Fijnenaald aspiratie cytologie
Inleiding
David B. Kaminsky, MD, FIAC

De wereld van de cytologie werd gedefinieerd door de opkomst van cervicale kankerscreening, bedacht en onder de aandacht gebracht door Dr. George Papanicolaou. Het bracht een ommekeer teweeg door de introductie van de fijne naald aspiratiebiopsie en vloeibare cytologie. De combinatie van deze twee voorziet in een krachtig diagnostisch hulpmiddel dat moleculaire en ondersteunende onderzoeken naar oncologische en infectueuze ziektes vergemakkelijkt. Beide vertegenwoordigen de huidige praktijknorm. Deze combinatie is de versterking van de basis voor moderne cytopathologie en is onmisbaar.
Fijne naald aspiratiebiopsie [FNAB] komt oorspronkelijk uit Stockholm, waar het werd ontwikkeld in het Karolinska en Radiumhemmet door de pioniers Franzen, Zajicek en Esposti, wiens oorspronkelijke werk, ondersteund door biopsiegegevens, bevestigde dat criteria voor celdiagnose betrouwbaar waren voor weefselpatronen en dat het naaldonderzoeksinstrument een praktisch diagnostisch hulpmiddel was dat minimaal invasief, weefsel-equivalente informatie kon leveren.

De sceptische Amerikaanse medische wereld verwierp in de jaren ’30 Martins poging om FNAB te introduceren, dat concurreerde met de nieuwe technologie, vriescoupes en exfoliatieve cytologie. De vooruitstrevende techniek vond zijn weg naar een paar universitaire medische centra, waar pathologen leerden de celpatronen te interpreteren en klinisch specialisten hun ambivalentie en scepsis lieten varen.
Onder invloed van toegewijde pathologen als Koss en Frable, kwam de aspiratiebiopsie tot bloei en de Amerikaanse vereniging van cytopathologie introduceerde cursussen op haar jaarlijkse wetenschappelijke bijeenkomst. Dr. Frable en ik werkten samen tijdens praktische workshops, om les te geven in aspiratietechniek, criteria en de samenhang met histologische patronen, en om onze collega’s te overtuigen van de nauwkeurigheid, doeltreffendheid en zekerheid van de procedure. Andere pathologen waren enthousiast over FNAB en uiteindelijk werd het een algemeen geaccepteerd onderdeel van klinische opleidingsprogramma’s, studierichtingen en uiteindelijk in de dagelijkse praktijk. Samenwerking met interventieradiologen verzekerde het definitieve succes toen computer gestuurde tomografie,ultrasonografie en fluoroscopie visueel toegang boden tot diepe viscerale laesies met acceptabel risico en optimale resultaten. Een goedgeïnformeerde maatschappij, waar tumoren een ernstig probleem vormden met aanzienlijke financiële consequenties, stond open voor een nauwkeurige, kosteneffectieve en minimaal invasieve procedure, aanpasbaar aan een poliklinische omgeving en bevorderlijk voor hun deelname aan en keuze voor de implementatie van deze therapie. De techniek paste perfect bij inspanningen voor kwaliteitsverbetering omdat het een meetbare, op gegevens gebaseerde, uitkomst georiënteerde inspanning bood. De invoering van vloeibare cytologie voorzag in een toegevoegde dimensie, de naald kan worden gespoeld in de verzamelvloeistof om een reservoir cellen te leveren voor monsterintegriteit en behoud, en voor verbeterde cytologische analyse en aanvullende technieken.
Fijne naald aspiratiebiopsie is ondertussen een essentiële hoofdrolspeler geworden bij de patiëntenzorg en is actief op het snijpunt tussen professionele cytopathologen, klinisch specialisten, interventieradiologen, patiënten en derden. Het is de brug tussen cytoarchitectuur en weefselanatomie, immuuncytochemie, flowcytometrie, cultuur, moleculaire diagnose, gerichte therapie en klinische correlatie. Het is financieel verantwoord, brengt weinig risico met zich mee en bereikbare resultaten. Het heeft karakter, persoonlijkheid en een eigen leven.
