Respiratoire cytologie van de lagere luchtwegen is belangrijk bij de beoordeling van longziekten. Diagnose komt tot stand door de evaluatie van exfoliatieve cytologie (sputum, bronchiaal borstelmonster, bronchiale spoeling en broncho-alveolaire spoeling) en FNA (fijne-naald aspiratie)-cytologie (percutaan, transthoracaal, transbronchiaal en endoscopisch onder ultrasound geleiding.
Voor optimale longcytologie is een juiste monsterverzameling, fixatie en verwerking verplicht. Er is aangetoond dat verzameling in Cytolyt®voor het prepareren van het ThinPrep® objectglaasje een uitstekende methode vormt voor monstername bij de ademhalingswegen. Op deze manier worden allerlei beperkingen van conventionele uitstrijkjes vermeden. Zo wordt het aantal te onderzoeken objectglaasjes teruggebracht, worden luchtdrogingsartefacten geëlimineerd en worden de aantallen storende elementen zoals mucus, bloed en inflammatie, beperkt. Restmateriaal van de monsterflacon kan gebruikt worden voor aanvullende onderzoeken, zoals speciale kleuringen voor organismen.
De belangrijkste diagnostische problemen bij longcytologie zijn onder andere identificatie van organismen en het maken van onderscheid tussen reactief type 2 pneumocyten en goed gedifferentieerd bronchio-alveolair carcinoom, tussen reactief bronchiaal epitheel en maligniteit, tussen adenocarcinoom en plaveiselcelcarcinoom, tussen niet-kleincellig carcinoom en kleincellig anaplastisch carcinoom. Ook de cytologische differentiële diagnose van neuroendocriene tumoren is een probleem. Op ThinPrep objectglaasjes zijn micro-organismen gemakkelijker te vinden en de morfologie is vergelijkbaar met die van conventionele uitstrijkjes. Dankzij de goed gepreserveerde kernkenmerken, is de differentiële diagnose tussen reactief type 2 pneumocyten en bronchio-alveolair carcinoom, relatief ongecompliceerd.
In vergelijking met conventionele preparatiemethoden heeft longcytologie geprepareerd via de ThinPrep techniek de volgende kenmerken:
Kernmolding in kleincellig anaplastisch carcinoom is subtiel. Dit doet zich meer voor als een onopvallende kernoverlap. Verbrijzelingsartefacten kunnen worden aangetroffen als spoelkernen of als lange blauwe fibreuze structuren.
De volgende afbeeldingen geven een overzicht van de morfologische kenmerken van verschillende longaandoeningen op ThinPrep objectglaasjes.
Herinnering: U kunt op elke willekeurige afbeelding
in de Atlas klikken voor een vergroot beeld.
Afbeelding 1
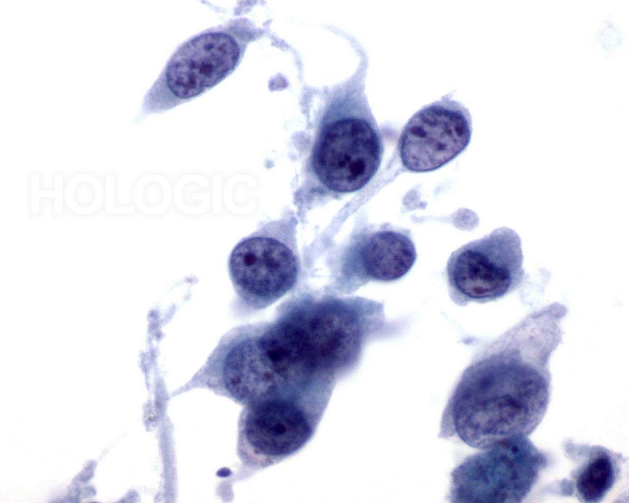
Long FNA, herpes febrilis, virusinfectie van de long.
Hier zijn karakteristieke virale cytopathische effecten te zien van multinucleatie, kernmolding en matglaschromatine, met eosinofiele intranucleaire inclusies.
60x
Afbeelding 1
Long FNA, herpes febrilis, virusinfectie van de long.
