PLAVEISELCELLEN
PLAVEISELCEL CARCINOOM
R. Marshall Austin, MD, PhD
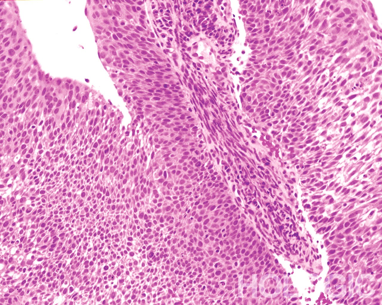
Plaveiselcelcarcinoom (SCC) is het meest voorkomde maligne neoplasma van de baarmoederhals. Hoewel sub-classificatie niet is vereist in het Bethesda Systeem, is het gebruikelijk om deze tumoren klinisch onder te verdelen in niet-keratiniserende en keratiniserende vormen.
Voordat we de specifieke kenmerken van elk type bespreken, kunnen er een aantal algemene opmerkingen worden gemaakt. De cellen van zowel keratiniserende als niet-keratiniserende SCC, zijn groter dan cellen van carcinoom in situ en vertonen meer opvallende squameuze eigenschappen. Vooral de cytoplasmatische kenmerken maken het mogelijk voor de cytoloog om de laesies te differentiëren in niet-keratiniserende en keratiniserende soorten, terwijl de nucleaire morfologie de diagnose van maligniteit onderbouwt. De conventionele Pap-uitstrijk vertoont soms uitdrogingsartefact- en uitstrijkartefact wat deze kankercellen kan vervormen en wat een betrouwbare diagnose in de weg kan staan, net als overvloedig bloed, dat het uitdrogingsartefact zal doen bezinken en de cellen zal verbergen. Het proces van de ThinPrep Pap Test maakt het mogelijk deze pleomorfe veranderingen zichtbaar te maken zonder verdere artefactvervorming. Er wordt ook wat bloed gelyseerd zodat de cellen beter zichtbaar worden.
De criteria voor plaveiselcelcarcinoom op de ThinPrep Pap-test zijn als volgt:
| NIET-KERATINISEREND PLAVEISELCELCARCINOOM | KERATINISEREND PLAVEISELCELCARCINOOM | KLEINCELLIG PLAVEISELCELCARCINOOM | |
| Celtype | Niet-keratiniserende plaveiselcellen | Keratiniserende en weinig niet-keratiniserende plaveiselcellen | Ongedifferentiëerde plaveiselcellen |
| Weefselpresentatie | Overwegend syncytia, verspreide losse cellen | Overwegend losse cellen met weinig groepen | Losse cellen, groepen en syncytia |
| Cytoplasmische presentatie | Gevacuoliseerd, cyanofiel | Dens, gekeratiniseerd | Delicaat, weinig, basofiel |
| Kernmembraan | Prominente onregelmatigheden in membraan | Onregelmatigheden in membraan | Gladde tot licht onregelmatige kernmembranen |
| Chromatine | Grof en ongelijkmatig verdeeld, met opvallende lege plekken in het parachromatine | Pyknotisch, hyperchromatisch, pleomorf | Grof en gewoonlijk gelijkmatig verdeeld, hyperchromatisch |
| Nucleoli | Prominente macronucleoli | Incidenteel macronucleoli | +/- verdachte nucleoli |
| Tumordiathese/necrose | +/- | +/- | +/- |
NIET-KERATINISEREND PLAVEISELCELCARCINOOM:
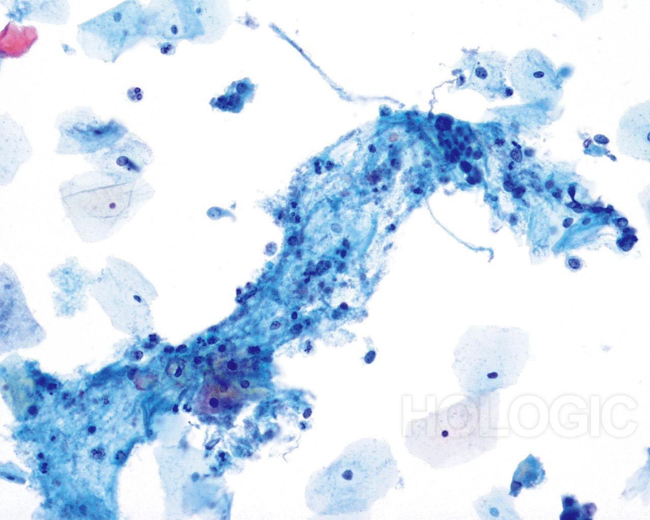
