Absence de lésion intra-épithéliale ou de malignité
Absence de lésion intra-épithéliale ou de malignité
Jacalyn L. Papillo, BS, CT(ASCP) & Pamela Smith Piraino, CT(ASCP)
La catégorie diagnostique “Absence de lésion intra-épithéliale ou de malignité” du système Bethesda 2001 englobe de nombreuses affections bénignes qui représentent un large spectre de changements morphologiques. Le dénominateur commun réside dans l’absence de caractéristiques nécessaires à un diagnostic d’Atypies cellulaires malpighiennes de signification indéterminée ou d’affections plus graves. Des facteurs comme l’âge, la date des dernières règles, les influences hormonales, la présence d’agents infectieux, un antécédent d’atypie ou un traitement contre l’atypie peuvent influencer la présentation cytologique des cellules. L’établissement d’un diagnostic repose sur des informations cliniques pertinentes.
Quelle que soit la méthode de prélèvement utilisée (frottis ThinPrep ou conventionnel), il est essentiel de bien comprendre ce que constitue une situation “normale”. Le procédé ThinPrep n’entraîne pas une altération importante de la présentation cytologique des cellules malpighiennes et endocervicales normales, comme le montrent les microphotographies du chapitre précédent sur la qualité du prélèvement. La présente section traite des domaines suivants : atrophie, grossesse, changements dus au post-partum, cytolyse, métaplasie tubaire, segment utérin inférieur et cellules endométriales d’aspect bénin.
Atrophie
La progression de l’atrophie au cours de la périménopause et de la ménopause s’accompagne d’une réduction de l’épithelium, qui entraîne souvent la diminution du nombre de cellules recueillies pendant le prélèvement. La maturation cellulaire est retardée, de sorte que le type proéminent de cellules devient parabasal. En raison de ce changement hormonal, l’échantillon cellulaire peut contenir une quantité plus importante de glycogène, une dégénérescence cellulaire et des noyaux dépouillés. Un fond granulaire de débris cellulaires dégénératifs est généralement observé. Une réponse inflammatoire est souvent présente et du sang est parfois observé. Les légers changements du contour nucléaire des cellules parabasales dus à la dégénérescence peuvent entraîner un surdiagnostic d’atypie. Pour les frottis atrophiques, il est important d’évaluer précisément la taille nucléaire, le rapport nucléo/cytoplasmique et la morphologie de la chromatine avant de rendre un diagnostic cytologique d’ASC de signification indéterminée ou de lésion plus grave. En cas d’atrophie avec SIL coexistante, une sous-population de cellules atypiques doit présenter une augmentation des rapports N/C, une hyperchromasie et des membranes nucléaires irrégulières.
Grossesse
Les profils cytologiques associés à des influences hormonales excessives (comme la grossesse) sont similaires pour les frottis conventionnels et les lames ThinPrep. Au cours de la grossesse, il faut veiller à bien différencier les cellules glycogénées des véritables koïlocytes présentes dans les changements associés au HPV. Pour ce faire, on peut relever une absence d’irrégularité nucléaire associée à une vacuolisation ronde régulière du glycogène, par rapport aux noyaux anormaux entourés d’une cavité anguleuse irrégulière induite par le HPV.
