Cellient Atlas - Schildklier FNA

INLEIDING

Andrew H. Fischer, M.D

Let op: De celblokafbeeldingen zijn tot stand gekomen doormiddel van een handmatige methode, ten tijde van de ontwikkelings fase van het geautomatiseerde instrument.

De Papanicolaou Society of Cytopathology heeft onlangs een uniform classificatiesysteem van schildklier FNA’s voorgesteld. om ambiguïteit tussen pathologen en clinici te minimaliseren [1]. In dit hoofdstuk zullen we door hen voorgestelde classificatie gebruiken.

  • Onvoldoende/niet diagnostisch
  • Benigne (omvat hyperplastische/adenomatoïde nodulen en lymfocytische thyroïditis)
  • Cellaesie, folliculair neoplasma kan niet worden uitgesloten.
  • Folliculair neoplasma
  • Vermoeden van maligniteit (type specificeren)
  • Maligne (inclusief papillair schildkliercarcinoom, medullair carcinoom, anaplastisch carcinoom en andere tumoren)

Conventionele cytologische preparaten van schildklier FNA’s verschaffen de volgende diagnostische informatie:

  1. Morfologie van de kern
  2. Microfolliculaire vs macrofolliculaire organisatie en hoeveelheid colloïde.
  3. Samenstelling van het colloïde (waterig vs dicht opeengepakt)
  4. Aanwezigheid van macrofagen met hemosiderine
  5. Aan- of afwezigheid van lymfocyten
  6. Variatie in celmorfologie van groep tot groep

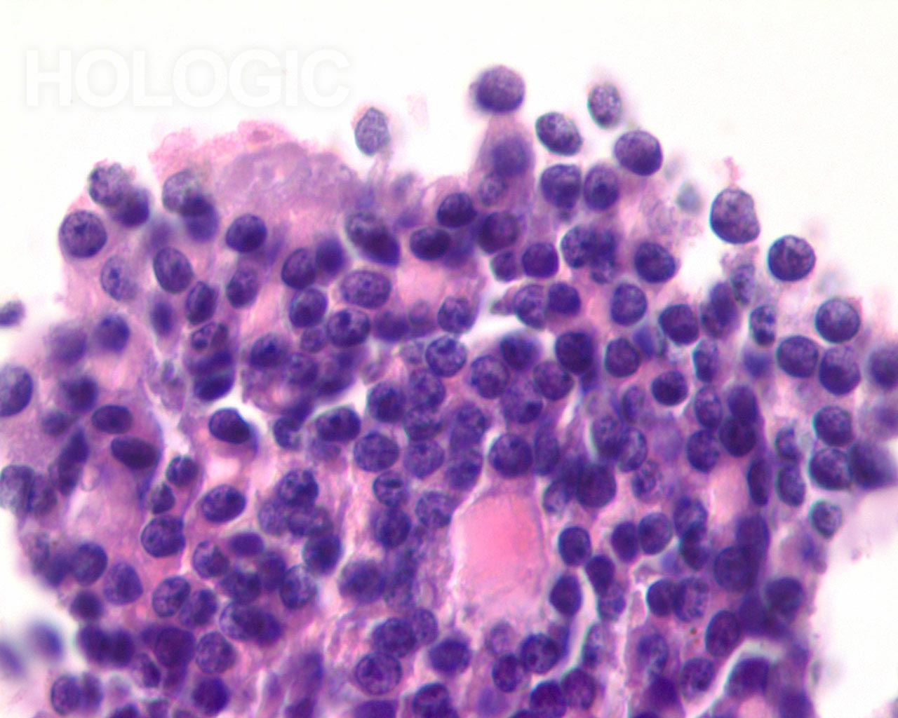
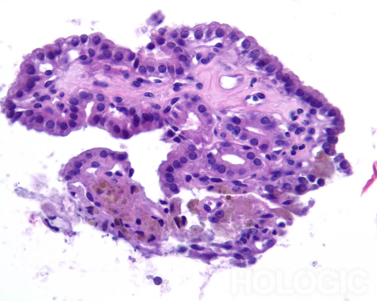
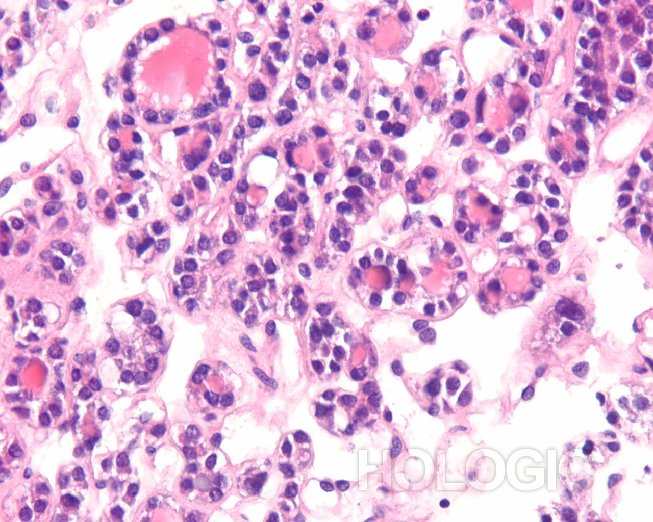
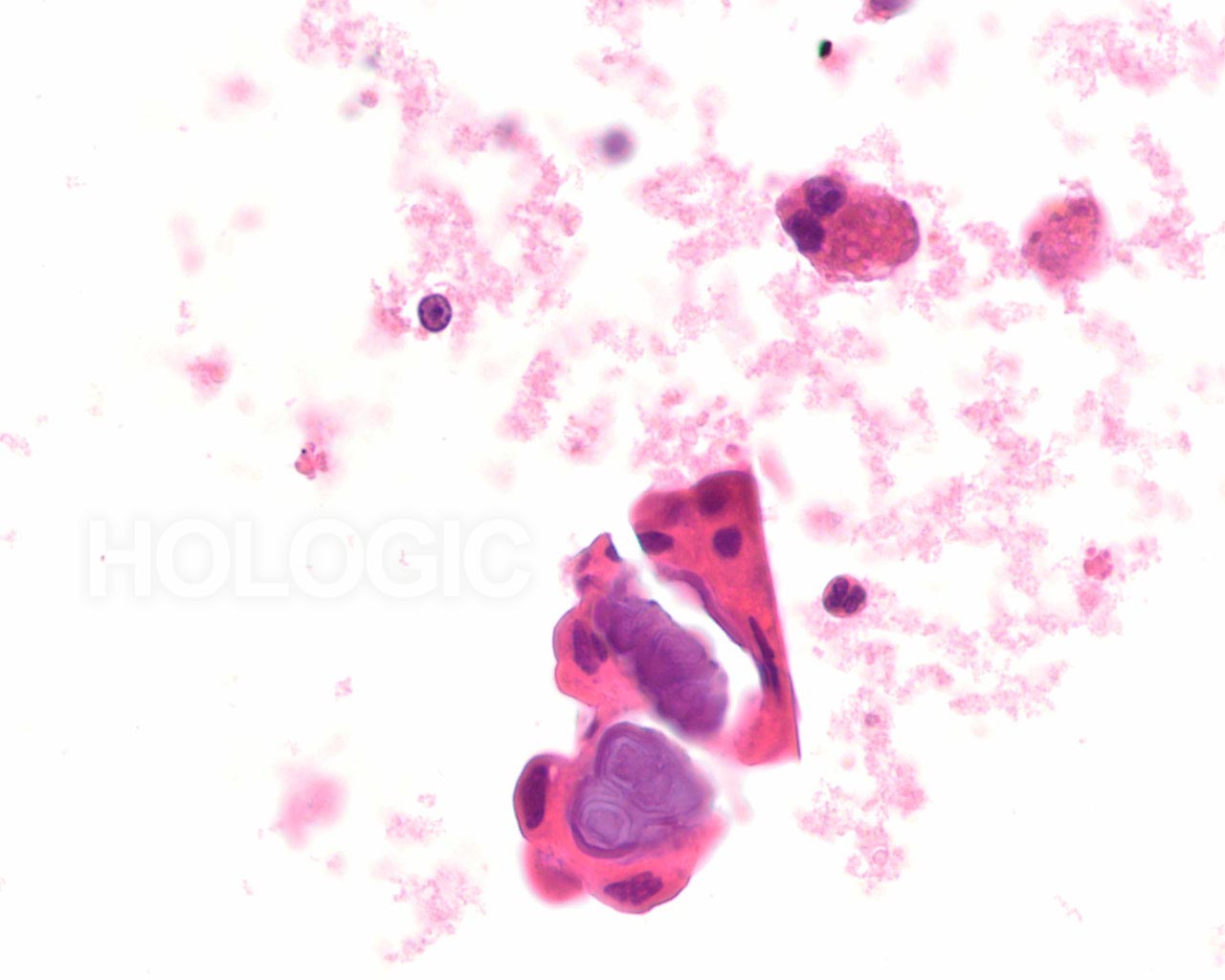
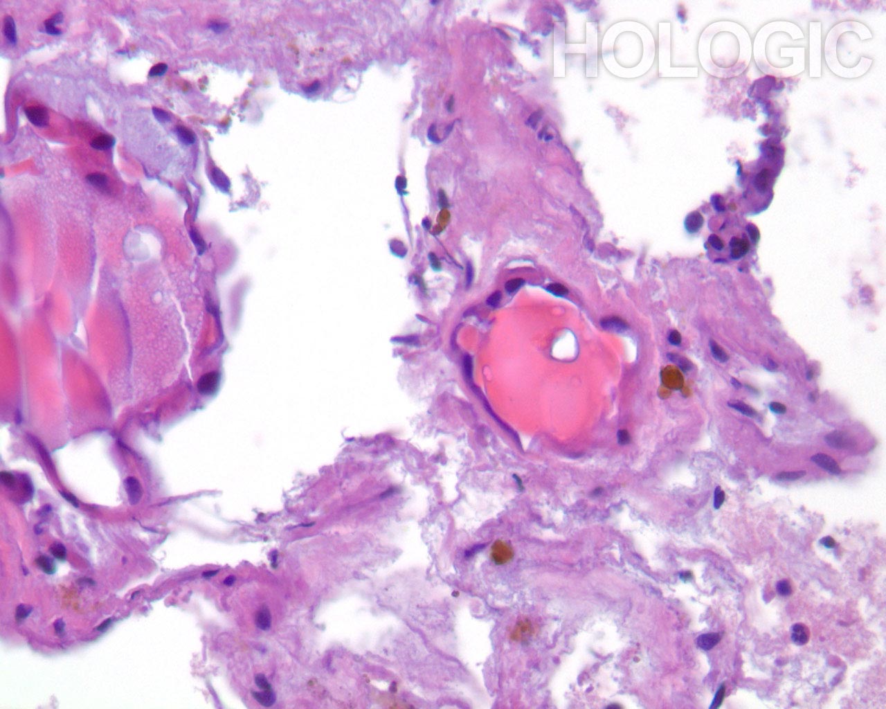
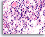
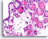
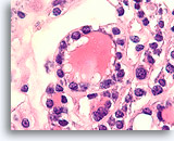
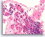
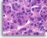
