Respiratoire Cytologie
PLAVEISELCELCARCINOOM
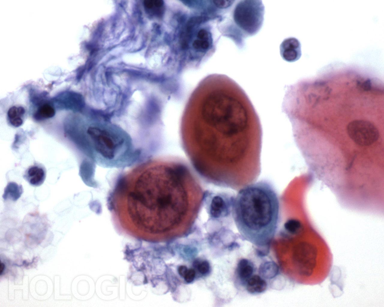
Sputum
Oranjefiele cellen met hyperchromatische kernen zijn verdacht voor plaveiselcelcarcinoom.
60x
Sputum
Oranjefiele cellen met hyperchromatische kernen zijn verdacht voor plaveiselcelcarcinoom.
60x
Sputum
Atypische squameuze metaplastische cellen vormen een aanwijzing voor plaveiselcelcarcinoom, omdat hun kernen hyperchromatisch en hoekig worden.
60X
Sputum
Atypische squameuze metaplastische cellen vormen een aanwijzing voor plaveiselcelcarcinoom, omdat hun kernen hyperchromatisch en hoekig worden.
60X
Bronchiale spoeling
Bij een kleinere vergroting is een grote cel aanwezig die zeer verdacht is voor plaveiselcelcarcinoom.
20x
Bronchiale spoeling
Bij een kleinere vergroting is een grote cel aanwezig die zeer verdacht is voor plaveiselcelcarcinoom.
20x
Bronchiale spoeling
Talrijke atypische plaveiselcellen met poly’s zijn aanwezig in dit celcluster, dat afkomstig is van een plaveiselcelcarcinoom.
20x
Bronchiale spoeling
Talrijke atypische plaveiselcellen met poly’s zijn aanwezig in dit celcluster, dat afkomstig is van een plaveiselcelcarcinoom.
20x
Bronchiale spoeling
Spoelvormige en draadvormige cellen van plaveiselcelcarcinoom.
20x
Bronchiale spoeling
Spoelvormige en draadvormige cellen van plaveiselcelcarcinoom.
20x
Bronchiale spoeling
Sterkere vergroting van spoelcellen van plaveiselcelcarcinoom.
40x
Bronchiale spoeling
Sterkere vergroting van spoelcellen van plaveiselcelcarcinoom.
40x
Bronchiale spoeling
Niet alle cellen van plaveiselcercarcinoom zijn oranjefiel. Er kan basofiele kleuring worden waargenomen.
60x
Bronchiale spoeling
Niet alle cellen van plaveiselcercarcinoom zijn oranjefiel. Er kan basofiele kleuring worden waargenomen.
60x
Bronchiale spoeling
Een parel van gekeratiniseerde cellen uit een plaveiselcelcarcinoom.
60x
Bronchiale spoeling
Een parel van gekeratiniseerde cellen uit een plaveiselcelcarcinoom.
60x
Bronchiale spoeling
Kleinere vergroting die plaveiselcelcarcinoom vertoont in het bovenste deel van het veld.
20x
Bronchiale spoeling
Kleinere vergroting die plaveiselcelcarcinoom vertoont in het bovenste deel van het veld.
20x
Bronchiale spoeling
60x
Bronchiale spoeling
Tad-pole vormige cellen kunnen worden waargenomen bij plaveiselcelcarcinoom.
20x
Bronchiale spoeling
Tad-pole vormige cellen kunnen worden waargenomen bij plaveiselcelcarcinoom.
20x
Bronchiale spoeling
Dit cluster bevat abnormale cellen. Hun kerndetail wordt waargenomen in de periferie van het cluster.
20x
Bronchiale spoeling
Dit cluster bevat abnormale cellen. Hun kerndetail wordt waargenomen in de periferie van het cluster.
20x
Bronchiale spoeling
Als ze in een cluster liggen, kan het moeilijk zijn de cellen te onderscheiden van plaveiselcelccarcinoom van adenocarcinoom.
20x
Bronchiale spoeling
Als ze in een cluster liggen, kan het moeilijk zijn de cellen te onderscheiden van plaveiselcelccarcinoom van adenocarcinoom.
20x
Bronchiale spoeling
Slecht gedifferentieerd plaveiselcelcarcinoom.