Hier zijn karakteristieke virale cytopathische effecten te zien van multinucleatie, kernmolding en matglaschromatine, met eosinofiele intranucleaire inclusies.
60x
Afbeelding 2
Long FNA, grootcellig longcarcinoom.
Een laag slecht gedifferentieerde carcinoomcellen met duidelijke celgrenzen. De cellen zijn ongeorganiseerd en vertonen focale nucleaire overlap. De achtergrond is schoon en er wordt geen tumordiathese waargenomen. De tumorcellen hebben geen specifieke kenmerken van squameuze of glandulaire differentiatie.
40x
Afbeelding 2
Long FNA, grootcellig longcarcinoom.
Een laag slecht gedifferentieerde carcinoomcellen met duidelijke celgrenzen. De cellen zijn ongeorganiseerd en vertonen focale nucleaire overlap. De achtergrond is schoon en er wordt geen tumordiathese waargenomen. De tumorcellen hebben geen specifieke kenmerken van squameuze of glandulaire differentiatie.
40x
Afbeelding 3
Long FNA, grootcellig longcarcinoom.
De tumorcellen zijn groot, in vergelijking met de paar apoptotische cellen in de laag. Cytoplasma is goed gepreserveerd, matige hoeveelheid en dens tot fijn gevacuoliseerd. Cellulaire veranderingen die suggestief zijn voor intracellulaire bruggen, een kenmerk van squameuze differentiatie, zijn zichtbaar. Kernen zijn rond tot ovaal met grof klonterig chromatine en verdikt glad membraan. Nucleoli zijn prominent, onregelmatig, los en multipel. Kern/cytoplasma-ratio is hoog.
60x
Afbeelding 3
Long FNA, grootcellig longcarcinoom.
De tumorcellen zijn groot, in vergelijking met de paar apoptotische cellen in de laag. Cytoplasma is goed gepreserveerd, matige hoeveelheid en dens tot fijn gevacuoliseerd. Cellulaire veranderingen die suggestief zijn voor intracellulaire bruggen, een kenmerk van squameuze differentiatie, zijn zichtbaar. Kernen zijn rond tot ovaal met grof klonterig chromatine en verdikt glad membraan. Nucleoli zijn prominent, onregelmatig, los en multipel. Kern/cytoplasma-ratio is hoog.
60x
Afbeelding 4
Long FNA, Adenocarcinoom van de long.
Een cluster van maligne glandulaire cellen met uitschulpingen aan de celgrenzen. De achtergrond is schoon en er wordt geen tumordiathese waargenomen. De maligne cellen zijn goed gepreserveerd. Cytoplasma vertoont fijne tot grote discrete vacuolen, sommige met ingesnoerde neutrofielen.
60x
Afbeelding 4
Long FNA, Adenocarcinoom van de long.
Een cluster van maligne glandulaire cellen met uitschulpingen aan de celgrenzen. De achtergrond is schoon en er wordt geen tumordiathese waargenomen. De maligne cellen zijn goed gepreserveerd. Cytoplasma vertoont fijne tot grote discrete vacuolen, sommige met ingesnoerde neutrofielen.
60x
Afbeelding 5
Long FNA, Adenocarcinoom van de long.
Kernen zijn rond tot ovaal, excentrisch en hebben vesiculair chromatine. Celkernmembraan vertoont wat onregelmatigheid en verdikking. Nucleoli liggen los, zijn prominent en kersenrood van kleur. Kern/cytoplasma-ratio is hoog.
60x
Afbeelding 5
Long FNA, Adenocarcinoom van de long.
Kernen zijn rond tot ovaal, excentrisch en hebben vesiculair chromatine. Celkernmembraan vertoont wat onregelmatigheid en verdikking. Nucleoli liggen los, zijn prominent en kersenrood van kleur. Kern/cytoplasma-ratio is hoog.
60x
Afbeelding 6
Long FNA, Bronchio-alveolair longcarcinoom.
Een driedimensionale groep van goed gedifferentieerde adenocarcinoomcellen, met weinig slecht gedefinieerde microacini. Achtergrond vertoont mucoïde materiaal.
