Urinewegcytologie
ANDERE SOORTEN VAN MALIGNITEIT
in de Atlas klikken voor een vergroot beeld.
Uitgeplaste urine
Urotheelcarcinoom met squameuze differentiatie. Maligne plaveiselcellen in urine kunnen afkomstig zijn van een primair placeiselcelcarcinoom of van een urotheelcarcinoom met squameuze differentiatie.
20x
Uitgeplaste urine
Urotheelcarcinoom met squameuze differentiatie. Maligne plaveiselcellen in urine kunnen afkomstig zijn van een primair placeiselcelcarcinoom of van een urotheelcarcinoom met squameuze differentiatie.
20x
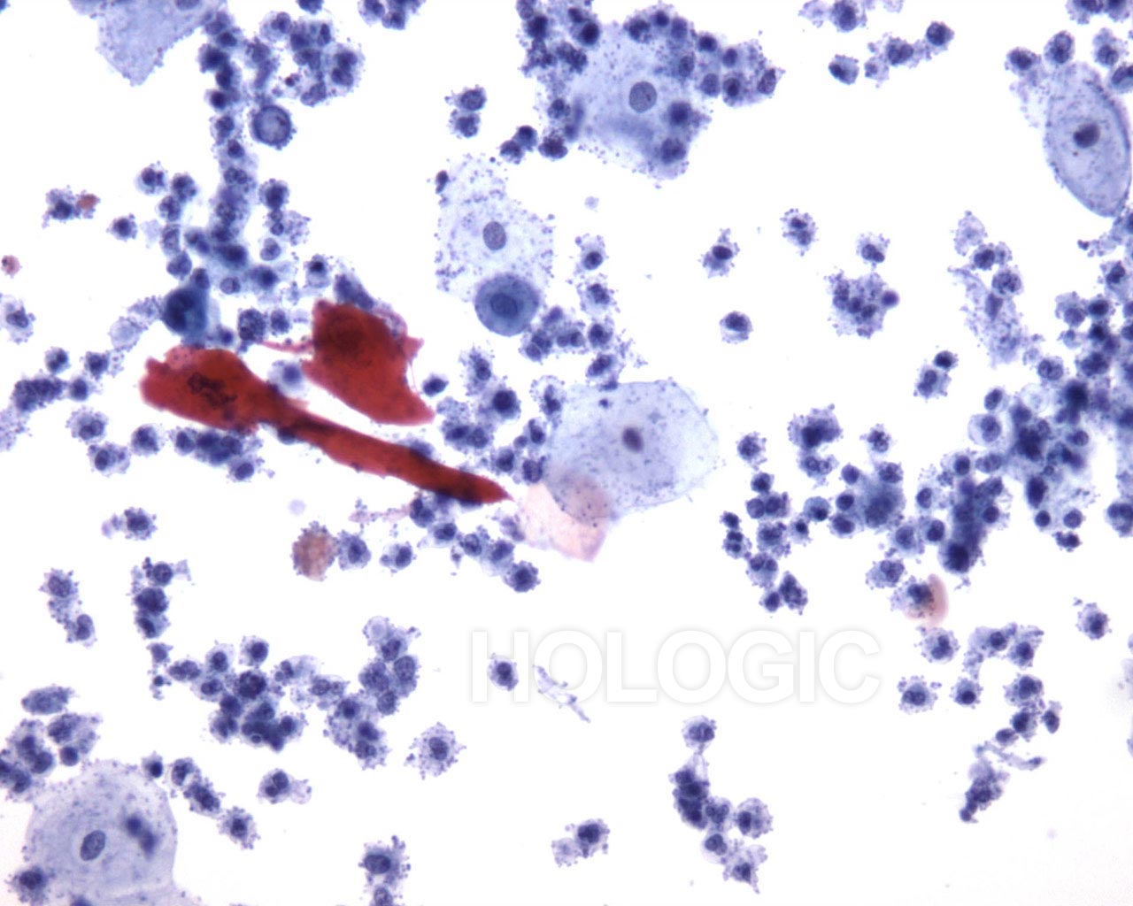
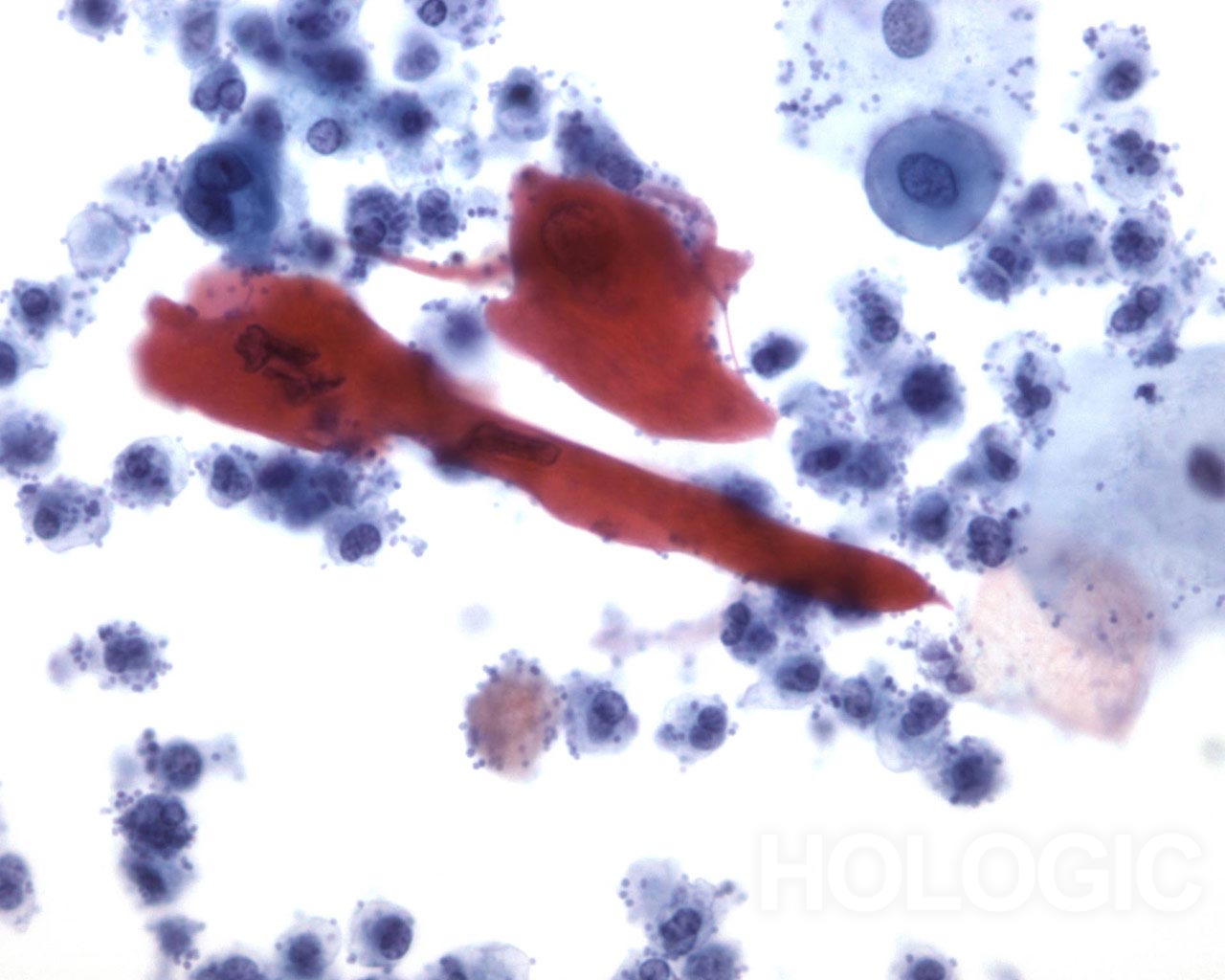
Uitgeplaste urine
Urotheelcarcinoom met squameuze differentiatie. Gekeratiniseerde spoel- en kikkervisvormen zijn een indicatie van squameuze differentiatie.
40x
Uitgeplaste urine
Urotheelcarcinoom met squameuze differentiatie. Gekeratiniseerde spoel- en kikkervisvormen zijn een indicatie van squameuze differentiatie.
40x
Uitgeplaste urine
Urotheelcarcinoom met squameuze differentiatie. De cellen van plaveiselcelcarcinoom vertonen duidelijke pleomorfismen en zijn dens en hyperchromatisch.
