Architecture is disrupted although cells are still attempting to maintain a glandular configuration. Note increased N/C ratio and the variable presence of nucleoli. Biopsy – AIS – 60x
 

Image 3

Look Alike for Endocervical Adenocarcinoma
Endocervical cells presenting in a pseudo-rosette formation and exhibiting “feathering” and nuclear elongation due to crowding. Biopsy – AIS – 60x
 

Unique Features

  • Nuclear crowding
  • Stratification
  • No cilia or terminal bars identified

Image 3

Look Alike for Endocervical Adenocarcinoma
Nuclear elongation is clearly evident in this group of atypical endocervical cells. Also noted is loss of nuclear polarity, loss of normal architecture, nuclear crowding, and “molding” of the nuclei. Note the flat nuclear membranes where they push up against each other (a sign of true crowding). Biopsy – AIS – 60x
 

Image 3

Look Alike for Endocervical Adenocarcinoma
AIS – This crowded, stratified group of glandular cells comes from a case of AIS. Note the basal nuclei piling up from the lower layer of the epithelium. 60x
 

Endocervical Repair:

Cell Type: Endocervical
Tissue Presentation

  • Flat, loose sheet

Image 2

Look Alike for Endocervical Adenocarcinoma
Repair – Note the flatness of this sheet of reparative cells. All of the nuclei are in the same plane and lack the nuclear crowding characteristic of AIS. Nuclei are uniformly spaced and round to oval, rather than elongate. 40x
 

Image 2

Look Alike for Atypical Endocervical Cells (NOS)
Endocervical repair – 40x
 

Unique Features

  • “School of fish” tissue appearance
  • Low N/C ratio
  • Prominent nucleoli

Image 3

Look Alike for Endocervical Adenocarcinoma
Repair often shows “school of fish” architecture. Polarity is maintained and the N/C ratio of the cells is in the normal range. 40X
 

Image 3

Look Alike for Endocervical Adenocarcinoma
Repair shows smooth nuclear contours and polarity is maintained within group. 60x
 

Image 3

Look Alike for Endocervical Adenocarcinoma
Repair can present with prominent nucleoli, some multiple. 40x
 

Image 3

Look Alike for Endocervical Adenocarcinoma
Repair may contain mitosis and macronucleoli. 60x
 

Non-Keratinizing Squamous Cell Carcinoma:

Tissue Presentation

  • Predominantly syncytia
  • Scattered single cells

Image 3

Look Alike for Endocervical Adenocarcinoma

Non-Keratinizing Squamous Cell Carcinoma – Cells are in syncitia, small dyshesive groups and single. 40x
 

Image 2

Look Alike for Endocervical Adenocarcinoma

Squamous Cell Carcinoma – Dyshesive sheet of malignant squamous cells. Note the vacuoles which may confuse the diagnosis. 40x
 

Cytoplasm

  • Vacuolated
  • Cyanophilic

Image 3

Look Alike for Endocervical Adenocarcinoma

Non-Keratinizing Squamous Cell Carcinoma -Cytoplasm is cyanophilic and can appear densely vacuolated. 40x

 

Nuclear Membrane

  • Prominent membrane irregularities

Image 3

Look Alike for Endocervical Adenocarcinoma

Squamous cell carcinoma with gland neck involvement – 60x
 

Chromatin

  • Coarse and unevenly distributed, with distinct parachromatin clearing

Image 2

Look Alike for Endocervical Adenocarcinoma

Non-Keratinizing Squamous Cell Carcinoma – Chromatin is coarse and unevenly distributed (parachromatin clearing). 60x

 

Nucleoli

  • Prominent macronucleoli

Image 2

Look Alike for Endocervical Adenocarcinoma

Non-Keratinizing Squamous Cell Carcinoma – Macronucleoli may be present. 60x

 

Back to Top

CytologyStuff