Zoals hieronder wordt beschreven, moet de morfologie van de kern worden beschreven om een papillair schildkliercarcinoom uit te sluiten. Of een laesie microfolliculair of macrofolliculair is, houdt rechtstreeks verband met de hoeveelheid colloïde en de verhouding folliculaire cellen ten opzichte van colloïd. In het algemeen zijn neoplasmen van het folliculaire type microfolliculair met weinig dicht colloïd [2]. Papillaire schildkliercarcinomen kunnen zowel micro- als macrofolliculair zijn [2]. Benigne folliculaire nodulen zijn meestal macrofolliculair en vertonen vaak cystische degeneratie [2, 3]. De cystische degeneratie in benigne folliculaire nodulen ziet eruit alsof het een veneuze stasiscomponent heeft en vertoont oedemateus waterig colloïd met hemosiderine. Papillaire schildkliercarcinomen vertonen ook vaak macrofagen met hemosiderine [2].Een dergelijke cystische degeneratie is echter naar men zegt erg ongebruikelijk bij folliculaire neoplasmen [2, 3],en dat is ook onze ervaring. Daarom vormt de aanwezigheid van hemosiderine na uitsluiting van een papillair schildkliercarcinoom (op basis van de afwezigheid van de karakteristieke kenmerken van de kern die hieronder worden beschreven), sterk bewijs voor een benigne folliculaire laesie. Lymfocyten worden vaak met plasmacellen en fragmenten van germinale centra in lymfocytische thyroïditis waargenomen, maar ze zijn zeldzaam bij folliculaire neoplasmen [2], zelfs folliculaire neoplasmen die in de context van lymfocytische thyroïditis ontstaan. Lymfocyten en plasmacellen komen echter relatief vaak voor bij papillaire schildkliercarcinomen. Benigne folliculaire laesies tonen gewoonlijk van groep tot groep enige variatie in de cytologische kenmerken en vormen dus geen monomorfe populatie.

