Respiratoire Cytologie
BONUS VAN DR. JIM LINDER:
OVERIGE RESPIRATOIRE MATERIE
in de Atlas klikken voor een vergroot beeld.
IJzerhoudende lichaam
Asbestvezels of andere mineralen kunnen een laagje van ferroproteïne vormen waardoor een ijzerhoudend lichaam wordt gevormd. Deze structuur wordt deels ingesnoerd door een macrofaag.
IJzerhoudende lichaam
Asbestvezels of andere mineralen kunnen een laagje van ferroproteïne vormen waardoor een ijzerhoudend lichaam wordt gevormd. Deze structuur wordt deels ingesnoerd door een macrofaag.
IJzerhoudende lichaam
IJzerhoudende lichamen die ontstaan door asbestvezels hebben kenmerkend een heldere centrale kern.
IJzerhoudende lichaam
IJzerhoudende lichamen die ontstaan door asbestvezels hebben kenmerkend een heldere centrale kern.
Candida spp.
Multipele hyfale vormen van Candida spp. kunnen verkregen worden in de respiratoire monsters van patiënten met orale candida. (zilverbasis kleuring)
Candida spp.
Multipele hyfale vormen van Candida spp. kunnen verkregen worden in de respiratoire monsters van patiënten met orale candida. (zilverbasis kleuring)
Pneumocystis carinii
De cystenvormen van Pneumocystis carinii hebben bij kleuringen op zilverbasis een centrale donkere zone.
Pneumocystis carinii
De cystenvormen van Pneumocystis carinii hebben bij kleuringen op zilverbasis een centrale donkere zone.
Alternaria spp
De macroconidia van Alternaria spp. hebben zowel longitudinale als septate hyfen.
Alternaria spp.
De macroconidia van Alternaria spp. hebben zowel longitudinale als septate hyfen.
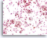
Pollen
Pollengranules hebben een dikke refractieve wand, meerdere uitsteekstels op het oppervlak en zijn typisch gepigmenteerd.
Pollen
Pollengranules hebben een dikke refractieve wand, meerdere uitsteekstels op het oppervlak en zijn typisch gepigmenteerd.
Microfagen
In geval van lipoïde of aspiratiepneumonie bevatten de macrofagen multipele complexe lipide vacuolen.
Microfagen
In geval van lipoïde of aspiratiepneumonie bevatten de macrofagen multipele complexe lipide vacuolen.
Lipide
Bij lipoïde pneumonie kan het lipide duidelijk zichtbaar worden gemaakt door Oil Red O-kleuring.
Lipide
Bij lipoïde pneumonie kan het lipide duidelijk zichtbaar worden gemaakt door Oil Red O-kleuring.
Microfagen
Patiënten waarbij schade in de microvasculatuur van de long optreedt ontwikkelen longbloedingen, die zich manifesteren door hemosiderine bevattende macrofagen
Microfagen
Patiënten waarbij schade in de microvasculatuur van de long optreedt ontwikkelen longbloedingen, die zich manifesteren door hemosiderine bevattende macrofagen
Lymfocytose
Patiënten met sarcoïdose hebben typerende interstitiële lymfocytose.
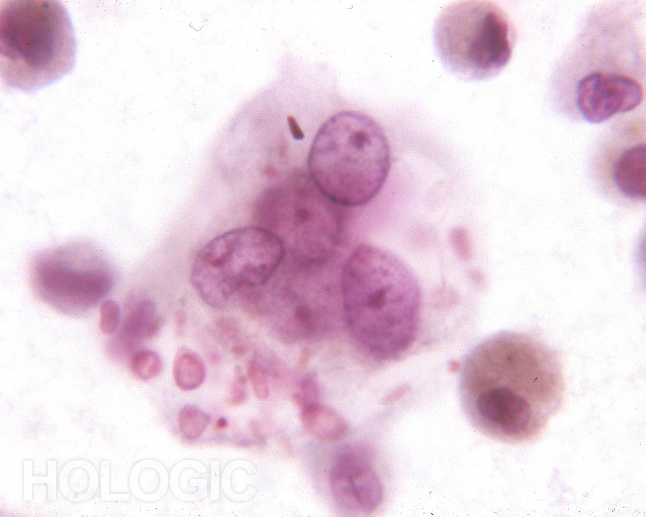
Epitheelcellen
Hoogreactieve epitheelcellen kunnen te zien zijn bij patiënten met pulmonaal aspergilloom.
Epitheelcellen
Hoogreactieve epitheelcellen kunnen te zien zijn bij patiënten met pulmonaal aspergilloom.
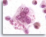
Cryptococcus
Meerdere intracellulaire gisten worden gezien binnen het cytoplasma van macrofagen bij Cryptococcus infectie.
Cryptococcus
Meerdere intracellulaire gisten worden gezien binnen het cytoplasma van macrofagen bij Cryptococcus infectie.
Cryptococcus neoformans
De capsule van Cryptococcus neoformans kan worden waargenomen bij mucinekleuring.
Cryptococcus neoformans
De capsule van Cryptococcus neoformans kan worden waargenomen bij mucinekleuring.
Ciliocytophthoria
Respiratoire virale infecties kunnen veroorzaken dat plukken cilia loskomen van bronchiale epitheelcellen. Dit proces wordt ciliocytophtorie genoemd.
Ciliocytophthoria
Respiratoire virale infecties kunnen veroorzaken dat plukken cilia loskomen van bronchiale epitheelcellen. Dit proces wordt ciliocytophtorie genoemd.
Hyperplasie
Reservecelhyperplasie wordt gekenmerkt door dichte clusters van kleine reservecellen.
Hyperplasie
Reservecelhyperplasie wordt gekenmerkt door dichte clusters van kleine reservecellen.