60x
Uitgeplaste urine
Urotheelcarcinoom met squameuze differentiatie. De cellen van plaveiselcelcarcinoom vertonen duidelijke pleomorfismen en zijn dens en hyperchromatisch.
60x
Blaasspoeling
Metastatisch prostaatcarcinoom. Metastatisch adenocarcinoom van de prostaat kan zowel clusters als losse cellen vertonen.
20x
Blaasspoeling
Metastatisch prostaatcarcinoom. Metastatisch adenocarcinoom van de prostaat kan zowel clusters als losse cellen vertonen.
20x
Blaasspoeling
Metastatisch prostaatcarcinoom. Het cytoplasma van adenocarcinomen kunnen mucineuze vacuolen vertonen.
40x
Blaasspoeling
Metastatic prostatic carcinoma.
Metastatisch prostaatcarcinoom. Het cytoplasma van adenocarcinomen kunnen mucineuze vacuolen vertonen.
40x
Blaasspoeling
Metastatisch prostaatcarcinoom.
Excentrische kernen met prominente nucleoli zijn een kenmerk van metastatisch prostaatcarcinoom.
60x
Blaasspoeling
Metastatisch prostaatcarcinoom.
Excentrische kernen met prominente nucleoli zijn een kenmerk van metastatisch prostaatcarcinoom.
60x
