Cytologie de l'appareil urinaire
CARCINOME UROTHÉLIAL DE HAUT GRADE
de l’Atlas pour la voir dans un format plus grand.
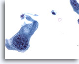
Urine obtenue par cathétérisme, carcinome urothélial de haut grade
Les échantillons de ces carcinomes sont souvent abondamment cellulaires.
20x
Urine obtenue par cathétérisme, carcinome urothélial de haut grade
Les échantillons de ces carcinomes sont souvent abondamment cellulaires.
20x
Urine obtenue par cathétérisme, carcinome urothélial de haut grade
Dans cette affection, les cellules présentent souvent un rapport N/C élevé.
40x
Urine obtenue par cathétérisme, carcinome urothélial de haut grade
Dans cette affection, les cellules présentent souvent un rapport N/C élevé.
40x
Urine obtenue par cathétérisme, carcinome urothélial de haut grade
Dans cette affection, les noyaux sont souvent excentrés et présentent une membrane épaissie comportant de nombreuses circonvolutions.
60x
Urine obtenue par cathétérisme, carcinome urothélial de haut grade
Dans cette affection, les noyaux sont souvent excentrés et présentent une membrane épaissie comportant de nombreuses circonvolutions.
60x
Urine, carcinome urothélial de haut grade
Dans cette affection, la chromatine des noyaux est grossière, hyperchromatique et souvent irrégulièrement dispersée.
60x
Urine, carcinome urothélial de haut grade
Dans cette affection, la chromatine des noyaux est grossière, hyperchromatique et souvent irrégulièrement dispersée.
60x
Urine, carcinome urothélial de haut grade
Dans cette affection, les cellules sont pléomorphes et les noyaux peuvent contenir un nucléole irrégulier proéminent.
60x
Urine, carcinome urothélial de haut grade
Dans cette affection, les cellules sont pléomorphes et les noyaux peuvent contenir un nucléole irrégulier proéminent.
60x
Urine, carcinome urothélial de haut grade
Dans cette affection, la chromatine est grossière et hyperchromatique.
60x
Urine, carcinome urothélial de haut grade
Dans cette affection, la chromatine est grossière et hyperchromatique.
60x
Urine, carcinome urothélial de haut grade
Cellules souvent isolées avec cytoplasme cyanophile mal démarqué.
60x
Urine, carcinome urothélial de haut grade
Cellules souvent isolées avec cytoplasme cyanophile mal démarqué.
60x
Urine, carcinome urothélial de haut grade
Dans cette affection, les noyaux peuvent être pointus.
60x
Urine, carcinome urothélial de haut grade
Dans cette affection, les noyaux peuvent être pointus.
60x
Lavage vésical, carcinome urothélial de haut grade
Dans cette affection, les cellules anaplasiques sont relativement faciles à diagnostiquer.
60x
Lavage vésical, carcinome urothélial de haut grade
Dans cette affection, les cellules anaplasiques sont relativement faciles à diagnostiquer.
60x
Urine obtenue par cathétérisme, carcinome urothélial de haut grade
Dans cette affection, les cellules peuvent siéger dans des groupes.
60x
Urine obtenue par cathétérisme, carcinome urothélial de haut grade
Dans cette affection, les cellules peuvent siéger dans des groupes.
60x
Urine, carcinome urothélial de haut grade
Dans cette affection, les noyaux peuvent présenter de multiples nucléoles irréguliers.
60x
Urine, carcinome urothélial de haut grade
Dans cette affection, les noyaux peuvent présenter de multiples nucléoles irréguliers.
60x
Urine, carcinome urothélial de haut grade
Les cellules urothéliales peuvent être papillaires ou non papillaires.
60x
Urine, carcinome urothélial de haut grade
Les cellules urothéliales peuvent être papillaires ou non papillaires.
60x