60x
Bronchiale spoeling
Celgrenzen in slecht gedifferentieerde plaveiselcelcarcinoom zijn scherper dan die van adenocarcinoom. Nucleoli zijn multipel en excentrisch.
40x
Bronchiale spoeling
Celgrenzen in slecht gedifferentieerde plaveiselcelcarcinoom zijn scherper dan die van adenocarcinoom. Nucleoli zijn multipel en excentrisch.
40x
Bronchiale spoeling
Slecht gedifferentieerd plaveiselcelcarcinoom. Er is keratine materiaal aanwezig in vacuolen in het cytoplasma.
60x
Bronchiale spoeling
Slecht gedifferentieerd plaveiselcelcarcinoom. Er is keratine materiaal aanwezig in vacuolen in het cytoplasma.
60x
Bronchiale spoeling
Nader onderzoek van een slecht gedifferentieerd plaveiselcelcarcinoom, vertoont verspreide keratinisatie.
40x
Bronchiale spoeling
Nader onderzoek van een slecht gedifferentieerd plaveiselcelcarcinoom, vertoont verspreide keratinisatie.
40x
Bronchiale spoeling
Kleine vergroting toont atypische gekeratiniseerde cellen in een plaveiselcelcarcinoom.
20x
Bronchiale spoeling
Kleine vergroting toont atypische gekeratiniseerde cellen in een plaveiselcelcarcinoom.
20x
Bronchiale spoeling
Sterke vergroting onthult vreemde kernen, gemengd met necrotisch materiaal.
60x
Bronchiale spoeling
Sterke vergroting onthult vreemde kernen, gemengd met necrotisch materiaal.
60x
Bronchiale spoeling
Diep gekeratiniseerde cellen zijn te zien in dit plaveiselcelcarcinoom.
60x
Bronchiale spoeling
Diep gekeratiniseerde cellen zijn te zien in dit plaveiselcelcarcinoom.
60x
Bronchiale spoeling
Vreemde celvormen met scherpe hoekige kernen in dit plaveiselcelcarcinoom.
60x
Bronchiale spoeling
Vreemde celvormen met scherpe hoekige kernen in dit plaveiselcelcarcinoom.
60x
Bronchiaal borstelmonster
Kleine vergroting van een bronchiaal borstelmonster van een plaveiselcelcarcinoom.
20x
Bronchiaal borstelmonster
Kleine vergroting van een bronchiaal borstelmonster van een plaveiselcelcarcinoom.
20x
Bronchiaal borstelmonster
De cellen in dit plaveiselcelcarcinoom zijn goed gedifferentieerd.
60x
Bronchiaal borstelmonster
De cellen in dit plaveiselcelcarcinoom zijn goed gedifferentieerd.
60x
Bronchiaal borstelmonster
60x
Bronchiaal borstelmonster
Enorme tumorcellen zijn aanwezig in dit plaveiselcelcarcinoom.
60x
Bronchiaal borstelmonster
Enorme tumorcellen zijn aanwezig in dit plaveiselcelcarcinoom.
60x
Borstelmonster linker bovenkwab
Kleine vergroting van een plaveiselcelcarcinoom.
20x
Borstelmonster linker bovenkwab
Lagen van tumorcellen zijn een kenmerk van plaveiselcelcarcinoom.
40x
Borstelmonster linker bovenkwab
Lagen van tumorcellen zijn een kenmerk van plaveiselcelcarcinoom.
40x
Borstelmonster linker bovenkwab
Let in dit geval op het variabele aantal en de positie van de nucleoli.
60x
Borstelmonster linker bovenkwab
Let in dit geval op het variabele aantal en de positie van de nucleoli.
60x
Borstelmonster linker bovenkwab
De cel rechts vertoont onregelmatige kernvorm, geklonterd chromatine en multipele onregelmatig gevormde nucleoli. Er is een massa keratine in het cytoplasma, wat een indicatie is voor squameuze differentiatie.
60x
Borstelmonster linker bovenkwab
De cel rechts vertoont onregelmatige kernvorm, geklonterd chromatine en multipele onregelmatig gevormde nucleoli. Er is een massa keratine in het cytoplasma, wat een indicatie is voor squameuze differentiatie.
60x