Indicaties :
De aanwezigheid van palpabele massa op het oppervlak van het lichaam, of een onverklaarbare laesie waargenomen via radiografische imaging, zijn indicaties voor het uitvoeren van een fijne naald aspiratiebiopsie onder directe visualisatie of beeldgeleiding. De techniek wordt in het bijzonder gebruikt voor het volgende:
- Een betrouwbare, geschikte, kosteneffectieve diagnostische modaliteit leveren
- Onderscheid maken tussen goedaardige en kwaadaardige ziekten met behulp van minimaal invasieve methoden
- Herroepen van het klinische oordeel van niet-resectabiliteit
- Aanwezigheid van metastatische ziekte bevestigen
- Weefselequivalente informatie verkrijgen bij patiënten met beperkingen
- Triage door celsamenstelling: toewijzing voor bestraling, chemotherapie, immuuntherapie, chirurgie of controle.
- Verkrijgen van materiaal voor kweek, electromicroscopie, flowcytometrie, immuuncytochemie, DNA beeldanalyse en DNA probes
Contra-indicaties :
Er zijn weinig conta-indicaties voor het uitvoeren van een fijne naald aspiratiebiopsie in klinische toepassing. De volgende zijn bekend: bloedingsdiathese, behandeling met anti-stollingsmiddelen, slagaderlijke onvolkomenheden en hydatide cysten. Als het aspiratiedoel de thorax is, zijn aanvullende contra-indicaties overdruk van de longen, ongecontroleerd hoesten, vergevorderd emfyseem, en patiënten die niet in staat zijn aanwijzingen te volgen om hun adem in te houden.
Complicaties :
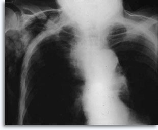
Aspiratiebiopsie van palpabele massa bij directe visualisatie kan worden bemoeilijkt door kleine bloedingen [gecontroleerd door druk] en soms door een infectie. Als de juiste antiseptische techniek wordt gebruikt, is infectie buitengewoon zeldzaam. Complicaties die verband houden met beeldgestuurde aspiratiebiopsie van diepe laesies omvatten onder andere hevige bloedingen, infectie, verplaatsing van tumorcellen [zelden] en onderzoeken van de thorax, kunnen resulteren in pneumothorax, luchtembolie en onderhuids emfyseem.
Met transthoracale percutane longaspiratie als referentiepunt, worden bloedingen verwacht als de naald door het borstvlies gaat en het longcelweefsel binnendringt. Dit is gewoonlijk zichtbaar als een versterking van de target in postpunctie borstkasfilmpjes.
|
Dit wordt soms in verband gebracht met zelf elimiteerde hemoptyse als een klinische reactie van de intraparenchymale lekkage. Pneumothoraxis een bijkomstig verschijnsel van tranthoracale aspiratiebiopsie omdat de naald het borstvlies beschadigt, terwijl deze zijn weg zoekt naar het parenchymatische doel, hetgeen kan resulteren in enige longcollaps. Dit is symptomatisch voor pneumothorax, hetgeen wordt beschouwd als een complicatie. In het algemeen moet er een buis in de borst worden ingebracht zodat de long weer met lucht kan worden gevuld.
![]() |
![]() |
Enkele factoren die het voorkomen van symptomatische pneumothorax beïnvloeden, zijn de leeftijd van de patiënt, de afmeting, plaats en diepte van de laesies, het aantal puncties, aanwezigheid van emfyseem, intensiteit van nauwkeurig onderzoek met postprocedurele films en de ervaring van de aspirator.