60x
Afbeelding 6
Long FNA, Bronchio-alveolair longcarcinoom.
Een driedimensionale groep van goed gedifferentieerde adenocarcinoomcellen, met weinig slecht gedefinieerde microacini. Achtergrond vertoont mucoïde materiaal.
60x
Afbeelding 7
Long FNA, Bronchio-alveolair longcarcinoom.
Cytoplasma in matige hoeveelheid, van verschillende dichtheid met incidentele vacuolen. Kernen vertonen polariteitsverlies, zijn klein en hyperchromatisch met minimaal pleomorfisme. Deze cellen zijn moeilijk te onderscheiden van reactieve bronchiale cellen.
60x
Afbeelding 7
Long FNA, Bronchio-alveolair longcarcinoom.
Cytoplasma in matige hoeveelheid, van verschillende dichtheid met incidentele vacuolen. Kernen vertonen polariteitsverlies, zijn klein en hyperchromatisch met minimaal pleomorfisme. Deze cellen zijn moeilijk te onderscheiden van reactieve bronchiale cellen.
60x
Afbeelding 8
Long FNA, Bronchio-alveolair longcarcinoom.
De driedimensionale groep vertoont aanzienlijke scherptediepte, dens cytoplasma met hyperchromatische kernen en prominente nucleoli. Achtergrond vertoont mucoïde materiaal.
60x
Afbeelding 8
Long FNA, Bronchio-alveolair longcarcinoom.
De driedimensionale groep vertoont aanzienlijke scherptediepte, dens cytoplasma met hyperchromatische kernen en prominente nucleoli. Achtergrond vertoont mucoïde materiaal.
60x
Afbeelding 9
Long FNA, Slecht gedifferentieerd plaveiselcelcarcinoom van de long.
Hier is een los cohesief fragment van maligne plaveiselcellen te zien. De tumordiathese verschijnt als een kleine klomp necrotisch materiaal op de achtergrond.
20x
Afbeelding 9
Long FNA, Slecht gedifferentieerd plaveiselcelcarcinoom van de long.
Hier is een los cohesief fragment van maligne plaveiselcellen te zien. De tumordiathese verschijnt als een kleine klomp necrotisch materiaal op de achtergrond.
20x
Afbeelding 10
Long FNA, Slecht gedifferentieerd plaveiselcelcarcinoom van de long.
Het cytoplasma is cyanofiel en compact gevacuoliseerd. Kernen zijn vergroot, relatief rond (vergelijk de grootte met de kern van de benigne macrofaag onder in het midden), met prominente nucleoli. Kern/cytoplasma-ratio is hoog.
40x
Afbeelding 10
Long FNA, Slecht gedifferentieerd plaveiselcelcarcinoom van de long.
Het cytoplasma is cyanofiel en compact gevacuoliseerd. Kernen zijn vergroot, relatief rond (vergelijk de grootte met de kern van de benigne macrofaag onder in het midden), met prominente nucleoli. Kern/cytoplasma-ratio is hoog.
40x
Afbeelding 11
Long FNA, Slecht gedifferentieerd plaveiselcelcarcinoom van de long.
Bij een sterkere vergroting vertonen de cellen incidenteel intracellulaire bruggen. Kernen zijn centraal gelegen met grof en ongelijkmatig verdeeld chromatine, met prominente parachromatine clearing. Nucleoli zijn prominent en kersenrood van kleur.
60x
Afbeelding 11
Pulmonary FNA, Poorly Differentiated Squamous Carcinoma of Lung.
Bij een sterkere vergroting vertonen de cellen incidenteel intracellulaire bruggen. Kernen zijn centraal gelegen met grof en ongelijkmatig verdeeld chromatine, met prominente parachromatine clearing. Nucleoli zijn prominent en kersenrood van kleur.
60x
Afbeelding 12
Long FNA, Slecht gedifferentieerd longcarcinoom.
Verspreide losse cellen en een cohesieve groep maligne cellen met een hoog kern/cytoplasma-ratio. De cellen in de periferie zijn beter gevisualiseerd. Cytoplasma is delicaat en lijkt op een syncytium met scherpe buitenste celgrenzen.