Dit is de meest voorkomende vorm van carcinoom in de cervix. Deze cellen zijn meestal middelgroot tot groot en komen overwegend in groepen of syncytia voor. Het cytoplasma van niet-keratiniserende plaveiselcelcarcinoom kleurt gewoonlijk cyanofiel en zal er dens en licht gevacuoliseerd uitzien. Deze vacuolisatie van het cytoplasma kan er voor zorgen dat de cytoloog de diagnose van glandulaire laesie overweegt, maar de celcriteria moeten aanleiding geven een squameuze categorie te selecteren. De groepen van niet-keratiniserende SCC komen voor in een “plattere” laag met minder duidelijke cytoplasmische groepsgrenzen dan adenocarcinoom en missen de echte glandulaire kenmerken, zoals rozetten/aciniformaties, geschulpte grenzen, columnaire dfferentiatie of elongatie en op elkaar gepakte kernen.
De kernen zijn vergroot met een kern/cytoplasma-ratio die eerder matige dysplasie dan naar een CIS. De klassieke maligne kerneigenschappen geven aan dat dit eerder een carcinoom dan een plaveiselcel intraepitheliale laesie is. Het chromatinepatroon is vrij wisselend, meestal grofkorrelig en onregelmatig verdeeld met prominente lege plakken in het parachromatine. De nucleaire kernmembraan is zeer onregelmatig en zeer onregelmatig gevormde nucleoli zijn gebruikelijk. Deze kenmerken bepalen de diagnose van maligniteit voor deze entiteit.
Tumordiathese is een belangrijk kenmerk van invasief carcinoom. Globaal zal tussen 50% en 80% van invasieve carcinomen een diathese vertonen op conventionele Pap-uitstrijkjes. De frequentie van diathese is gelijk in de monsters die verzameld zijn met de ThinPrepmethode, hoewel het typische uitstrijkpatroon van tumordiathese/ necrose dat wordt gezien op de conventionele Pap-uitstrijk gewijzigd is. Met de ThinPrep Pap test heeft de diathese de neiging aan zichzelf vast te klonteren, omdat het opgebouwd is uit “slordig” materiaal, waaronder bloed, materiaal en proteïnedraden, weefselnecrose en celmateriaal en omdat het er gescheurd uitziet bij de randen. Het materiaal kan ook worden gezien terwijl het aan epitheelgroepen vastkleeft.
De essentiële dubbelgangers voor tumordiathese op de ThinPrep® Pap test, zijn cytolyse, infectie en atrofie. Al deze omstandigheden laten een vies of “slordig” uitziende achtergrond zien, en als ze in context met epitheel materiaal worden gescreend, zullen ze u helpen de oorzaak van de achtergrond vast te stellen. Zoals in iedere situatie, zou de cytoloog zijn diagnose niet op een criterium alleen moeten baseren. Als de vieze achtergrond het enige aanwezige kenmerk is, zelfs als het echt diathese is, zou een definitieve diagnose niet gesteld moeten worden. De morfologische kenmerken van maligniteit in de epitheelcelkern houden de sleutel tot de definitieve diagnose.