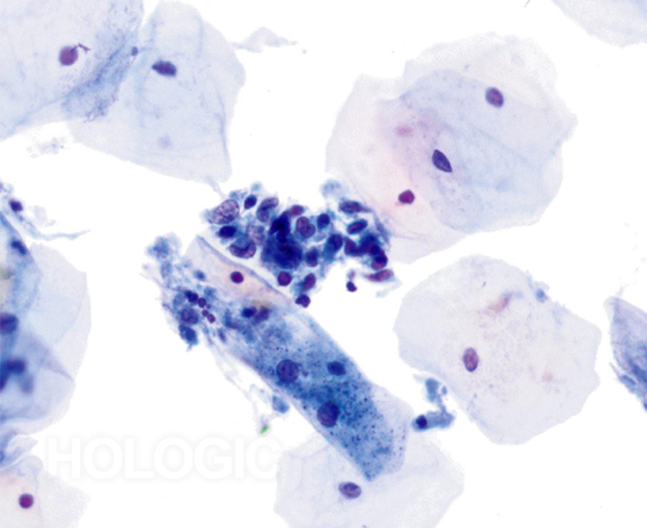
Changements dus au post-partum
Au cours de la période du post-partum ou de l’allaitement, un profil hormonal de faible maturation malpighienne prédomine. Les cellules parabasales sont abondantes, généralement sous forme isolée. Du glycogène peut également être présent. Comme on note souvent un fond de cellules inflammatoires et des changements réactifs, un examen supplémentaire peut s’avérer nécessaire. Le respect de critères cytologiques stricts (absence d’augmentation du rapport N/C, chromatine anormale et membranes nucléaires irrégulières) doit normalement empêcher un surdiagnostic d’atypie cytologique.
Cellules parabasales observées à fort grossissement au cours de la période du post-partum. Noter la présence de glycogène et le faible rapport N/C.
60X
HSIL dans un échantillon post-partum. Noter l’augmentation du rapport N/C et la chromatine anormale dans les cellules HSIL par rapport aux cellules parabasales, observables même à faible grossissement.
20X
Cytolyse
Le motif familier des noyaux nus, des cellules superficielles/intermédiaires et des bacilles de Döderlein associés à la cytolyse induite par des lactobacilles est facilement identifiable à faible grossissement sur des lames ThinPrep. Les bacilles peuvent être enfermés dans du mucus ou recouvrir des cellules malpighiennes.
Métaplasie tubaire
La métaplasie tubaire se caractérise par des cellules prismatiques avec noyau hyperchromatique pléomorphe et une augmentation du rapport N/C. Comme avec les frottis conventionnels, des cellules associées à la métaplasie tubaire peuvent parfois être confondues avec des cellules endocervicales atypiques et même avec un adénocarcinome in situ. Afin d’éviter un surdiagnostic, il faut rechercher la présence de vacuoles cytoplasmiques discrètes, de bandelettes obturantes et de cils.
Segment utérin inférieur
Un prélèvement agressif peut entraîner la présence de cellules provenant du segment utérin inférieur dans les frottis cervico-vaginaux. Ces cellules se présentent généralement sous la forme d’un fragment de tissu plutôt que comme des cellules individuelles ou des petits groupes de cellules. Le fragment dispose de noyaux bien ordonnés et des nucléoles peuvent être présents. Un repliement du fragment sur lui-même peut donner un aspect tridimensionnel.
Cellules endométriales d’aspect bénin
Les cellules endométriales peuvent présenter une large gamme de tailles nucléaires et cytoplasmiques, ainsi que différentes configurations architecturales. Les groupes de cellules endométriales ont tendance à se regrouper dans la solution ThinPrep. Les noyaux sont bien préservés et apparaissent nettement avec une chromatine active distincte ; on observe fréquemment des chromocentres.
Le système Bethesda 2001 recommande la signalisation des cellules endométriales exfoliées d’aspect bénin chez les femmes âgées de 40 ans et plus, quels que soient leurs antécédents cliniques. La catégorie générale “Autres” a été ajoutée à la terminologie Bethesda 2001 à cet effet. Les histiocytes, cellules stromales et cellules endométriales abrasées n’ont pas la même signification que les cellules endométriales exfoliées. Par conséquent ils ne doivent pas être considérés dans le même contexte. Bien que souvent bénignes, les cellules endométriales (en particulier en-dehors de la période des règles ou post-ménopause) peuvent indiquer un risque d’anomalie endométriale.
