Rappel : Vous pouvez cliquer sur une image
de l’Atlas pour la voir dans un format plus grand.
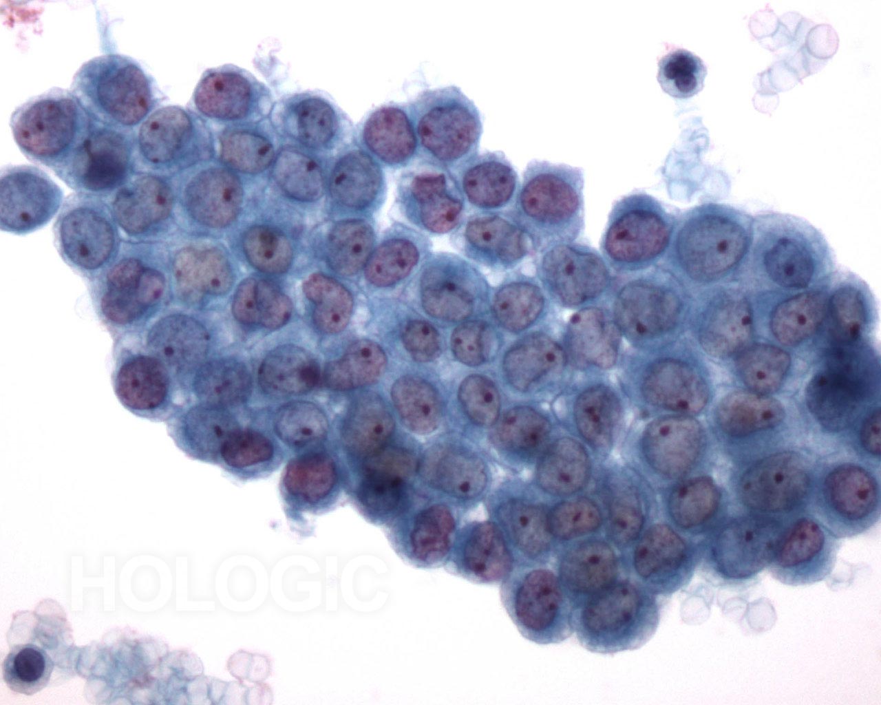
Figure 1
Épanchement pleural :
Cellules mésothéliales bénignes
20X
Figure 1
Épanchement pleural :
Cellules mésothéliales bénignes
20X
Figure 2
Épanchement pleural :
Cellules mésothéliales bénignes
40X
Figure 2
Épanchement pleural :
Cellules mésothéliales bénignes
40X
Figure 3
Épanchement pleural :
Cellules mésothéliales bénignes
60X
Figure 3
Épanchement pleural :
Cellules mésothéliales bénignes
60X
Figures 1 à 3 – Épanchement pleural : Cellules mésothéliales bénignes.
Amas de cellules mésothéliales bénignes (contenant souvent moins de 12 cellules, mais parfois composés de plus de 50 cellules). Sur ces microphotographies, la dispersion régulière de cellules uniformes, avec noyaux réguliers, membranes nucléaires délicates et petits nucléoles ronds indiquent la nature bénigne de ces cellules.
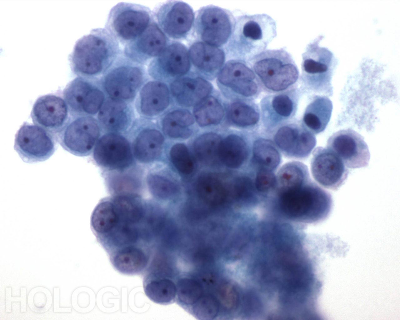
Figure 4
Épanchement pleural :
Cellules mésothéliales réactionnelles.
60X
Figure 4
Épanchement pleural :
Cellules mésothéliales réactionnelles.
60X
Figure 5
Épanchement pleural :
Cellules mésothéliales réactionnelles.
60x
Figure 5
Épanchement pleural :
Cellules mésothéliales réactionnelles.
60x
Figures 4 et 5 : Épanchement pleural : Cellules mésothéliales réactionnelles.
En cas d’inflammation, le nombre de cellules mésothéliales augmente, leur taille est très variable et elles peuvent être multinucléées. Le diagnostic implique (1) l’application de critères individuels de bénignité et (2) l’établissement de la présence d’un continuum ininterrompu de tailles (de petite à très grande). Noter les noyaux augmentés en taille, petits nucléoles multiples et espaces entre les cellules contiguës (appelés “fenêtres”). Présence de cellules inflammatoires dans le fond.
Figure 6
Épanchement péritonéal :
Cellules mésothéliales réactionnelles.
60X
Figure 6
Épanchement péritonéal :
Cellules mésothéliales réactionnelles.
60X
A l’instar des épanchements pleuraux, les cellules mésothéliales des épanchements péritonéaux peuvent avoir des dimensions extrêmement variables. Elles peuvent également être mélangées à des cellules inflammatoires et des histiocytes.
Figure 7
Épanchement péritonéal :
Bénin.
60X
Figure 7
Épanchement péritonéal :
Bénin.
60X
Cohésion modérée dans cet amas de cellules mésothéliales. Noyaux uniformes, membranes nucléaires fines et délicates, petits nucléoles ronds et uniformes.
Figure 8
Épanchement péritonéal :
Cellules mésothéliales réactionnelles.
60X
Figure 8
Épanchement péritonéal :
Cellules mésothéliales réactionnelles.
60X
Épanchement péritonéal dont le phénomène réactionnel est une anisocytose cellulaire modérée.
Figure 9
Épanchement pleural :
Artefacts.
20X
Figure 9
Épanchement pleural :
Artefacts.
20X
Des fibres provenant des instruments utilisés pour le prélèvement ou le traitement des échantillons peuvent être observées dans les liquides d’épanchements (quelle que soit leur origine).
Figure 10
Épanchement péricardique :
Cellules mésothéliales bénignes.
20X
Figure 10
Épanchement péricardique :
Cellules mésothéliales bénignes.
20X
Figure 11
Épanchement péricardique :
Cellules mésothéliales bénignes.
40X
Figure 11
Épanchement péricardique :
Cellules mésothéliales bénignes.
40X
Figure 12
Épanchement péricardique :
Cellules mésothéliales bénignes.
60X
Figure 12
Épanchement péricardique :
Cellules mésothéliales bénignes.
60X