Luchtembolie wordt voorkomen als de radioloog een afsluitkraan met drie leidingen gebruikt of heel zorgvuldig is en voorkomt dat er lucht in de naald komt in de korte tussentijd tussen het verwijderen van de stilet en het aanbrengen van de injectiespuit. Onderhuids emfyseem kan optreden als lucht door het zachte weefsel dringt waardoor een crepitante bloeding ontstaat die zelfgelimiteerd is.
|
In uitgebreide studies van grote aantallen patiënten die een aspiratiebiopsie ondergingen in het Karolinska instituut, kwam het verplaatsen van kwaadaardige cellen via de naald maar heel zelden voor, hooguit bij één op vele duizenden gevallen, en dan gewoonlijk bij een zeer kwaadaardige tumor waarvan voorspeld werd dat deze spontaan zou uitzaaien.
De meeste fataliteiten zijn het gevolg van de keus voor een incisie in plaats van het gebruik van fijne naalden en komen heel zelden voor met 22 gauge naalden. Longfataliteiten zijn het gevolg van endobronchiale bloedingen door incisienaalden.
De techniek van oppervlakkige FNAB onder directe visualisatie :
Fijne naald aspiratiebiopsie is een veilige en doeltreffende methode om cellen te verkrijgen voor diagnostische cytologische beoordeling van palpabele oppervlakkige massa’s van borst, schildklier, speekselklieren, lymfknopen, cysten en metastatische tumoren, met behulp van een 20 cc injectiespuit, 22 gauge naald en een optionele injectiespuithouder [“gun”].
![]() |
![]() |
De voorbereiding van de patiënt is minimaal, en bestaat uit het uitleggen van de procedure, het beschrijven van de mogelijke complicaties en bijwerkingen, de beperkingen en de verwachte resultaten, en verder een overzicht van de voorgeschiedenis inclusief allergieën, anticoagulatietherapie of neiging tot bloedingen, het verkrijgen van getekende toestemming, inachtneming van alle HIPAA en ethische overwegingen, waaronder de aanwezigheid van een assistent, indien de patiënt een vrouw is, lichamelijk onderzoek van het doelgebied en het uitvoeren van antisepsis. Lokale anesthesie is optioneel.
Na palpatie en antiseptische behandeling wordt de naald in het doelgebied ingebracht, de plunjer wordt teruggetrokken om onderdruk te creëren terwijl de naald een paar keer in verschillende richtingen heen en weer wordt bewogen. Wacht tot het evenwicht weer wordt bereikt en trek de naald uit de patiënt. De procedure is klaar als de aspirator vindt dat er voldoende penetratie is bereikt of er materiaal in de injectiespuit verschijnt. De injectiespuit wordt dan van de naald verwijderd en wordt gevuld met lucht die kan gebruiken om de naald weer leeg te spuiten. De injectiespuit kan met de hand vastgehouden worden of in een spuithouder geplaatst worden.
De cellen die bij de aspiratie zijn verkregen worden op gelabelde objectglaasjes aangebracht door de naald met de schuine kant naar beneden in contact te brengen met het glas en een druppel er uit te duwen. Met behulp van een tweede glaasje wordt de druppel tot een cirkelvormige monolaag verspreid. De objectglaasjes worden met een snelle beweging loodrecht van elkaar afgetrokken waarbij uitsmeren voorkomen wordt, en worden direct ondergedompeld in 95% ethanol. Luchtdrogingsartefacten moet vermeden worden, tenzij de objectglaasjes specifiek luchtgedroogd worden voor Romanowsky kleuring. De naald kan worden afgespoeld in zoutoplossing of in de ThinPrep® injectieflacon. Een celblok kan van solide materiaal gemaakt worden.
![]() |
Als een lymfknoop wordt geaspireerd, kunnen extra glaasjes worden gemaakt voor Diff Quick kleuring en monsters voor RPMI transportmedium voor flowcytometrie. Een voorlopige diagnose wordt zo snel mogelijk aan de doorverwijzend arts of zorgverlener doorgegeven en gedocumenteerd.