ORGANISMES ET AUTRE RÉSULTATS NON NÉOPLASIQUES
Tous les pathogènes couramment détectés sur les frottis conventionnels sont facilement identifiables sur les lames ThinPrep car leur morphologie et la visualisation des changements cellulaires associés sont souvent optimisés par la fixation liquide immédiate utilisée par le procédé ThinPrep. Les indices et profils contextuels sont conservés pendant le traitement de l’échantillon et sont identifiables lors du la lecture des lames ThinPrep.
Trichomonas Vaginalis
Sur les lames ThinPrep, les trichomonas peuvent sembler légèrement plus petits que les organismes séchés à l’air visibles sur les frottis conventionnels. En raison de la fixation rapide, les lames ThinPrep comportent des similitudes avec un”état frais” utilisée dans le cabinet du médecin.
Bien que proportionnellement plus petits, les organismes conservent leur structure interne caractéristique et gardent souvent leurs flagelles, ce qui accroît la fiabilité du diagnostic. Les deux observations suivantes réalisées sur les lames ThinPrep sont utiles pour la détection des T. Vaginalis : les trichomonas ont tendance à se présenter sous forme d’organismes isolés ou de groupements proéminents (ou microcolonies), recouvrant souvent les cellules épithéliales ou formant de larges groupes.
Candida SP
L’élongation en pointe des cellules épithéliales et le repliement des cellules parallèlement au long axe de l’organisme constituent un premier indice de la présence de Candida sur la lame ThinPrep. Les hyphes pseudo-cloisonnés et les levures de bourgeonnement sont préservés et facilement détectables. Selon la biologie de la patiente, la coloration peut varier d’incolore à éosinophile et marron gris. Les laboratoires observent souvent une meilleure la détection des Candida avec les frottis ThinPrep.