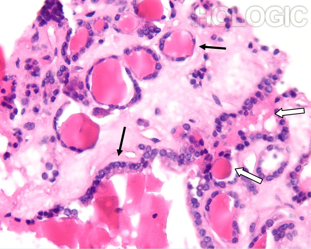
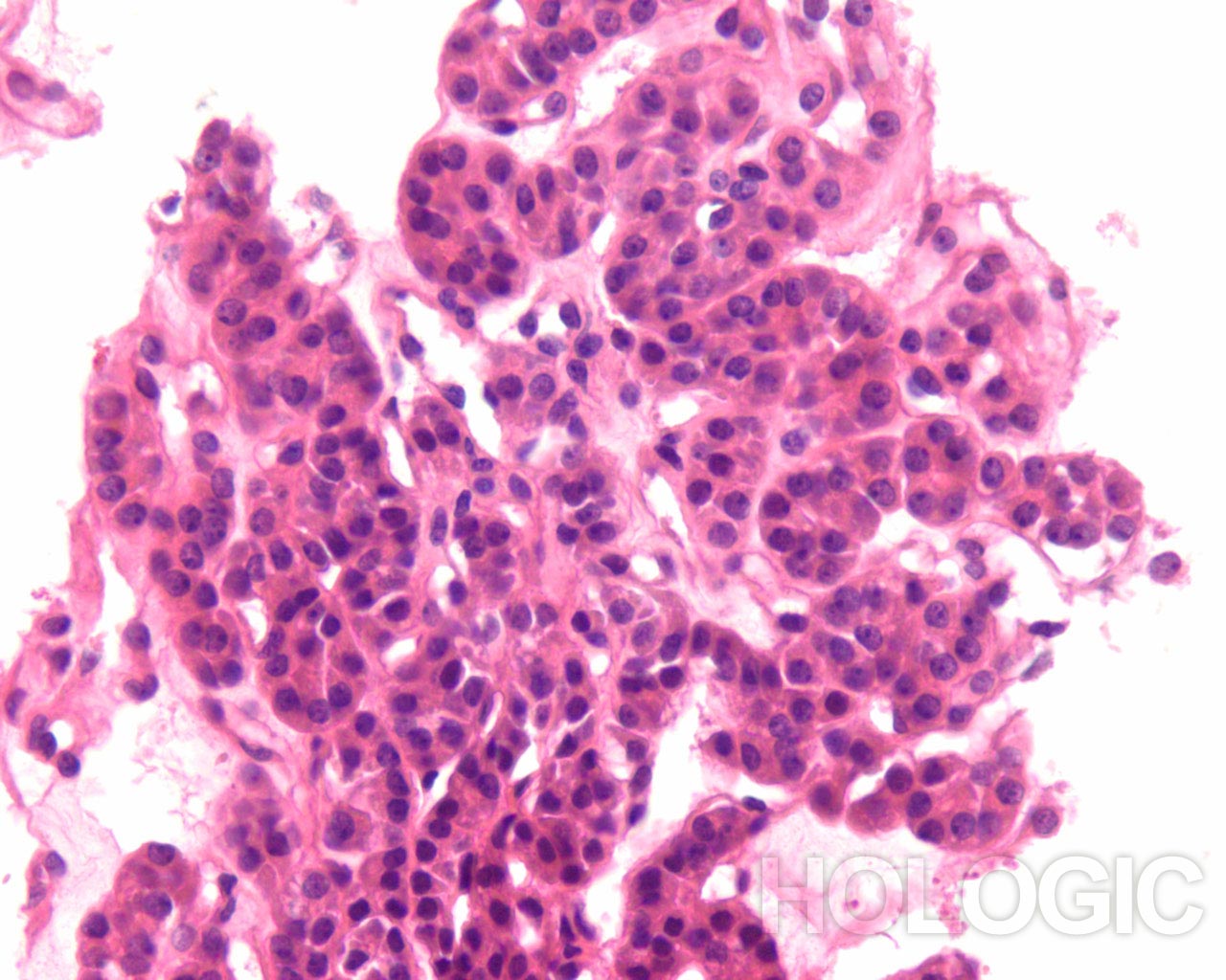
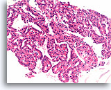
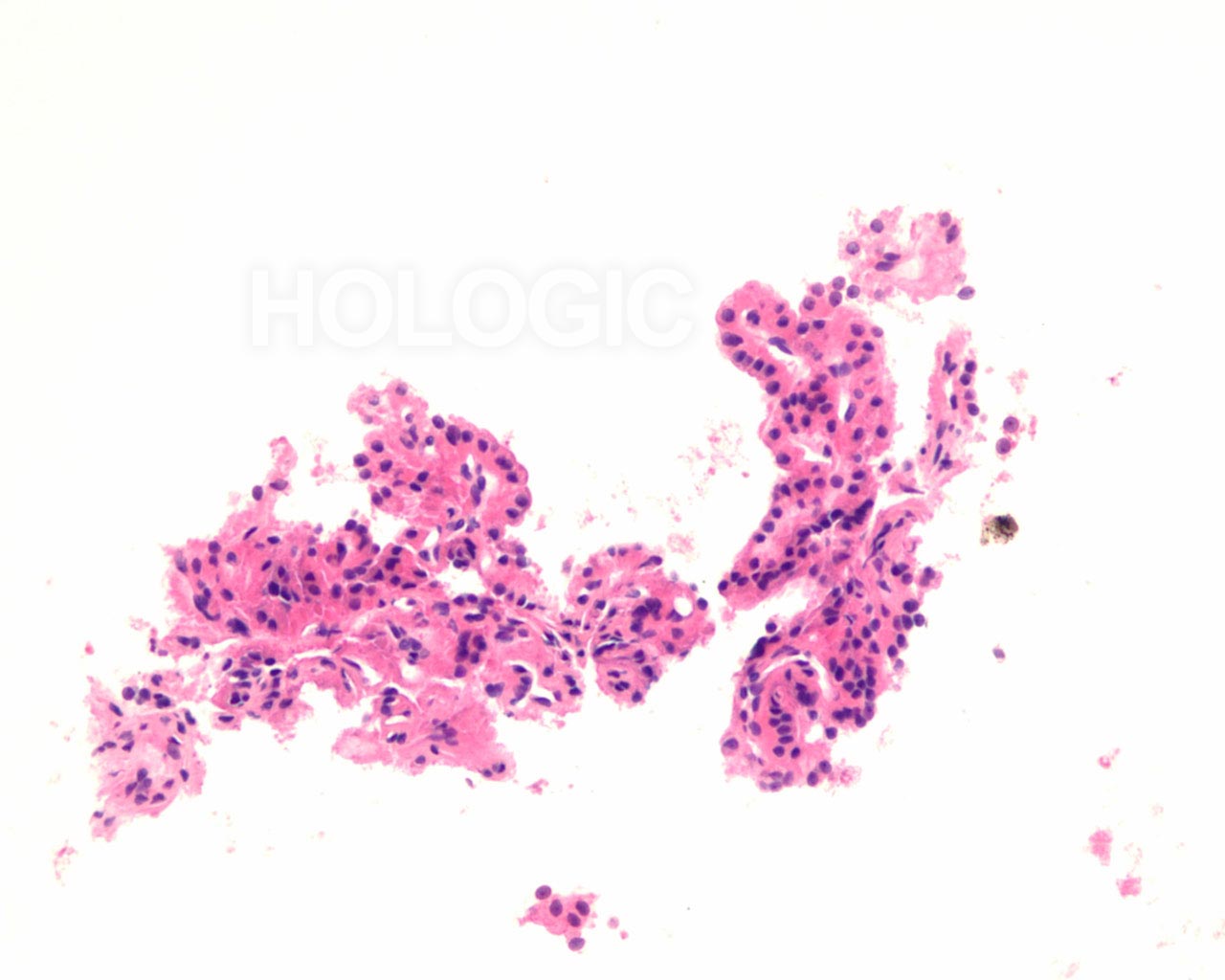
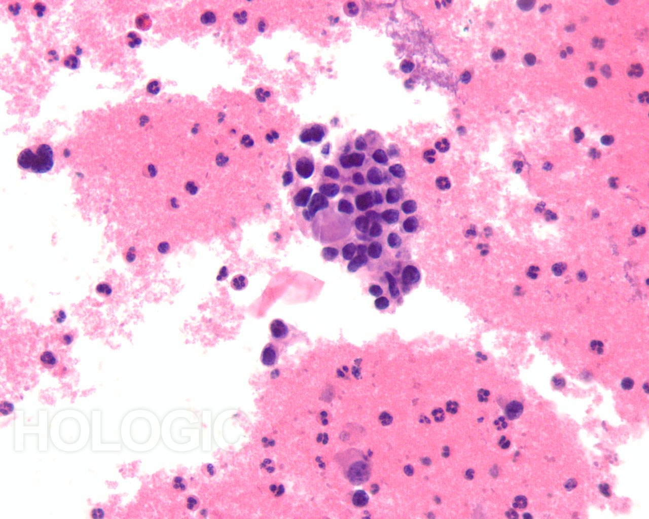
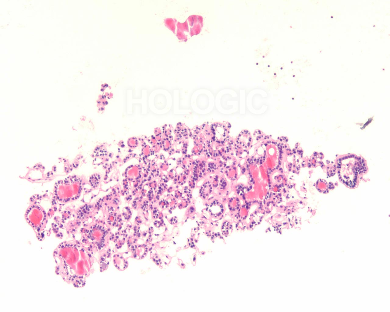
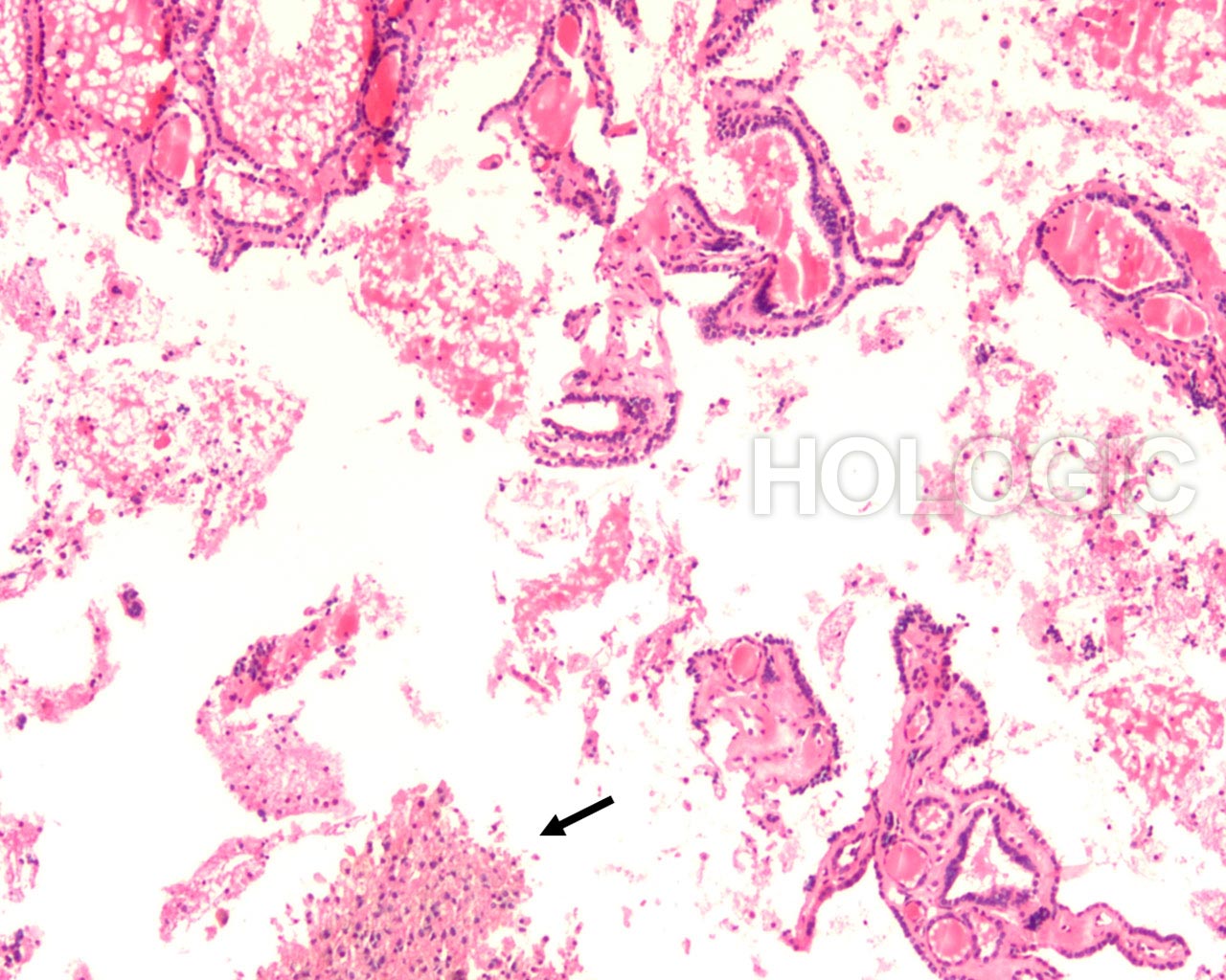
Celblokken verschaffen alle diagnostische informatie die hierboven vermeld is, met uitzondering van erg waterig colloïd. In onze ervaring houdt de aanwezigheid van hemosiderine in een folliculair-achtige laesie bijna altijd verband met waterig colloïde. Solide colloïde fragmenten zijn vaak overvloediger aanwezig in het celblok dan in de overeenkomstige ThinPrep®.