De techniek voor beeldgestuurde FNAB van diepe laesies
Niet-palpabele, diepe laesies kunnen benaderd worden door de 22 gauge naald via een traject naar het doelgebied te geleiden, gestuurd door ultrasound, fluoroscopie of computergestuurde tomografie. Het is normaal gesproken de interventieradioloog die de punctie uitvoert in samenwerking met de cytopatholoog die verantwoordelijk is voor de beoordeling van de geschiktheid van de monsters, het zo snel mogelijk stellen van een diagnose en de besluitvorming betreffende de noodzakelijke aanvullende technieken om een optimale monsterafhandeling en beoordeling te garanderen. De aanwezigheid van een cytopatholoog tijdens de procedure, garandeert geschiktheid van monsters, verhoogt statistisch gezien beduidend de nauwkeurigheid van de diagnose, verkleint het aantal “uitstrijken” en secundaire pneumothorax bij borstaspiraties, en levert direct triagebeslissingen. De radioloog leidt de patiënt door de procedure, plant het traject, dient de lokale anesthesie toe, positioneert de naald, verkrijgt het monster en voorziet in een behandeling voor complicaties. De radioloog vindt er baat bij omdat hij/zij gegarandeerd is van een optimaal monster en de juiste procesgang, de cytopathologiespecialist ondervindt voordeel van een beter begrip van het klinisch probleem en de anatomische verhoudingen van de laesie die aan biopsie onderworpen wordt. De chirurg kan de operatieve benadering beter plannen en kan een strategisch schema voor de operatiekamer en praktijkbeheer instellen. De patiënt profiteert van een gezamenlijke teambenadering.
![]() |
Materialen en reagentia op een FNAB blad moeten een antiseptische oplossing omvatten, 1% xylocaïne met injectiespuiten/naalden, 20cc injectiespuiten, 22 gauge flexibele spinale naalden met stiletten, optionele injectiespuithouder, steriele gaasjes, heldere glazen objectglaasjes, 95% ethanol, fysiologische zoutoplossing, steriele lege buisjes met een dopje, ThinPrep® flacon, flesje met 10% formaline.
![]() |
Na de uitleg over de procedure zoals hierboven beschreven voor aspiraties verkregen onder directe visualisatie van palpabele laesies, inclusief het verkrijgen geïnformeerde toestemming, stelt de radioloog de positie van de laesie vast en plant zijn traject met gebruik van de geselecteerde beeldvormingsmodaliteit. Voor schildklieraspiratie wordt de voorkeur gegeven aan de ultrasoundmethode, voor de werkelijke geleiding van de naald en het vaststellen van de positie van de punt in het doelgebied. Er kan een afdruk van het stilstaand beeld verkregen worden om te controleren of de punt van de naald op de juiste positie staat.
![]() |
Voor long en abdominale laesies, worden vaak CT scans gebruikt voor de precieze en subtiele locatiegeleiding van de naald en documentatie van de celbron van het doelgebied.
![]() |
Fluoroscopie is de minst vaak gebruikte modaliteit voor longlaesies, omdat de vooruitgang in CT-beelden en de snelheid van beeldgeneratie de doeltreffendheid van aspiratie bevorderd hebben. Een conventionele door fluoroscopie gestuurde FNAB met naald in doelgebied wordt hieronder weergegeven.
![]() |
Nadat de basislijnbeelden voltooid zijn, wordt de patiënt schoongemaakt met een antisepticum en onder een laken gelegd om een steriel gebied te creëren. Er wordt lokale anesthesie gegeven en daarna wordt de flexibele 22 gauge spinale naald met de stilet op zijn plaats via de huid naar de vooraf geplande diepte ingebracht in de laesie [thoracale en abdominale laesies]. In andere gevallen wordt 22 gauge naald, bevestigd aan een 20 cc injectiespuit, in het doelgebied gebracht onder ultrasonografische besturing. De punt van de naald wordt geverifieerd. Als er gebruik wordt gemaakt van een stilet, wordt deze verwijderd. De injectiespuit wordt aan de naald bevestigd en de zuiger wordt vacuüm gezogen, terwijl de naald meerdere malen wordt geoscilleerd in verschillende vlakken. Terwijl de drukbalans gevolgd wordt, wordt de naald uit de patiënt verwijderd. Deze wordt vervolgens van de injectiespuit losgemaakt, lucht wordt aan de injectiespuit toegevoegd en deze wordt dan weer terug bevestigd aan de naald. Het materiaal wordt uit de naald op objectglaasjes gedrukt, en dan direct ondergedompeld in 95% ethanol. De naald wordt dan afgespoeld met een zoutoplossing, de ThinPrep® flacon, of in RPMI. Voor thoracale-abdominale laesies en lymfknopen blijft de patient meestal op lokatie, terwijl de objectglaasjes snel worden gekleurd en beoordeeld op geschiktheid, triage en diagnose. Schildklieren worden normaliter onderworpen aan 3 uitstrijken per doelgebied met het materiaal gekleurd en beoordeeld na voltooiing van de ultrasoundprocedure.