40x
Afbeelding 12
Long FNA, Slecht gedifferentieerd longcarcinoom.
Verspreide losse cellen en een cohesieve groep maligne cellen met een hoog kern/cytoplasma-ratio. De cellen in de periferie zijn beter gevisualiseerd. Cytoplasma is delicaat en lijkt op een syncytium met scherpe buitenste celgrenzen.
40x
Afbeelding 13
Long FNA, Slecht gedifferentieerd longcarcinoom.
Kernen zijn rond tot ovaal, excentrisch, hyperchromatisch en vertonen prominente nucleoli. De tumorcellen missen echte cytologische kenmerken van glandulaire of squameuze oorsprong.
60x
Afbeelding 13
Long FNA, Slecht gedifferentieerd longcarcinoom.
Kernen zijn rond tot ovaal, excentrisch, hyperchromatisch en vertonen prominente nucleoli. De tumorcellen missen echte cytologische kenmerken van glandulaire of squameuze oorsprong.
60x
Afbeelding 14
Long FNA, Niet-keratiniserend plaveiselcelcarcinoom van de long.
Los cohesieve laag en losse maligne plaveiselcellen zijn te zien in een achtergrond van klonten necrose.
20x
Afbeelding 14
Long FNA, Niet-keratiniserend plaveiselcelcarcinoom van de long.
Los cohesieve laag en losse maligne plaveiselcellen zijn te zien in een achtergrond van klonten necrose.
20x
Afbeelding 15
Long FNA, Niet-keratiniserend plaveiselcelcarcinoom van de long.
Een sterkere vergroting vertoont een syncytium van cellen met overvloedig dens cytoplasma met hoekige en vloeiende grenzen. De kernen zijn vergroot, hyperchromatisch en vertonen minimale overlap.
40x
Afbeelding 15
Long FNA, Niet-keratiniserend plaveiselcelcarcinoom van de long.
Een sterkere vergroting vertoont een syncytium van cellen met overvloedig dens cytoplasma met hoekige en vloeiende grenzen. De kernen zijn vergroot, hyperchromatisch en vertonen minimale overlap.
40x
Afbeelding 16
Long FNA, Niet-keratiniserend plaveiselcelcarcinoom van de long.
De maligne cellen vertonen dens cyanofiel cytoplasma met scherpe celomlijningen. Een paar cellen vertonen intracytoplasmische vacuolen, wat zou kunnen leiden tot een diagnose van adenocarcinoom. Kernen hebben vesiculaire chromatine, minimale kernonregelmatigheid en losse of multipel prominente nucleoli.
60x
Afbeelding 16
Long FNA, Niet-keratiniserend plaveiselcelcarcinoom van de long.
De maligne cellen vertonen dens cyanofiel cytoplasma met scherpe celomlijningen. Een paar cellen vertonen intracytoplasmische vacuolen, wat zou kunnen leiden tot een diagnose van adenocarcinoom. Kernen hebben vesiculaire chromatine, minimale kernonregelmatigheid en losse of multipel prominente nucleoli.
60x
Afbeelding 17
Long FNA, Niet-keratiniserend plaveiselcelcarcinoom van de long.
Klassieke cel in celrangschikking van niet-keratiniserend plaveiselcelcarcinoom is hier te zien.
60x
Afbeelding 17
Long FNA, Niet-keratiniserend plaveiselcelcarcinoom van de long.
Klassieke cel in celrangschikking van niet-keratiniserend plaveiselcelcarcinoom is hier te zien.
60x
Afbeelding 18
Long FNA, Keratiniserend plaveiselcelcarcinoom van de long.
Dishesieve groepen met niet-keratiniserende plaveiselcellen, met oranjefiel, pleomorf cytoplasma, met langwerpige “vezel” en “kikkervis” vormen.
20x
Afbeelding 18
Long FNA, Keratiniserend plaveiselcelcarcinoom van de long.