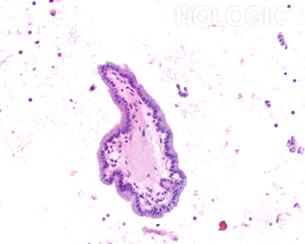
Een core biopt kan synergetisch zijn met FNA voor een accurate evaluatie van thyroïde nodulen.[4, 5]. Evenzo kan de combinatie van celblokken met FNA nuttig zijn, omdat op die manier diagnostische patronen zichtbaar worden die in enkele lagen niet duidelijk zijn [6, 7]. Kern heeft gevonden dat 1/5 van de schildklier FNA’s alleen diagnostisch materiaal had in de celblokcoupes en niet in uitstrijken [8]. In de volgende secties wordt de diagnostische synergie tussen eenlagige preparaten zoals ThinPrep® en celblokken geïllustreerd. ThinPrep® worden gebruikt voor de kleinere fragmenten die gemakkelijk te bestuderen zijn zonder histologische coupes te maken. De resterende grote fragmenten worden in het celblok gevangen en maken het beter mogelijk te zien hoe de celmorfologie varieert over grotere afstanden, hetgeen nuttig is voor de volgende diagnostische problemen:

  • Lymfocytische thyroidits met hürthlecelveranderingen vs hürthlecelneoplasmen
  • Lymfocytische thyroïditis met reactieve folliculaire cellen vs papillair schildkliercarcinoom
  • Lymfocytische thyroïditis met reactieve folliculaire cellen vs papillair schildkliercarcinoom
  • Microfolliculaire groepen in een struma vs een folliculair neoplasma.