![]() |
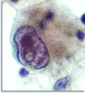
Soorten monsters verkregen door fijne naald aspiratiebiopsie
Elk willekeurig lichaamsdeel is toegankelijk voor monsterverzameling met een 22 gauge naald, inclusief minder gebruikelijke locaties zoals de hersenen, oogkas, testikels en de penis. De benadering wordt afhankelijk van het lichaamsdeel aangepast maar de techniek blijft hetzelfde. Feitelijk zal FNAB van elke willekeurige tumor materiaal opleveren, dat cellen bevat die histoarchitectuurpatronen weergeven, classificeerbaar als carcinoom, sarcoom, lymfoom, melanoom, en ongedifferentieerde maligniteit.
|
Als patroonherkenning niet onmiddellijk resulteert in een specifieke diagnose en categorie-indeling, kunnen aanvullende technieken zoals immuuncytochemie moleculaire informatie leveren die een bijdrage zal leveren voor de classificatie. Bij infectueuze processen is het mogelijk om specifieke etiologische infectie-agentia te isoleren, aantoonbaar met de Papanicolaou kleuring, Giemsma kleuringen voor bacteriën, en AFB kleuringen voor zuurvaste bacillen en PAS en GMS voor fungale organismen.
|
De monsterpresentatie kan licht variëren, afhankelijk van het feit of de cellen rechtstreeks op objectglaasjes zijn geplaatst of dat ze verwerkt zijn via vloeibare ThinPrep® technologie. De directe uitstrijkjes zullen achtergrondmateriaal en bloed bevatten, kernen van maligne cellen zullen gewoonlijk hyperchromatischer lijken en dens. Met ThinPrep wordt de cellulaire aggregatie gehandhaafd, terwijl achtergrondbloed wordt gelyseerd en kernen van maligne cellen minder dens en hyperchromatisch lijken. Een uitzondering kan voorkomen met de matglas vesiculatie die kenmerkend is voor papillair schildkliercarcinoom, waarin de optische veranderingen van de kernen gelijk zijn in zowel conventionele en op vloeistof gebaseerde presentaties.
![]() |
Directe uitstrijk
![]() |
ThinPrep®
Het concept van de geschiktheid van het monster wordt door de American Society of Cytopathology en de Papanicolaou Society aangepakt aan de hand van FNA-richtlijen voor specifieke orgaanlocaties. FNA Richtlijnen voor de borst worden ontwikkeld door de ASC, en de Papanicolaou Society heeft orgaanspecifieke richtlijnen geleverd voor de schildklier en long. Er is enige subjectiviteit aangaande de geschiktheid van monsters zonder definitieve normalisering die varieert afhankelijk van de ervaring van de beoordelaars. De Hologic, Inc. doet ervaring op met de interpretatie van wat een adequaat monster is; het gaat hierbij om monsters die verzameld en bewerkt zijn met op vloeistof gebaseerde technologie. Hologic verwijst naar voorbeelden van ongeschiktheid, bijvoorbeeld wat betreft de aanwezigheid van alleen bloed, of materiaal zonder epitheel uit cysten, alleen ontsteking of schildkliercolloïde zonder cellen. Een snelle interpretatie op het moment dat een aspiratie wordt uitgevoerd, zal een directe beoordeling van geschiktheid leveren en zal klinische controle bespoedigen als een definitieve diagnose gesteld kan worden.