Virus de l’herpès simplex
Sur les lames ThinPrep, les infections par le virus de l’herpès conservent leurs caractéristiques classiques et sont facilement identifiables. Les changements cellulaires (multinucléation, moulage nucléaire, chromatine d’aspect verre dépoli, margination de la chromatine, inclusions virales intranucléaires, etc.) facilitent le diagnostic.
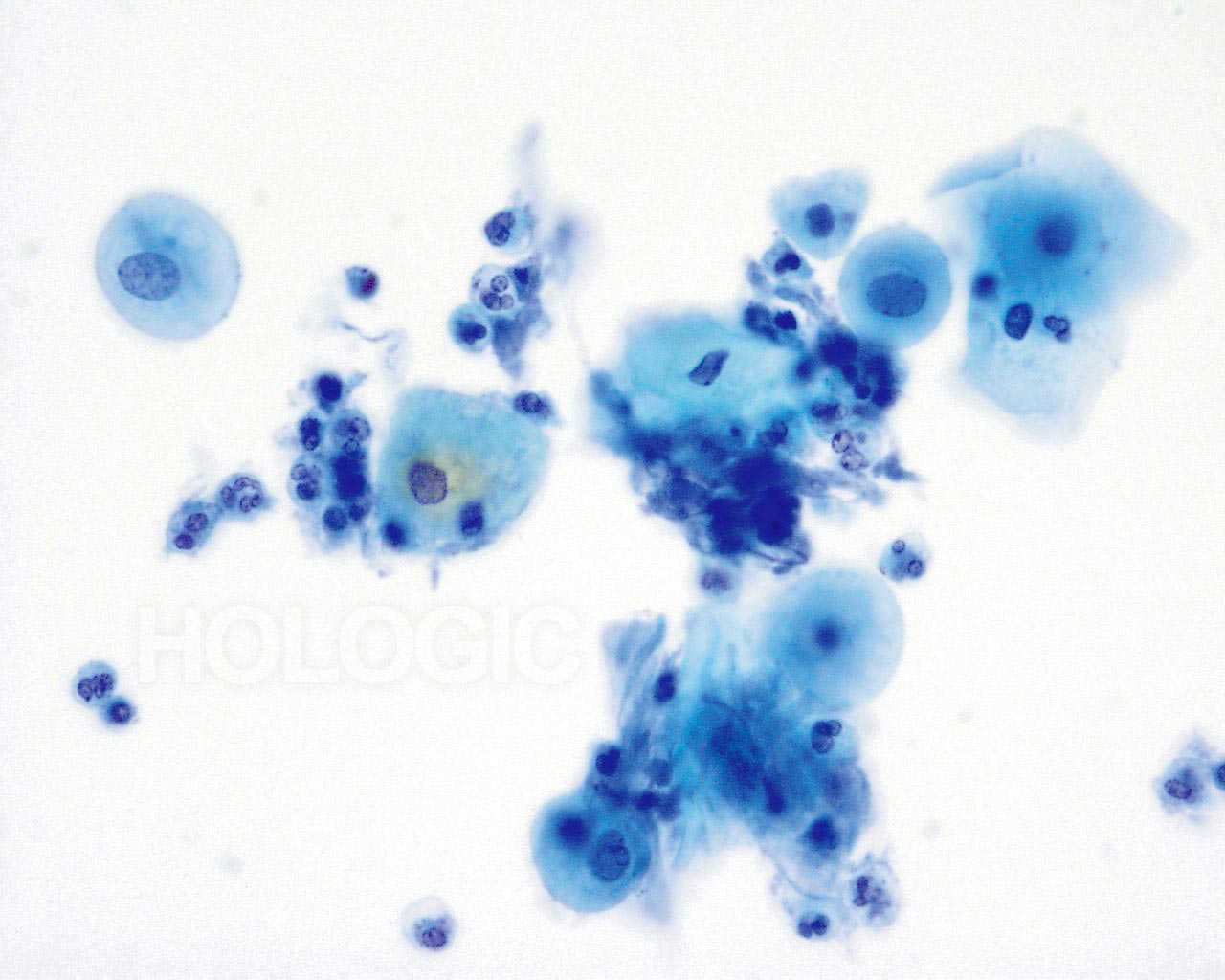
Actinomycètes
Les branches délicates et denses de bactéries filamenteuses accompagnées de granules de soufre permettent l’identification facile de l’organisme. Une infection aux Actinomycètes est souvent associée à l’utilisation d’un dispositif intra-utérin (DIU) ou d’un ovule.
Changements associés à un dispositif intra-utérin
Les patientes portant un dispositif intra-utérin peuvent occasionnellement présenter des cellules glandulaires isolées ou en groupes avec augmentation du rapport nucléo/cytoplasmique. Des nucléoles peuvent être présents et des vacuoles proéminentes peuvent conférer un aspect d’anneau aux cellules. Pour éviter un diagnostic d’AGUS, les changements cellulaires doivent être mis en corrélation avec les antécédents de la patiente. Ces changements accompagnent souvent une infection aux Actinomycètes.
Décalage dans la flore suggérant une vaginose bactérienne
En l’absence de lactobacilles normaux, les cellules malpighiennes peuvent être recouvertes de coccobacilles. Une culture bactérienne peut confirmer le diagnostic de vaginose bactérienne.