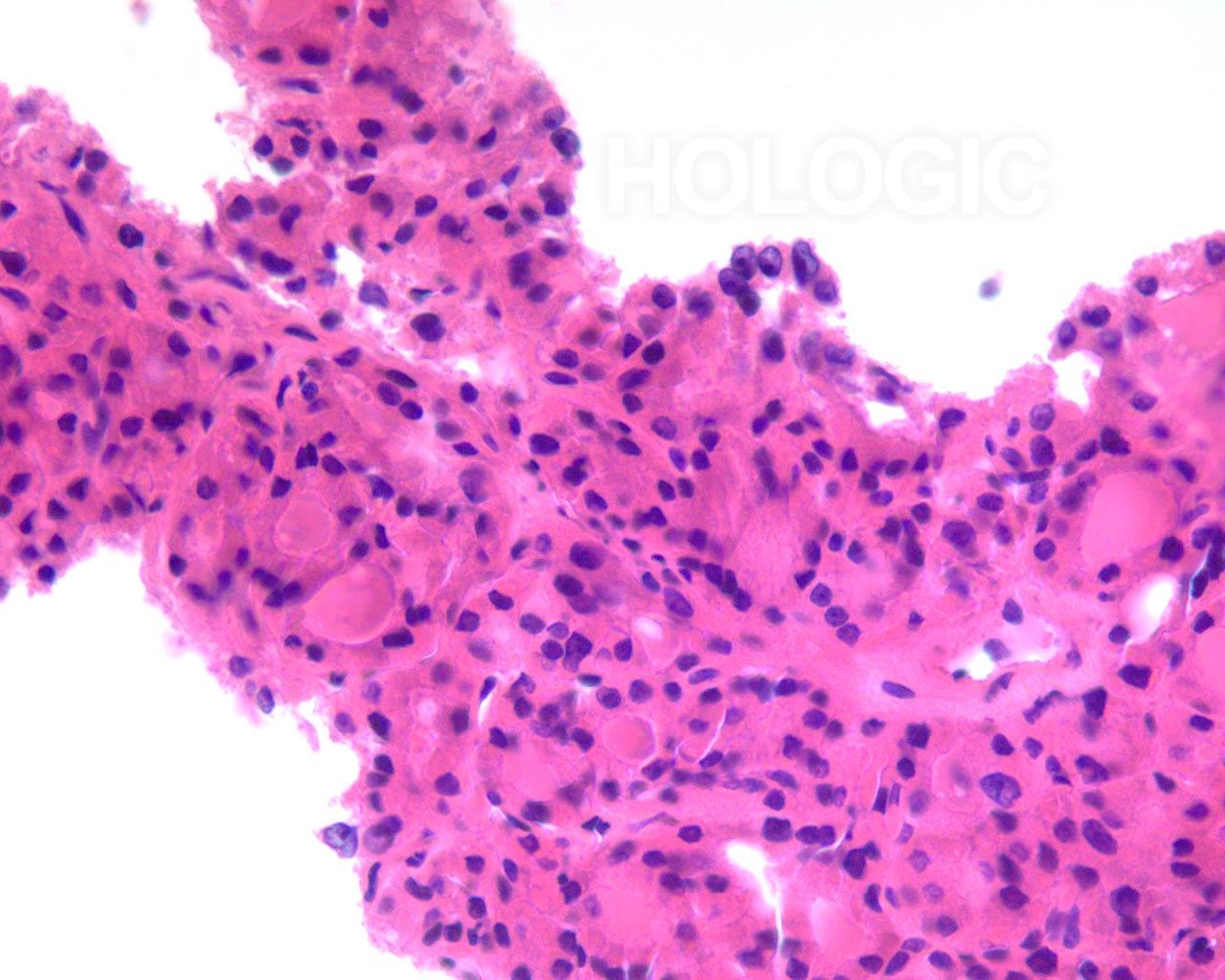
In dit hoofdstuk worden sommige van deze voordelen geïllustreerd. In het algemeen vertonen neoplastische hürthlecelveranderingen of focaal reactieve lege plekken in de kern die duiden op een papillair schildkliercarcinoom, een spectrum aan veranderingen tonen die zich over het bereik van een enkele follikels met normaal uitziende folliculaire cellen vermengen. In celblokken is het mogelijk te zien hoe de reactieve veranderingen ruimtelijk verband houden met gebieden waarin lymfocytische vernietiging van de follikels plaatsvindt, of gebieden in een benigne colloïde nodule die leeggehaald zijn en de herstelreactie oproepen die lijkt op een papillair schildkliercarcinoom. In tegenstelling daarmee vertonen neoplastische hürthlecellen of papillaire schildkliercarcinomen vergeleken met benigne folliculaire cellen een abrupte (klonaal uitziende) overgang die geen duidelijk verband houdt met een lymfocytisch infiltraat.

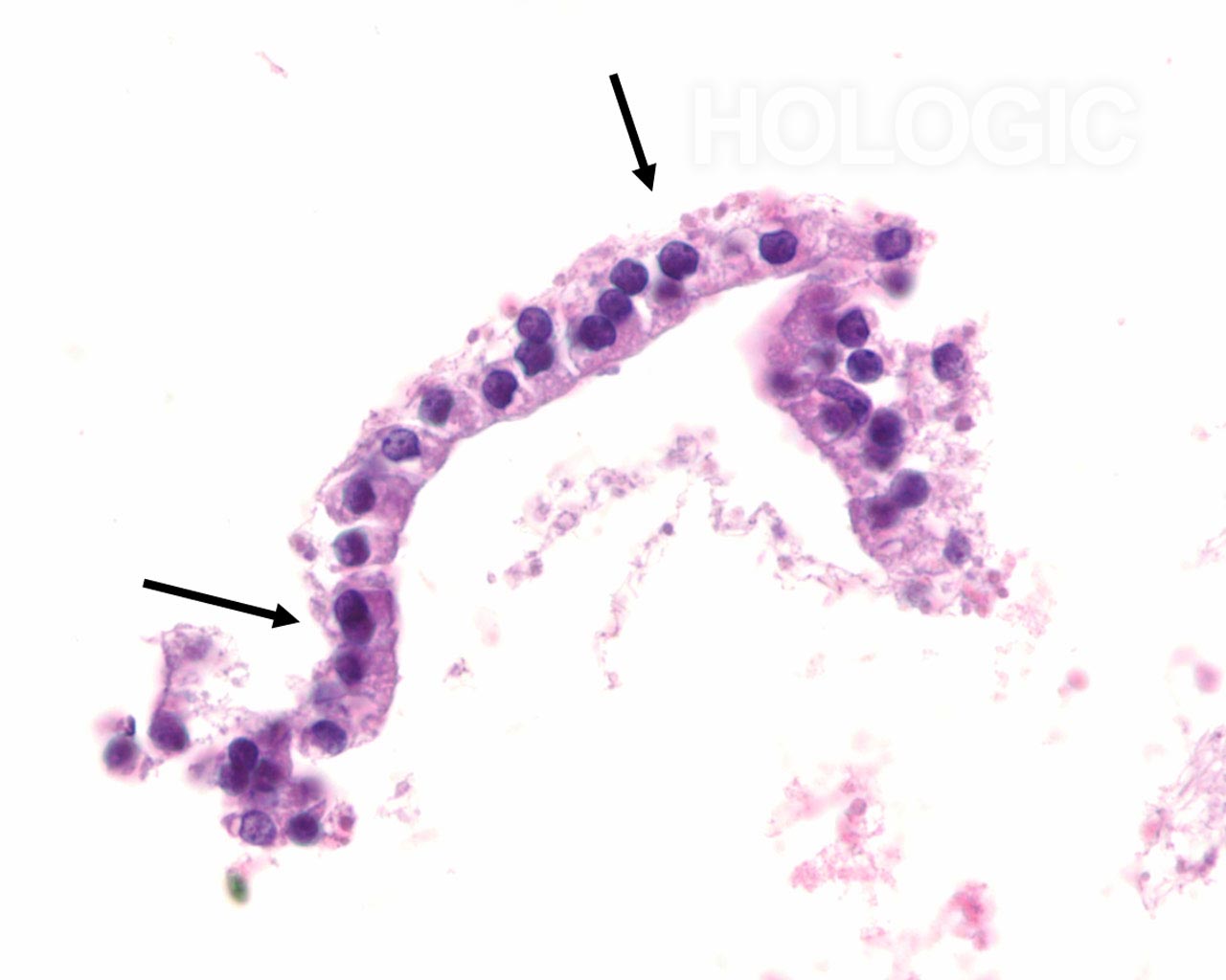
Met celblokken kan de afmeting van de follikel beoordeeld worden op een manier die een aanvulling vormt op de ThinPrep-glaasjes. Om een follikel als groot aan te merken, moeten de folliculaire cellen over een tamelijke grote afstand 2-dimensionaal georganiseerd zijn; als de follikels klein zijn, bevinden de cellen zich niet in een brede 2-dimensionale, platte laag. Het is verrassend moeilijk het eens te worden over de definitie van ‘macrofolliculair’ [9]. Acht tot 10 folliculaire celdiameters lijkt een redelijke definitie voor de macrofolliculaire colloïd fragmenten [9], of voor de diameter van platte, 2-dimensionele macrofolliculaire lagen. In weefselcoupes die loodrecht op een macrofolliculaire groep zijn gesneden, zien de macrofollikels eruit als een lineaire ordening van ten minste 8 folliculaire cellen. Als de sectie in het vlak van een macrofolliculaire groep snijdt, kan men gemakkelijk een solide uitziende celmassa tegenkomen die analoog is aan een weefselcoupe die tangentieel recht door de ductale cellaag snijdt in een schildklier biopsie. Net als pathologen een dergelijke tangentiële coupe kunnen herkennen en kunnen onderscheiden van ductale hyperplasie, kan men een tangentiële coupe door macrofolliculaire groepen herkennen. Dit wordt hieronder geïllustreerd. Microfollikels hebben per definitie een hoge ratio tussen de cellen en het colloïd en de cellen kunnen niet in een brede 2-dimensionele laag liggen. In celblokcoupes vertonen microfollikels geen lange lineaire organisatie van cellen. Renshaw et al. vonden een significante grijze zone onder experts in het onderscheid tussen microfolliculaire en macrofolliculaire groeperingen op cytologische preparaten [9].Een van de belangrijkste grijze gebieden betreft het probleem van folliculaire cellen die artefactueel op elkaar zijn gestapeld. Deze artefactuele stapeling van cellen lijkt gemakkelijker te diagnosticeren in weefselcoupes. Een ander probleemgebied betreft die gevallen waarin microfollikels en macrofollikels door elkaar zijn gemengd. Het is ons en anderen opgevallen dat benigne stromanodulen vaak plat cytoplasma vertonen in de cellen van de microfollikels. De robuustere cellen van een folliculair neoplasma tonen vaak veelal kubusvormige of zelfs cilindrische, folliculaire cellen die de microfollikels bekleden [7]. Deze kenmerken zijn duidelijk in celblokcoupes en worden hieronder geïllustreerd.

