Cytologie des effusions de la cavité pleurale, péricardique et péritonéale
ÉPANCHEMENTS – TUMEUR MALIGNE GASTRO-INTESTINALE MÉTASTATIQUE
de l’Atlas pour la voir dans un format plus grand.
Épanchement péritonéal :
Adénocarcinome gastrique. Population distincte de cellules présentant des caractéristiques malignes. Déplacement nucléaire dû à une grande vacuole sécrétoire, cellule “en bague à chatons”. Une partie provient du tube digestif, l’autre n’est pas facilement identifiable.
60x
Épanchement péritonéal :
Adénocarcinome gastrique. Population distincte de cellules présentant des caractéristiques malignes. Déplacement nucléaire dû à une grande vacuole sécrétoire, cellule “en bague à chatons”. Une partie provient du tube digestif, l’autre n’est pas facilement identifiable.
60x
Épanchement péritonéal:
Cytobloc, adénocarcinome gastrique. Cytobloc contenant des cellules qui présentent des caractéristiques malignes similaires à celles observées sur la lame ThinPrep de l’épanchement.
40x
Épanchement péritonéal:
Cytobloc, adénocarcinome gastrique. Cytobloc contenant des cellules qui présentent des caractéristiques malignes similaires à celles observées sur la lame ThinPrep de l’épanchement.
40x
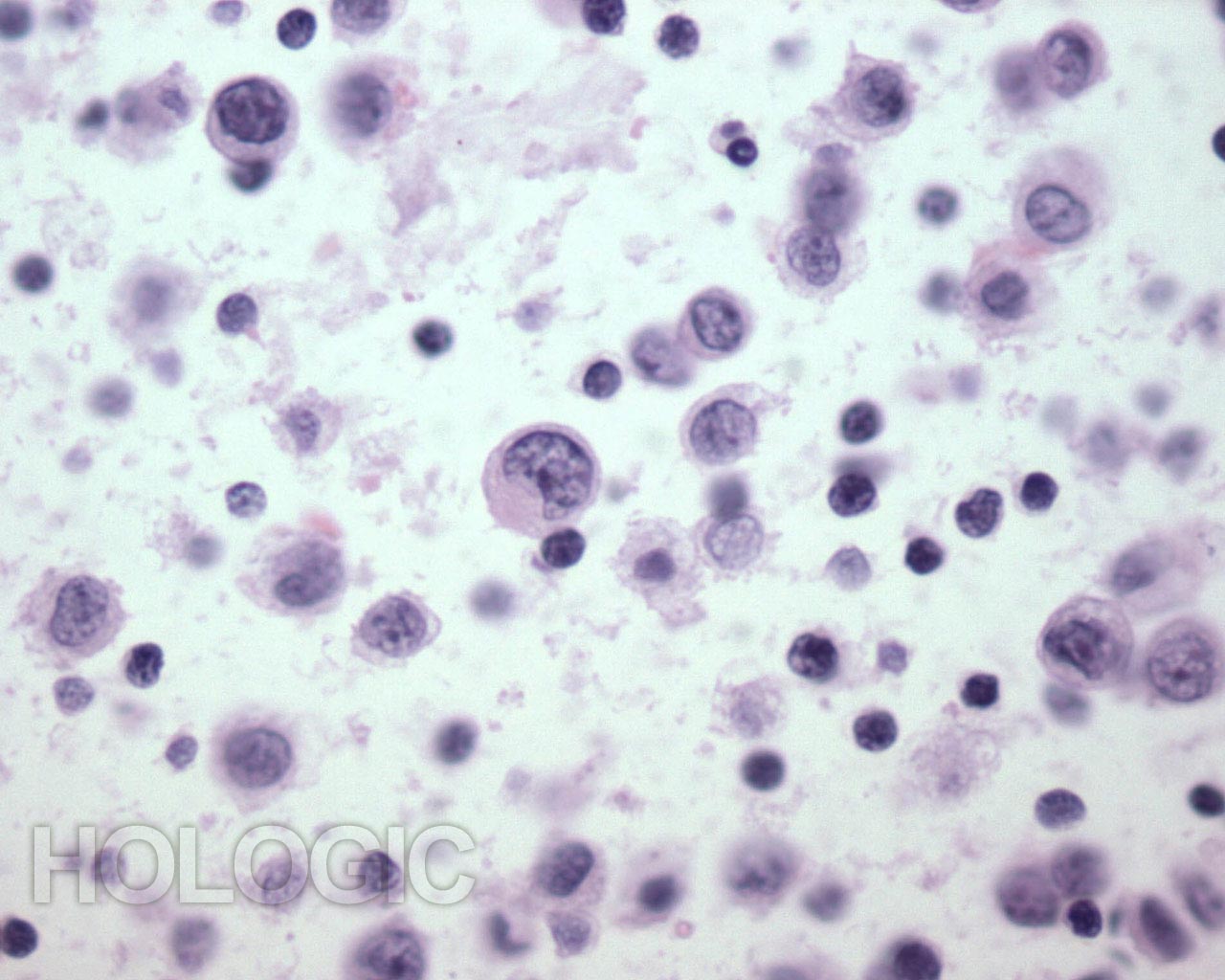
Épanchement péritonéal:
Carcinome gastrique mal différencié. Cellules malignes faciles à distinguer des cellules bénignes du fond.
20x
Épanchement péritonéal:
Carcinome gastrique mal différencié. Cellules malignes faciles à distinguer des cellules bénignes du fond.
20x
Épanchement péritonéal:
Carcinome gastrique mal différencié. Noyaux agrandis et excentrés, membranes nucléaires irrégulières et nucléoles proéminents.