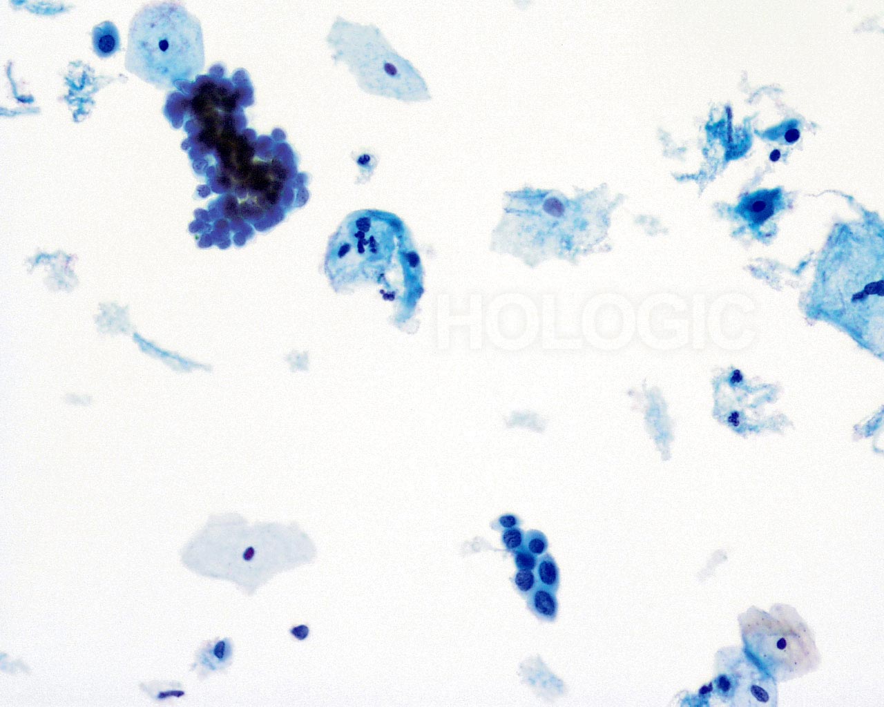
Cervicite folliculaire chronique
La présence de lymphocytes accompagnée de corps tingibles intracytoplasmiques peut indiquer une pathologie inflammatoire chronique ou la rupture d’un follicule lymphatique au cours du prélèvement. Sur la lame ThinPrep, les lymphocytes issus d’une cervicite folliculaire chronique apparaissent généralement dans de petits groupes rassemblés. La présence de corps tingibles intracytoplasmiques facilite le diagnostic.
Irradiation
A la suite d’une radiothérapie, on observe les mêmes changements sur des frottis conventionnels et des lames ThinPrep. Les cellules peuvent être élargies, présenter une multinucléation, une vacuolisation, une bi-chromasie et une chromatine altérée. Une leucophagocytose peut également être présente.
Atrophie avec inflammation
Les frottis conventionnels atrophiques contiennent généralement un fond uniforme de débris granulaires et de cellules inflammatoires dégénérées. Sur les lames ThinPrep, ces débris de fond sont également présents, mais ils sont souvent rassemblés en petits groupes le long de l’épithélium atrophique.
Décidualisation
Chez les patientes en fin de grossesse (ou en période de post-partum), les cellules peuvent présenter des changements capables d’imiter une dysplasie de haut grade. Les caractéristiques morphologiques de la décidualisation sont similaires sur les lames ThinPrep et les frottis conventionnels.
Réparation
Les critères de classification d’un processus de réparation utilisés pour les lames ThinPrep sont les mêmes que ceux du système Bethesda. (1994)
- Hyperthrophie nucléaire minimale (1½ à 2 fois un noyau de cellule intermédiaire normale)
- Bi et multinucléation possible
- Légère hyperchromasie éventuellement présente
- Chromatine finement granulaire, répartie de façon homogène
- Caryopycnose et caryorrhexis possibles
- Membranes nucléaires lisses
- Nucléoles isolés ou multiples proéminents
- Strates plates avec polarité conservée ; possibilité de rassemblement des groupes dans le liquide
- Possibilité de mitose et de cellules isolées.
- Souvent accompagnée de neutrophiles, de changements inflammatoires et/ou d’organismes
- Biscotti CV, et al: Thin-layer Pap test vs conventional Pap smear: Analysis of 400 split samples. J Reprod Med 2002;47(1):9-13.
- Lee KR, et al: Comparison of conventional Papanicolaou smears and a fluid-based, thin-layer system for cervical cancer screening. Obstet Gynecol 1997;90:278-284.
- Solomon, Diane, et al: The 2001 Bethesda System, terminology for reporting results of cervical cytology, JAMA 2002;287(16): 2114-2119.











