Dishesieve groepen met niet-keratiniserende plaveiselcellen, met oranjefiel, pleomorf cytoplasma, met langwerpige “vezel” en “kikkervis” vormen.
20x
Afbeelding 19
Long FNA, Keratiniserend plaveiselcelcarcinoom van de long.
De achtergrond vertoont een necrotische tumordiathese.
20x
Afbeelding 19
Long FNA, Keratiniserend plaveiselcelcarcinoom van de long.
De achtergrond vertoont een necrotische tumordiathese.
20x
Afbeelding 20
Long FNA, Keratiniserend plaveiselcelcarcinoom van de long.
Een losse maligne cel met scherpe rechte cytoplasmagrenzen.
40x
Afbeelding 20
Long FNA, Keratiniserend plaveiselcelcarcinoom van de long.
Een losse maligne cel met scherpe rechte cytoplasmagrenzen.
40x
Afbeelding 21
Long FNA, Keratiniserend plaveiselcelcarcinoom van de long.
De kern is langwerpig, centraal gelegen met open chromatine, grote open plekken in het parachromatine en een prominente nucleolus.
60x
Afbeelding 21
Long FNA, Keratiniserend plaveiselcelcarcinoom van de long.
De kern is langwerpig, centraal gelegen met open chromatine, grote open plekken in het parachromatine en een prominente nucleolus.
60x
Afbeelding 22
Long FNA, Keratiniserend plaveiselcelcarcinoom van de long.
Losse en kleine groepen van gekeratiniseerde plaveiselcellen met achtergrond tumordiathese.
40x
Afbeelding 22
Long FNA, Keratiniserend plaveiselcelcarcinoom van de long.
Losse en kleine groepen van gekeratiniseerde plaveiselcellen met achtergrond tumordiathese.
40x
Afbeelding 23
Long FNA, Keratiniserend plaveiselcelcarcinoom van de long.
Een sterkere vergroting vertoont stijf pleomorf cytoplasma en een losse hyperchromatische kern met onduidelijke nucleoli.
60x
Afbeelding 23
Long FNA, Keratiniserend plaveiselcelcarcinoom van de long.
Een sterkere vergroting vertoont stijf pleomorf cytoplasma en een losse hyperchromatische kern met onduidelijke nucleoli.
60x
Afbeelding 24
Long FNA, kleincellig longcarcinoom.
Hier zijn kleine clusters, veel losse hyperchromatische cellen en een paar kernen verstoken van cytoplasma te zien. 20x
Afbeelding 24
Long FNA, kleincellig longcarcinoom.
Hier zijn kleine clusters, veel losse hyperchromatische cellen en een paar kernen verstoken van cytoplasma te zien.
20x
Afbeelding 25
Long FNA, kleincellig longcarcinoom.
Een hogere vergroting vertoont een cluster van hyperchromatische cellen met tweevoudige populatie. De levensvatbare cellen vertonen een hoog kern/cytoplasma-ratio met weinig cytoplasma. Kernen zijn hyperchromatisch en onregelmatig met “zout en peper” chromatine. Nucleoli worden niet waargenomen. Kernmolding, hoewel aanwezig, is subtiel. De niet-levensvatbare cellen of individuele tumorcelnecrose zijn zichtbaar als gemengde apoptotische lichamen.
60x
Afbeelding 25
Long FNA, kleincellig longcarcinoom.
Een hogere vergroting vertoont een cluster van hyperchromatische cellen met tweevoudige populatie. De levensvatbare cellen vertonen een hoog kern/cytoplasma-ratio met weinig cytoplasma. Kernen zijn hyperchromatisch en onregelmatig met “zout en peper” chromatine. Nucleoli worden niet waargenomen. Kernmolding, hoewel aanwezig, is subtiel. De niet-levensvatbare cellen of individuele tumorcelnecrose zijn zichtbaar als gemengde apoptotische lichamen.
60x
Afbeelding 26
Long FNA, kleincellig longcarcinoom.
Het weinige cytoplasma verschijnt als een dun randje rond de kernen. Chromatine verschijnt granulair en gestippeld. Verbrijzelingsartefact is zichtbaar bij een paar spoelkernen die te zien zijn in de rechterbenedenhoek, in plaats van stroken nucleair materiaal.