60x
Épanchement péritonéal:
Carcinome gastrique mal différencié. Noyaux agrandis et excentrés, membranes nucléaires irrégulières et nucléoles proéminents.
60x
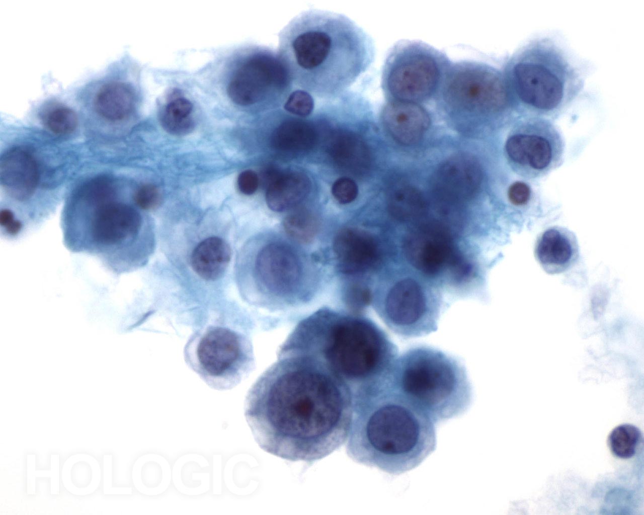
Épanchement péritonéal:
Carcinome gastrique. Épanchement péritonéal malin dans un cas de carcinome gastrique métastatique. Groupe lâche de cellules malignes avec noyaux pléomorphes et multiples figures de mitose.
60x
Épanchement péritonéal:
Carcinome gastrique. Épanchement péritonéal malin dans un cas de carcinome gastrique métastatique. Groupe lâche de cellules malignes avec noyaux pléomorphes et multiples figures de mitose.
60x
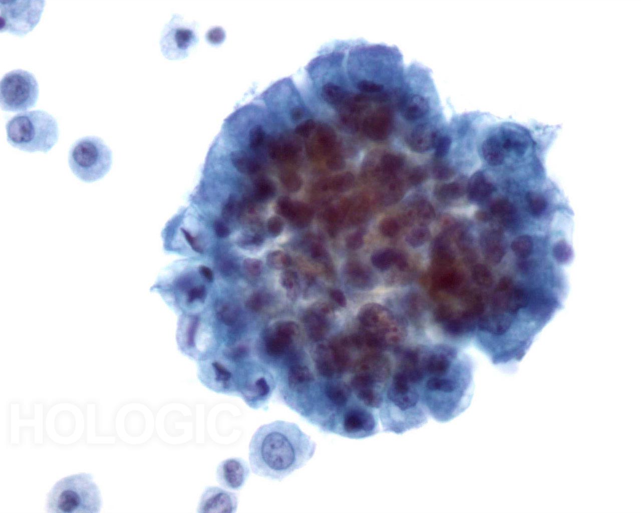
Épanchement pleural:
Carcinome gastrique.
40x
Épanchement pleural:
Carcinome gastrique.
60x
Fig 98 et 99: Épanchement pleural:
Carcinome gastrique.
Cellules glandulaires malignes siégeant dans un groupe arrondi et dense. Noter la polarité cellulaire maintenue des cellules de surface et le cytoplasme atypique. Noyaux irréguliers avec nucléoles proéminents.
Lavage abdominal:
Adénocarcinome du côlon.
20x
Lavage abdominal:
Adénocarcinome du côlon.
40x
Lavage abdominal:
Adénocarcinome du côlon.
60x
Fig 101 et 102: Lavage abdominal:Adénocarcinome du côlon.
Lavages abdominaux avec cellules glandulaires malignes. Échantillon provenant d’un patient souffrant d’un adénocarcinome du côlon. Groupes papillaires de cellules avec caractéristiques évidentes d’un adénocarcinome, mais aucun indice précis quant à l’origine de la tumeur.
Épanchement péritonéal:
Carcinome Hépato Cellulaire (CHC).
20x
Épanchement péritonéal:
Carcinome Hépato Cellulaire (CHC).
60x
Épanchement péritonéal:
Carcinome Hépato Cellulaire (CHC).
60x
Fig 103 à 105: Épanchement péritonéal:Carcinome Hépato Cellulaire (CHC).
Carcinome Hépato Cellulaire (CHC) susceptible de répandre des cellules malignes dans l’épanchement péritonéal. Cytoplasme granulaire et placé au centre, noyaux anormaux. Peut être difficile à distinguer d’un adénocarcinome.
Épanchement péritonéal:
Cholangiocarcinome.
20x
Épanchement péritonéal:
Cholangiocarcinome.
40x
Épanchement péritonéal:
Cholangiocarcinome.
60x
Fig 106 à 108: Épanchement péritonéal: Cholangiocarcinome.
Cholangiocarcinome, provenant d’une source intra-hépatique ou d’un arbre biliaire extra-hépatique, peut ressembler à un adénocarcinome ailleurs dans les voies GI. Le site peut être déterminé en excluant les autres sources à l’aide d’une endoscopie, ultrasonographie et/ou tomographie.
Lavage péritonéal:
Suspicion de cancer du pancréas.
60x
Lavage péritonéal:
Suspicion de cancer du pancréas.
60x
Épanchement péritonéal:
Cancer du pancréas.
20x
Épanchement péritonéal:
Cancer du pancréas.
40x
Épanchement péritonéal:
Cancer du pancréas.
60x
Fig 111 à 113: Épanchement péritonéal: Cancer du pancréas.
Tumeurs pancréatobiliaires provoquant une obstruction et une réponse fibreuse de l’hôte. Dans de rares cas, libération de cellules dans la cavité péritonéale, le plus souvent après invasion omentale.
