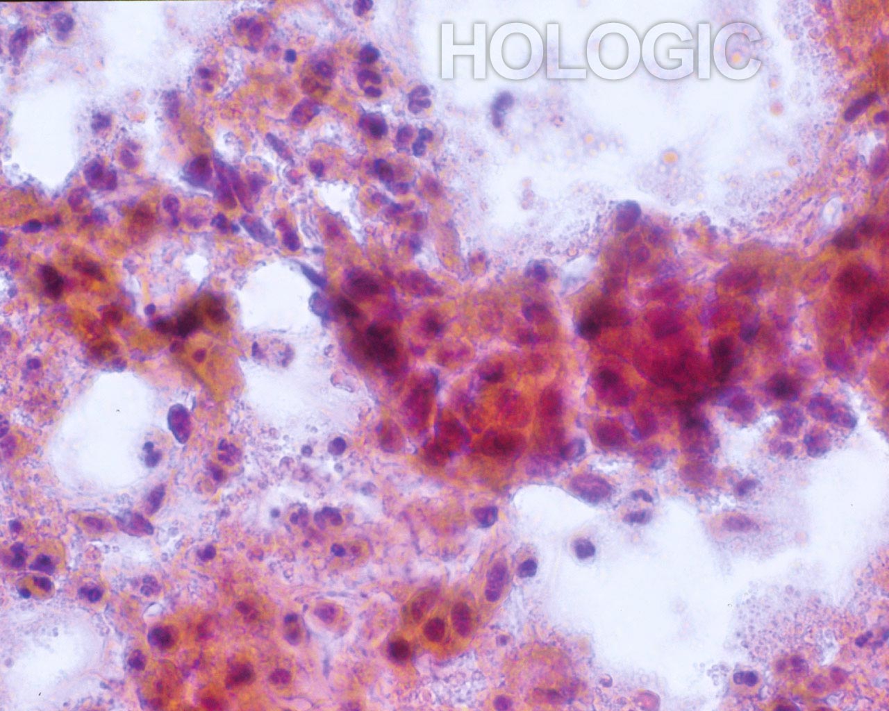
Gekeratiniseerde SCC, in tegenstelling tot de niet-gekeratiniseerde tegenhanger, vertoont pleomorfe, zwaar gekeratiniseerde plaveiselcellen. Deze cellen verschillen heel erg in omvang en vorm en hebben de neiging om los voor te komen met een paar groepen of syncytiale rangschikking.
Plaveiselcellen met bizarre vormen, spoelvormig, tadpoles, enz., vertonen een karakteristiek plaatje op de ThinPrep® Pap Test.
De veranderingen kunnen vol vertrouwen geïdentificeerd worden als pleomorfisme en niet als gevolg van uitstrijkingsartefacten. De versterkte cel tot celveranderlijkheid, zowel in celomvang en nog belangrijker, celvorm, maakt het onderscheid tussen keratiniserende SCC en keratiniserende dysplastische laesies. Gelijkmatige veranderlijkheid in de omvang en vorm van de kernen worden ook waargenomen. Kernen vertonen prominente hyperchromasie, zogenaamd “inktzwart”, en kunnen soms “spookachtig” lijken door de overvloedige keratinisatie. Een ander kenmerk dat wordt waargenomen ten gevolge van de overvloedige keratinisatie is verhoornde bobbels van het cytoplasma, die zich uitstrekken van het lichaam van de cel. Dit kenmerk geeft het pleoforme uiterlijk en helpt te differentiëren van atypische parakeratose en keratiniserende LSIL.
KLEINCELLIG PLAVEISELCELCARCINOOM:
Kleincellig (plaveiselcel) carcinoom kan geïdentificeerd worden door gebruikmaking van de ThinPrep® Pap Test. Deze laesies zijn samengesteld uit kleine, slecht gedifferentieerde epitheelcellen die op het eerste gezicht relatief uniform kunnen lijken. Een belangrijk kenmerk wat de abnormaliteiten van deze cellen benadrukt, is het zeer hoge N/C-ratio. Ze vertonen weinig, fragielogend cytoplasma en kunnen er uitzien als “naakte kernen”, los en in clusters. De syncytiale groepen kunnen glandulaire clusters nabootsen, maar ze missen de ronde vorm en 3-dimensionale presentatie, klassiek voor adenocarcinoom.
