Cytologie van Pleurale, Pericardiale en Peritoneale Cavitieiteffusies
EFFUSIES – HEMATOLOGSCHE MALIGNITEITEN
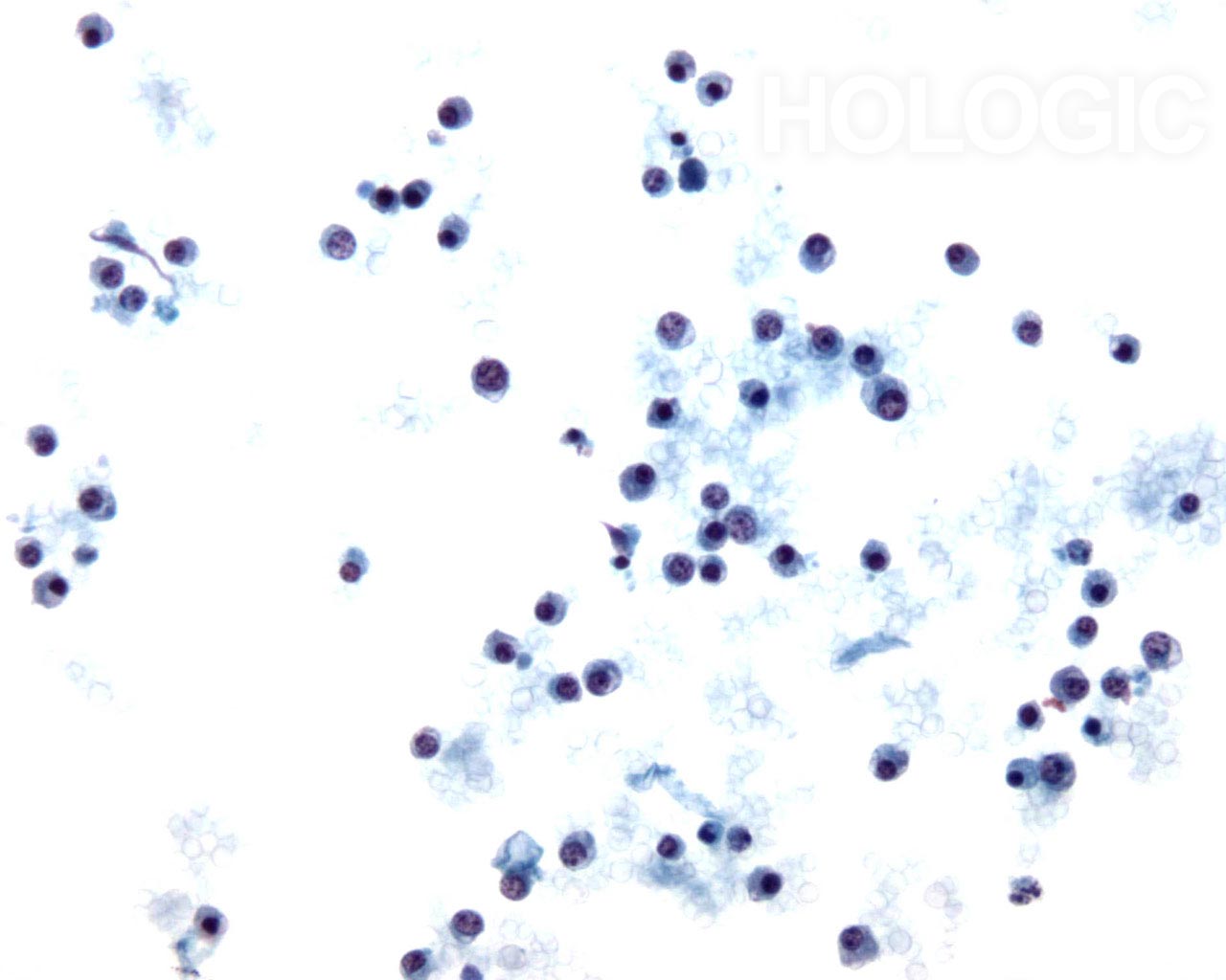
Pleurale effusie:
Non-Hodgkin lymfoom.
20X
Pleurale effusie:
Non-Hodgkin lymfoom.
40X
Pleurale effusie:
Non-Hodgkin lymfoom.