Benigne folliculaire nodulen vertonen vaak een bijmenging van cytologisch verschillende typen folliculaire cellen. De follikels van folliculaire neoplasmen zijn meestal uniform van aard. Hoewel het uiterlijk van de follikels in een cytologisch preparaat van groep tot groep kan worden vergeleken, kan deze benadering van het beoordelen van de klonaliteit soms moeilijk zijn. Het kan bijvoorbeeld onmogelijk zijn om te weten of de FNA-naald buiten het neoplasma monsters heeft genomen. Met celblokken kunnen de morfologische kenmerken van waarlijk aangrenzende follikels over een bereik van enkele honderden microns geëvalueerd worden, zoals hieronder geïllustreerd wordt.

Er zijn enkele verschillen in het uiterlijk tussen kernen in directe uitstrijken, ThinPrep® en celblokken. Een voordeel van celblokken is dat ze een gemeenschappelijk platform vormen dat kan worden gedeeld met chirurgische pathologen die de uiteindelijke diagnose stellen op basis van een biopsiemonster. We illustreren het nut van deze benadering voor de classificatie van FNA’s van problematische laesies met folliculair patroon met gedeeltelijk ontwikkelde nucleaire kenmerken van papillair schildkliercarcinoom [3].

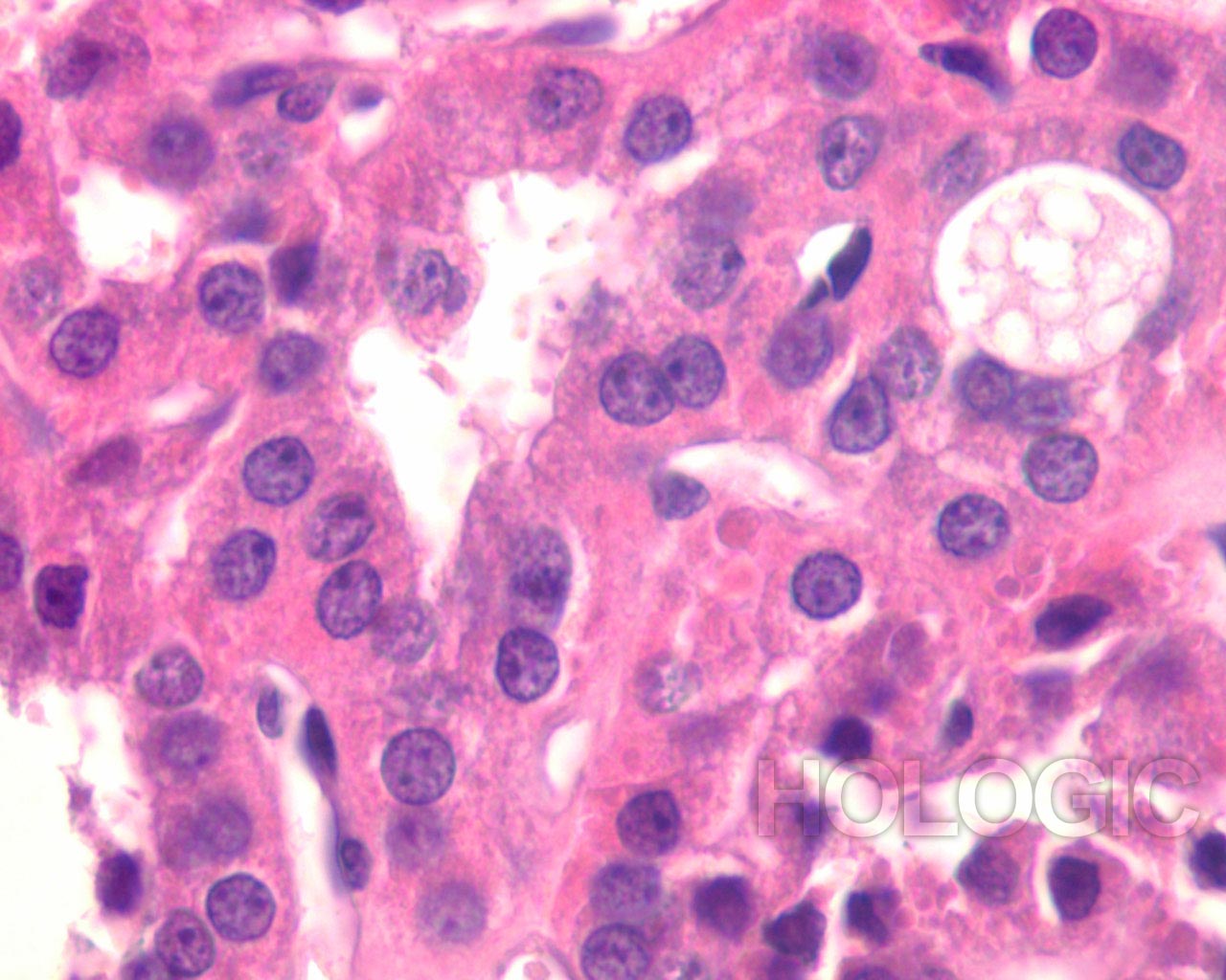
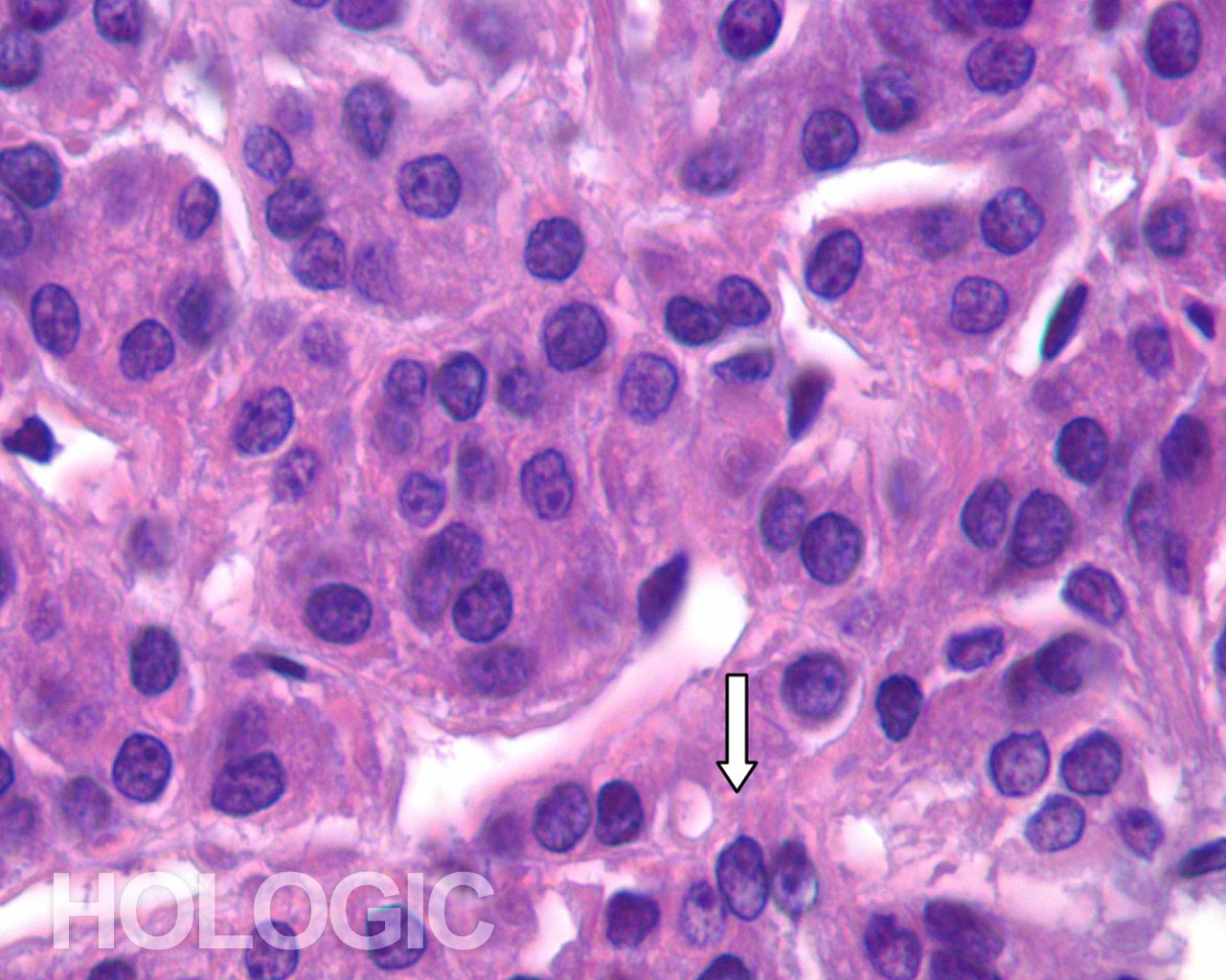
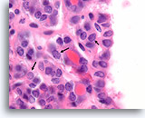
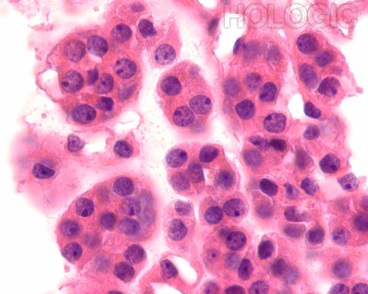
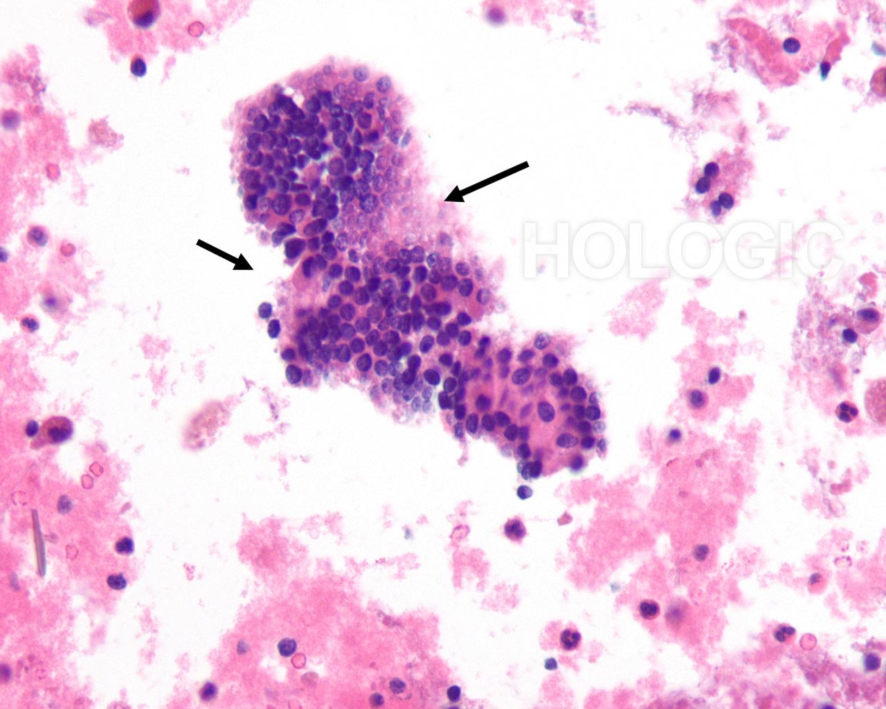
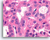
Papillair schildkliercarcinoom is een gemakkelijke diagnose als de nucleaire kenmerken goed ontwikkeld zijn en het monster goed is gepreserveerd. De beste diagnostische kenmerken van papillair schildkliercarcinoom zijn fijn verdeeld chromatine en een onregelmatige nucleaire envelop[2]. Het is interessant dat papillair schildkliercarcinoom het eerste voorbeeld is van een kanker waarbij de diagnostische nucleaire kenmerken rechtstreeks gerelateerd zijn aan de genen die de kanker veroorzaken (besproken in [10]). Een reeks van verschillende onregelmatigheden van de nucleaire envelop kan aanwezig zijn [11]. De chromatine van een papillair schildkliercarcinoom is verdeeld in erg fijne deeltjes en aangezien een groot deel van de chromatine gelijkmatig aan de nucleaire envelop kleeft, heeft zelfs een kleine vouw als gevolg dat de chromatine in de nucleaire envelop er uitziet als een lineair aggregaat of een langwerpige groef. Vooral intranucleaire cytoplasmische inclusies zijn kenmerkend voor een papillair schildkliercarcinoom, maar deze kunnen ook worden aangetroffen bij medullaire schildkliercarcinoom. Deze intranucleaire cytoplasmische inclusie ziet eruit als een scherpe demarcatie die afkomstig is van het heterochromatine in de nucleaire envelop, waardoor het een duidelijke donkerpaarse begrenzing van het cytoplasma vormt. Intranucleaire cytoplasmische inclusies komen zelden voor bij folliculaire neoplasmen [2].