De kernen zijn klein en variëren licht in omvang; het kernmembraan is vrij zacht. Het chromatinepatroon is vaak grofkorrelig, meestal gelijkmatig verdeeld en hyperchromatisch. Door de snelle fixatietechniek die bij de ThinPrep pap-test gebruikt wordt, kunnen nucleoli worden waargenomen.
LOOK ALIKES (AFWIJKINGEN DIE HIERVOOR KUNNEN WORDEN AANGEZIEN)/DIFFERENTIELE DIAGNOSES:
Keratiniserend plaveiselcelcarcinoom vormt minder een diagnostisch probleem dan niet-keratiniserend SCC. Hooggradige keratiniserende dysplasie kan een carcinoom nabootsen op de ThinPrep Pap-test, en op de conventionele Pap-uitstrijk. Voorzichtige interpretatie met betrekking tot dit differentieel wordt aanbevolen. Daarom zullen we bij het beschrijven van dubbelgangers praten over de niet-keratiniserende eenheid, die soms een veel moeilijker diagnose veroorzaakt, en die meervoudige differentiële diagnoses kan hebben.
| Niet-keratiserende SCC | Herstel | Adenocarcinoom | |
| Presentatie | Syncytiale lagen met scherptediepte tot het midden van de groep en vlakke cellen rond de rand, groepen en weinig lossen cellen. | Vlakke lagen | 3-dimensionale clusters, losse cellen |
| Celtype | Plaveiselcellen | Endocervicale/metaplastische cellen | Glandulaire cellen |
| Cytoplasma | Dens, soms gevacuoliseerd
Onregelmatig, hoekige cytoplasmische grenzen Vlak rond randen van de groep met lichte scherptediepte in het midden |
Dun, gevacuoliseerd
Weefselkweek uiterlijk Vlak, uitgetrokken |
Discrete vacuolen
Duidelijke, prominente celgrenzen tot de clusters Afgerond |
| Kern | Onregelmatige, scherpe hoeken | Uniforme, gladde membranen | Onregelmatige, golvende membranen |
| Chromatine | Geklonterd, ongelijkmatig verdeeld, clearing parachromatine | Uniform, hyperchromatisch | Fijn tot grofkorrelig, gelijkmatig verdeeld, hypo- tot hyperchromatisch (onopvallend grijs uiterlijk) |
| Nucleoli | Incidenteel, macronucleoli
Onregelmatig, los of meervoudig |
Prominent en in bijna elke cel aanwezig
Klein, uniform, soms meervoudig |
Prominente macronucleoli
Groot, rond |
Er zullen situaties zijn dat door de slechte differentiatie van een laesie, het epitheeltype niet kan worden gespecificeerd. Deze situatie geldt zowel voor conventionele Pap uitstrijkjes als voor de ThinPrep® Pap test. Als u zich echter houdt aan de aanbevolen criteria zoals die hierboven beschreven zijn, zult u beter in staat zijn om tot de definitieve diagnose te komen.
- Guidos, BJ et al: Use of the ThinPrep Pap Test in clinical practice. Diagnostic Cytopathology 1999;20:70-73 (Supplement to Ob.Gyn. News)
- Clark, S et al: Invasive Squamous Cell Carcinoma in ThinPrep Specimens: Diagnostic Clues in the Cellular Pattern. Acta Cytologica 2000; 44:861 (Poster Presentation)
- Inhorn, SL et al: Validation of the ThinPrep Papanicolaou Test for Cervical Cancer Diagnosis. J. of Lower Genital Tract 1998; 2:208-212
- Hutchinson, ML, et al: Evaluation of Conventional versus ThinPrep Cervical Smears in a Population-Based Study of 10,000 Women in Costa Rica. Acta Cytologica 1995; 39:969






