60X
Afbeeldingen 29-31:
Van nature komen deze cellen meestal los voor of in kleine, licht adherente clusters. Cellen van het Non-Hodgkin lymfoom zijn aanwezig als een duidelijke celpopulatie die onderscheiden moet worden van mesotheelcellen en van inflammatoire cellen of leukocyten uit het bloed. In deze set van drie afbeeldingen bestaat de neoplastische populatie uit lymfoïde kiemcellen van verschillende omvang, met prominente nucleoli en onregelmatige spleten in de kernmembraan. De cellen variëren duidelijk in omvang, maar vertonen gelijke cytologische karakteristieken.
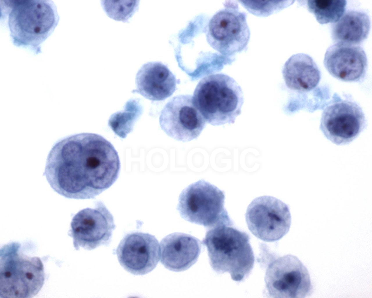
Pleurale effusie:
Non-Hodgkin lymfoom.
60X
Deze pleurale effusie heeft ook een duidelijke populatie niet-cohesieve mononucleaire cellen, die de diagnose van lymfoom mogelijk maken. Merk de necrotische achtergrond op
Pleurale effusie:
Chronische lymfocytische leukemie.
60X
De aanwezigheid van kleine uniforme lymfocyten in een pleurale effusie, kunnen duiden op tuberculose, obstructie van het thoracale kanaal of leukemie/lymfoom. Chronische lymfocytische leukemie en goed-gedifferentieerde lymfocytische lymfomen kunnen een pleurale effusie bevatten, die bestaat uit een kleine, ronde lymfocyt. Wanneer er twijfel bestaat, kan flowcytometrie de clonale aard van deze cellen bevestigen.
Pleurale effusie:
Chronische lymfocytische leukemie.
60X
Een voorbeeld van kleine, ronde lymfocyten in een pleurale effusie. De differentiële diagnose omvat inflammatoire aandoeningen zoals tuberculose, en auto-immuunziekten.
Pleurale effusie:
Non-Hodgkin lymfoom.
20X
Pleurale effusie:
Non-Hodgkin lymfoom.
60X
Afbeeldingen 35-36:
De neoplastische lymfocyten op deze twee foto’s lijken misschien klein en monotoon, maar ze zijn beduidend groter dan de achtergrondlymfocyten. Kernen zijn vesiculair, met spleten in de kern en lobvorming. De prominentie van de nucleoli varieert.
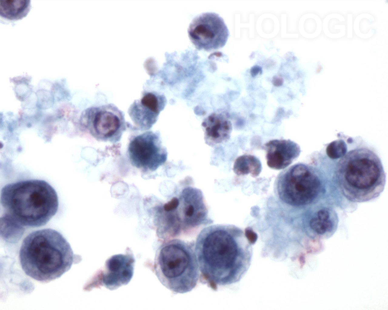
Pleurale effusie:
Multipel myeloom.
20X
Pleurale effusie:
Multipel myeloom.
40X
Pleurale effusie:
Multipel myeloom.
60X
Pleurale effusie:
Multipel myeloom.
60X
Afbeeldingen 37-40:
Cellen van plasmacytoom of multipel myeloom lijken oppervlakkig op lymfocyten, maar vertonen excentrieke kernen. Het open chromatinepatroon met variabele nucleoli is een kenmerk van plasmakiemen. Nogmaals, bij twijfel kan flowcytometrie monoclonaliteit vaststellen.
Peritoneale effusie:
Maligne melanoom.
20X
Maligne melanoomcellen kunnen voorkomen in effusies met of zonder een voorafgaande huidtumor. Ze metastaseren vaak tot ongebruikelijke plaatsen, zoals dunne darmserosa.
Peritoneale effusie:
Maligne melanoom.
60X
Cellen zijn onsamenhangend omdat zij geen echte epitheelcellen zijn. Kernen zijn groot en vesiculair en kunnen een pseudo-inclusie bevatten, wat in werkelijkheid cytoplasma is dat de celkernmembraan indrukt. Pigmentatie van het cytoplasma is wel vaak maar niet altijd aanwezig. Immuunhistochemie kan de identiteit van deze cellen bevestigen, ofwel op ThinPrep objectglaasjes, ofwel op celblokmateriaal.