Financiële overwegingen
Wanneer een prijsvergelijking wordt gemaakt tussen FNAB en conventionele biopsie, worden er direct spectaculaire bezuinigingen zichtbaar, vooral wanneer de FNAB poliklinisch wordt uitgevoerd. Effectieve kostenbeperking bij de verstrekking van gezondheidszorg is afhankelijk van productiviteit. In deze context biedt naald aspiratie het voordeel. Het verkrijgen van cellen met een relatief goedkope techniek, waarbij ziekenhuisopname niet nodig is en patiënten worden gesorteerd op basis van niet-chirurgische protocollen, inclusief beoogde therapie, biedt zowel financieel voordeel als een directere toegang tot zorg in de hedendaagse gezondheidszorg. Vanuit het perspectief van het ziekenhuis, kunnen de middelen in de operatiekamer effectiever beheerd worden, wat het systeem vrijmaakt voor niet-biopsiegeoriënteerde chirurgische ingrepen die anders zouden worden uitgesteld of soms afgelast. In streekziekenhuizen waar de bedcapaciteit beperkt is, betekent het weghouden van patiënten uit preoperatieve bedden, extra ruimte voor patiënten die klinische ziekenhuisopname nodig hebben. FNAB ontlast chirurgen, anesthesisten, verpleegsters, histotechnologen en pathologen, zodat deze meer tijd hebben voor therapeutische en analytische werkzaamheden. Verminderen van de werklast van technici kan leiden tot personeelsreductie zonder dat dit ten koste gaat van de kwaliteit van de patiëntenzorg.
Zorgverzekeraars vergoeden zowel professionele als technische onderdelen bij de aspiratie, waardoor een directe beoordeling voor monstergeschiktheid en diagnose, interpretatie van de aspiratie, onderzoek van bijkomende preparaten zoals ThinPrep® verwerking en celblokken en voor specifieke aantallen immuuncytochemie- en flowcytometriemarkers beschikbaar wordt. In de VS worden meerdere uitstrijken van een enkele locatie, bijvoorbeeld een unilaterale schildklierknobbel vergoed, maar wordt FNAB van verschillende locaties, zoals bilaterale schildklierknobbels, vergoed volgens het aantal afzonderlijke locaties. Hieronder volgen de CPT Codes voor het vergemakkelijken van de facturatie (dit geldt alleen in de VS):
| CPT Code | Beschrijving |
| 10021 | FNA zonder beeldgeleiding |
| 88172 | FNA, directe evaluatie voor adequaatheid |
| 88173 | FNA interpretatie en verslag |
| 88305 | Celblok |
| 88173 | ThinPrep, Cytospin |
| 88180 | Flow cytometry |
| 87070 | Routine culture |
| 88305 | Kernbiopsie |
| 87102 | Kweek voor zuurvaste bacillen |
| 87116 | Kweek voor fungi |
| 88342 | Immuuncytochemie |
| 88312 | Speciale kleuringen |
Slotopmerkingen :
Het in een voorrecht om cytopathologie uit te mogen voeren in een modern tijdperk van medische prestaties, waarbij celmorfologie wordt gerelateerd aan microanatomie, moleculaire diagnoses en klinisch kwaliteitsbeheer. Cytologie blijft een drijvende kracht in kankerscreening en diagnose, classificatie en verbeterde resultaten. Fijne naald aspiratiebiopsie is een uniek hulpmiddel dat veilige, minimaal invasieve, directe, nauwkeurige, kostenbesparende, weefselequivalente diagnostische informatie levert, met weinig risico op complicaties en met wereldwijde tevredenheid onder patiënten. Het is een aanvulling op radiografische simulatie in het ontdekken van het menselijk lichaam en op onderzoek in moleculaire diagnoses, genetica en beoogde therapie. De toepassing bij vloeibare cytologie belooft een nog grotere diversiteit en nauwkeurigheid.