60x
Afbeelding 26
Long FNA, kleincellig longcarcinoom.
Het weinige cytoplasma verschijnt als een dun randje rond de kernen. Chromatine verschijnt granulair en gestippeld. Verbrijzelingsartefact is zichtbaar bij een paar spoelkernen die te zien zijn in de rechterbenedenhoek, in plaats van stroken nucleair materiaal.
60x
Afbeelding 27
Long FNA, kleincellig longcarcinoom.
Kleine clusters en veel losse hyperchromatische cellen zijn op een achtergrond van tumornecrose te zien.
20x
Afbeelding 27
Long FNA, kleincellig longcarcinoom.
Kleine clusters en veel losse hyperchromatische cellen zijn op een achtergrond van tumornecrose te zien.
20x
Afbeelding 28
Long FNA, kleincellig longcarcinoom.
Sterkere vergroting toont clusters hyperchromatische cellen met tweevoudige populatie van levensvatbare cellen en niet-levensvatbare apoptotische cellen. Enkele spoelcellen richting de periferie (rechter benedenhoek) vormen verbrijzelingsartefacten.
40x
Afbeelding 28
Long FNA, kleincellig longcarcinoom.
Sterkere vergroting toont clusters hyperchromatische cellen met tweevoudige populatie van levensvatbare cellen en niet-levensvatbare apoptotische cellen. Enkele spoelcellen richting de periferie (rechter benedenhoek) vormen verbrijzelingsartefacten.
40x
Afbeelding 29
Long FNA, kleincellig longcarcinoom.
Er is weinig en dens cytoplasma. Kernen zijn rond tot ovaal, en vertonen molding. Nucleoli zijn niet opvallend.
60x
Afbeelding 29
Long FNA, kleincellig longcarcinoom.
Er is weinig en dens cytoplasma. Kernen zijn rond tot ovaal, en vertonen molding. Nucleoli zijn niet opvallend.
60x
Afbeelding 30
Long FNA, kleincellig longcarcinoom.
Dishesieve groepen en losse hyperchromatische cellen in een necrotische achtergrond.
20x
Afbeelding 30
Long FNA, kleincellig longcarcinoom.
Dishesieve groepen en losse hyperchromatische cellen in een necrotische achtergrond.
20x
Afbeelding 31
Long FNA, kleincellig longcarcinoom.
Tweevoudige populatie van levensvatbare hyperchromatische cellen en niet-levensvatbare apoptotische cellen. Er is weinig cytoplasma en kern/cytoplasma-ratio is hoog. Kernmolding wordt waargenomen in het midden van het veld.
40x
Afbeelding 31
Long FNA, kleincellig longcarcinoom.
Tweevoudige populatie van levensvatbare hyperchromatische cellen en niet-levensvatbare apoptotische cellen. Er is weinig cytoplasma en kern/cytoplasma-ratio is hoog. Kernmolding wordt waargenomen in het midden van het veld.
40x
Afbeelding 32
Long FNA, kleincellig longcarcinoom.
Sterkere vergroting vertoont “zout en peper chromatine” en afwezigheid van nucleoli. Sommige kernen hebben geen cytoplasma. Verandering in focale spoelkern (rechter bovenhoek) betekent dreigend verbrijzelingsartefact.
60x
Afbeelding 32
Long FNA, kleincellig longcarcinoom.
Sterkere vergroting vertoont “zout en peper chromatine” en afwezigheid van nucleoli. Sommige kernen hebben geen cytoplasma. Verandering in focale spoelkern (rechter bovenhoek) betekent dreigend verbrijzelingsartefact.
60x
Afbeelding 33
Long FNA, Intermediair kleincellig longcarcinoom.
Kleine clusters en veel losse hyperchromatische cellen zijn hier te zien. Achtergrond vertoont tumornecrose. 20x
Afbeelding 33
Long FNA, Intermediair kleincellig longcarcinoom.
Kleine clusters en veel losse hyperchromatische cellen zijn hier te zien. Achtergrond vertoont tumornecrose.