Folliculaire neoplasmen tonen in tegenstelling tot een papillair schildkliercarcinoom compacte aggregaten van heterochromatine. Het is onze ervaring dat de kern van een papillair carcinoom grofweg kan worden onderscheiden van kernen van folliculaire carcinomen, doordat papillaire schildkliercarcinomen vaak meer lineaire aggregaten chromatine vertonen (erg oppervlakkige vouwen van de nucleaire envelop) dan ronde of geklonterde chromatinemassa’s. Deze kenmerken worden hieronder geïllustreerd.

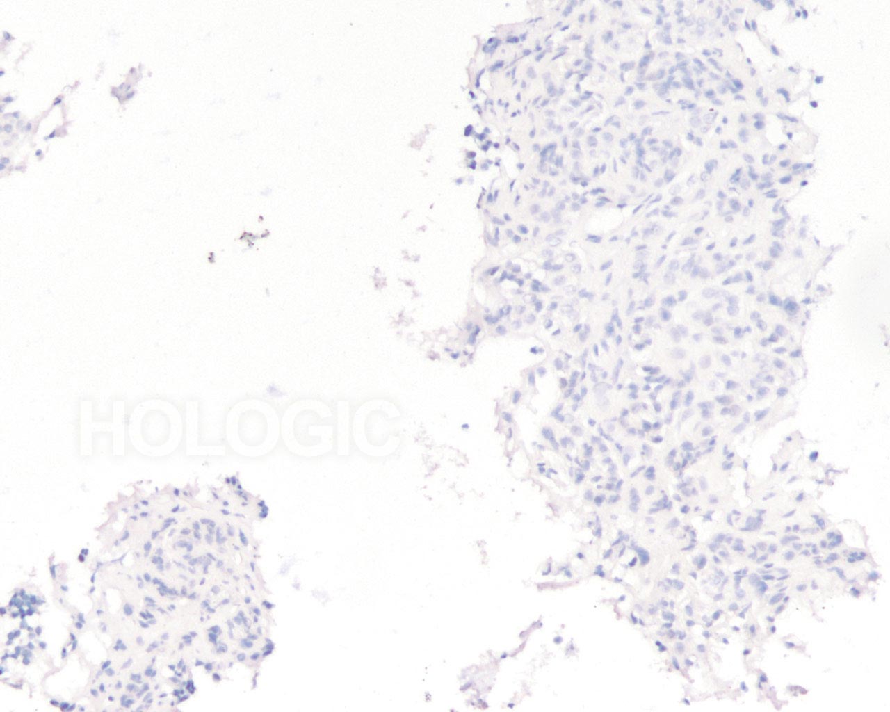
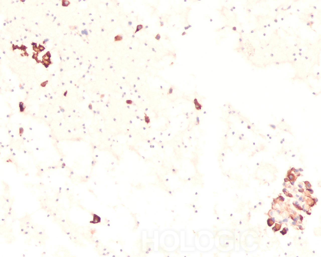
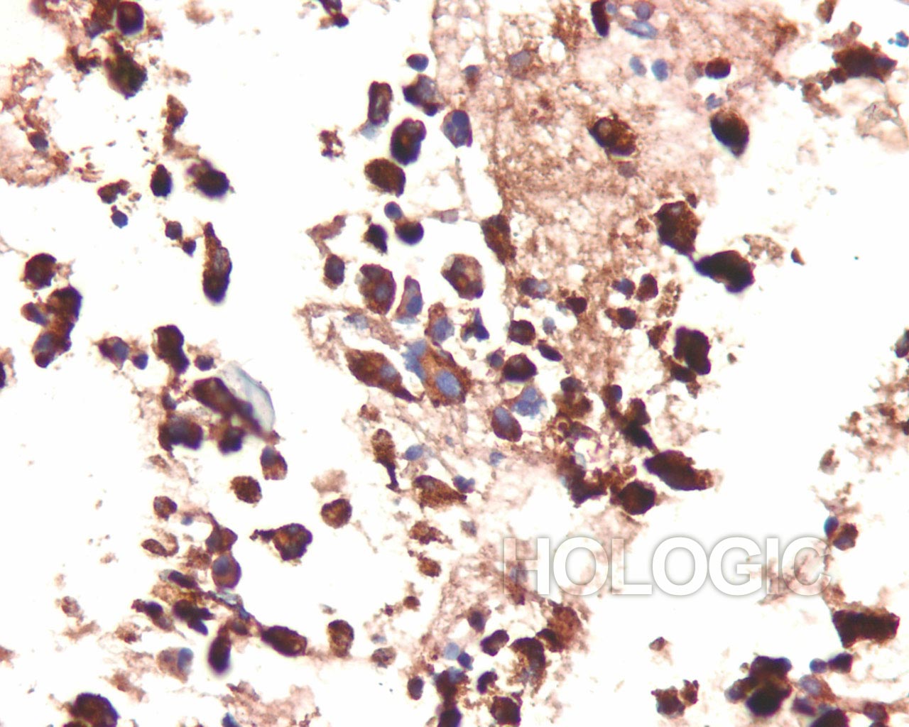
Celblokken verschaffen een stabiel platform voor immunohistochemie. Immunohistochemie voor calcitonine wordt aanbevolen om een medullair schildkliercarcinoom te bevestigen [1]. het immunohistochemisch onderscheid tussen een papillair schildkliercarcinoom en folliculaire neoplasmen heeft geen groot succes gehad [12]. In het algemeen is het zo dat als cellen nucleaire veranderingen ontwikkelen die op papillair schildkliercarcinoom lijken, de cellen markers hebben van papillair schildkliercarcinoom, inclusief positieve kleuring voor cytokeratine 19 en HBME. HBME. [13, 14]. Het onderscheid tussen papillair schildkliercarcinoom en reactieve veranderingen wordt in dergelijke gevallen bepaald door de grootschaliger architecturele kenmerken die soms duidelijk aanwezig zijn in celblokken. De toekomstige ontwikkeling van markers die de diagnostische categorieën van folliculaire laesies in FNA kunnen onderscheiden, vereist vermoedelijk een stabiel platform voor immunohistochemisch of moleculair onderzoek. In paraffine ingebedde celblokken verschaffen een dergelijk platform. We illustreren een nieuwe toepassing van immunokleuring met CD34 die de specifieke diagnose van een insulair type slecht gedifferentieerd schildkliercarcinoom.

CytologyStuff