20x
Afbeelding 34
Long FNA, Intermediair kleincellig longcarcinoom.
Een sterkere vergroting vertoont clusters van levensvatbare hyperchromatische cellen met daartussen donkere apoptotische lichamen. Weinig cytoplasma dat een dunne rand vormt rond de kernen. Kern/cytoplasma-ratio is hoog.
40x
Afbeelding 34
Long FNA, Intermediair kleincellig longcarcinoom.
Een sterkere vergroting vertoont clusters van levensvatbare hyperchromatische cellen met daartussen donkere apoptotische lichamen. Weinig cytoplasma dat een dunne rand vormt rond de kernen. Kern/cytoplasma-ratio is hoog.
40x
Afbeelding 35:
Long FNA, Intermediair kleincellig longcarcinoom.
Levensvatbare kernen laten een losse kleine nucleolus zien. Deze eigenschap kan het onderscheid tussen kleincellig carcinoom van intermediare cellen en andere slecht gedifferentiëerde carcinomen en kleincellig plaveiselcarcinoom moeilijk maken. De aanwezigheid van een tweevoudige celpopulatie, hyperchromatische cellen met subtiele nucleaire molding en hoge kern/cytoplasma ratio spreekt voor een kleincellig carcinoom.
60x
Afbeelding 35
Long FNA, Intermediair kleincellig longcarcinoom.
Levensvatbare kernen laten een losse kleine nucleolus zien. Deze eigenschap kan het onderscheid tussen kleincellig carcinoom van intermediare cellen en andere slecht gedifferentiëerde carcinomen en kleincellig plaveiselcarcinoom moeilijk maken. De aanwezigheid van een tweevoudige celpopulatie, hyperchromatische cellen met subtiele nucleaire molding en hoge kern/cytoplasma ratio spreekt voor een kleincellig carcinoom.
60x
Afbeelding 36
Long FNA, Metastatisch renaal celcarcinoom van de long.
Maligne niercarcinoomcellen tonen helder cytoplasma, relatief ongedetailleerde kernen met prominente nucleoli.
60x
Afbeelding 36
Long FNA, Metastatisch renaal celcarcinoom van de long.
Maligne niercarcinoomcellen tonen helder cytoplasma, relatief ongedetailleerde kernen met prominente nucleoli.
60x
Afbeelding 37
Long FNA, Metastatisch renaal celcarcinoom van de long.
Klinische voorgeschiedenis en multipele longnodules met een “kanonkogel” beeld geven aanwijzingen voor een metastatisch niercelcarcinoom.
60x
Afbeelding 37
Long FNA, Metastatisch renaal celcarcinoom van de long.
Klinische voorgeschiedenis en multipele longnodules met een “kanonkogel” beeld geven aanwijzingen voor een metastatisch niercelcarcinoom.
60x
Afbeelding 38
Borstwand FNA – Metastatisch urotheliaal carcinoom.
De laesie levert losse maligne cellen op met kernen die grove hyperchromatische chromatine bevatten, vergelijkbaar met cellen zichtbaar in urinepreparaten van patiënten met urotheelcarcinoom.
60x
Afbeelding 38
Borstwand FNA – Metastatisch urotheliaal carcinoom.
De laesie levert losse maligne cellen op met kernen die grove hyperchromatische chromatine bevatten, vergelijkbaar met cellen zichtbaar in urinepreparaten van patiënten met urotheelcarcinoom.
60x
Afbeelding 39
Borstwand FNA – Metastatisch urotheliaal carcinoom.
Vaak zijn nucleoli aanwezig.
60x
Afbeelding 39
Borstwand FNA – Metastatisch urotheliaal carcinoom.
Vaak zijn nucleoli aanwezig.
60x
Afbeelding 40
Borstwand FNA – Metastatisch urotheliaal carcinoom.
Het cytoplasma is dens en heeft vaak de vorm van een kikkervisje.
60x
Afbeelding 40
Borstwand FNA – Metastatisch urotheliaal carcinoom.
Het cytoplasma is dens en heeft vaak de vorm van een kikkervisje.
60x